Retour
Chapitre 3
Principe de la radiothérapie

R. Dendale, J. Thariat, N. Pierrat, C. Nauraye, V. Calugaru

Introduction
La radiothérapie est le traitement locorégional par des rayonnements ionisants. Elle va délivrer, dans un volume cible précis, un dépôt d'énergie dans la matière, exprimé en gray (joules par kg), dont les effets sur les cellules et les tissus dépendent du niveau de dose et des modalités d'administration de cette dose (fractionnement, débit, distribution spatiale). Elle fait partie des armes thérapeutiques dans la stratégique de prise en charge de la grande majorité des cancers.
Radiobiologie
Dans le cas des tumeurs malignes, les cibles biologiques sont les organites intracellulaires, en particulier des molécules comme l'ADN situées dans le noyau de la cellule. L'irradiation crée des cassures double brin de l'ADN de façon directe ou indirecte. Les lésions indirectes sont générées par l'intermédiaire des produits oxydants créés par la radiolyse des molécules d'eau. Ces cassures non réparées ou mal réparées conduisent à la mort cellulaire immédiate ou retardée après parfois plusieurs jours, plusieurs mois, voire plusieurs années, comme dans le cas de la protonthérapie du mélanome de la choroïde. Dans ce dernier cas, les cellules tumorales peuvent donc rester longtemps sous une forme quiescente au niveau du cycle cellulaire et ne mourir que lorsque la cellule sort de cet état. La vitesse de réduction tumorale sera donc directement impactée par la proportion de cellules qui mourront rapidement et celles qui le seront plus tardivement. C'est la raison pour laquelle il faut rester prudent sur des conclusions de non-efficacité devant un résidu tumoral non évolutif encore visible en clinique et/ou sur l'imagerie réalisée lors des surveillances post-irradiations exclusives. La sensibilité des cellules tumorales aux irradiations dépend de la nature du tissu, et le contrôle tumoral ne sera obtenu qu'avec des doses plus ou moins élevées et adaptées à la nature de la pathologie à traiter. On parlera alors de tumeurs plus ou moins radiosensibles et/ou radiorésistantes. Par exemple, les lymphomes de bas grade sont très radiosensibles, alors que les mélanomes sont radiorésistants et nécessitent des doses beaucoup plus fortes.
Généralités
Les tumeurs de la sphère ophtalmique sont toujours proches d'organes dits à risque de toxicité (OAR) tels que les rétines, les nerfs optiques, les cristallins, les cornées, les glandes lacrymales, les canaux lacrymaux, le chiasma qui, eux aussi, ont des sensibilités différentes aux irradiations. Le défi de la radiothérapie ophtalmique, comme pour toute radiothérapie, consiste à obtenir une efficacité maximale sur le contrôle de la maladie tout en limitant la toxicité sur les OAR. Malheureusement, il est parfois nécessaire de faire des compromis, qu'il faut partager avec le patient, en acceptant une toxicité si l'on veut espérer un contrôle tumoral. C'est le cas, par exemple, des mélanomes choroïdiens à proximité de la papille ou de la macula, pour lesquels le contrôle de la tumeur oblige à délivrer des doses importantes sur ces deux OAR avec un impact prévisible et important sur la vision. En effet, pour ces tumeurs, privilégier la conservation fonctionnelle par rapport au contrôle de la tumeur, c'est faire prendre un risque sur la survie spécifique, car un patient sur deux ayant une récidive locale post-irradiation décèdera de son cancer.
Ces dernières années, la radiothérapie a bénéficié de grandes innovations en imagerie et en informatique. La radiothérapie actuelle utilise des outils de reconstruction d'images en 3D du corps humain à l'aide d'imageries de différents types : la tomodensitométrie (TDM), l'imagerie par résonance magnétique (IRM) et la tomographie par émission de positons (TEP).
Plusieurs techniques d'irradiation peuvent être utilisées, notamment l'irradiation externe et la curiethérapie. L'utilisation d'une technique par rapport à l'autre dépend de la localisation tumorale à traiter, de son volume, de la proximité d'OAR, de l'objectif de cette irradiation (palliative ou curatrice), de l'équipement du centre et de l'expérience de l'équipe.
L'irradiation externe consiste à irradier à une distance des cibles par des faisceaux de photons X, électrons ou autres particules comme les protons ou les ions carbone. Dans la majorité des cas, des tissus sains seront traversés pour atteindre la cible tumorale.
La curiethérapie consiste à implanter des sources radioactives émettrices de photons et/ou électrons, contre la zone tumorale ou en regard de celle-ci. Différents radionucléides peuvent être utilisés pour les tumeurs intraoculaires (choroïde, rétine, iris, corps ciliaire) ou pour les tumeurs conjonctivales. Les principaux radionucléides pour les tumeurs oculaires sont l' 125 I et le 106 Ru. Pour certaines tumeurs de la paupière ou de l'orbite, des lignes radioactives transfixiantes d' 192 I ou d' 125 I sont utilisées.
La radiothérapie ophtalmique s'inscrit dans la stratégie de prise en charge des tumeurs. Elle a donc, comme les autres traitements (chirurgie, chimiothérapie), trois indications selon le stade évolutif de la maladie. Il va de soi que le but recherché ne sera pas le même selon ces indications.
La radiothérapie à visée curatrice est dite « exclusive » lorsqu'elle est délivrée sur des tumeurs en place, comme dans le cas des mélanomes de la choroïde. Elle est dite « adjuvante » après une chirurgie d'exérèse, comme dans le cas des mélanomes de la conjonctive.
Dans cette indication, l'objectif principal est le contrôle tumoral sans lequel une reprise évolutive ou une récidive locorégionale risquent de conduire à une chirurgie de rattrapage mutilante. Dans bien des cas, les rechutes locales et/ou locorégionales du cancer remettent en jeu le pronostic local et parfois le pronostic vital.
La conservation oculaire est le deuxième objectif qui peut ensuite être considéré. Il s'agit pour la radiothérapie ophtalmique d'éviter, si possible, les modalités d'irradiation pouvant générer une toxicité oculaire telle qu'elle conduise vers une énucléation secondaire. Cela se traduit par une attention particulière à la dose maximale délivrée au volume oculaire, à la cornée et à la glande lacrymale.
La conservation de la fonction visuelle se traduit par une protection des structures radiosensibles de l'œil comme la macula, la papille, le nerf optique et le chiasma.
La protection du cristallin n'est à envisager que si les trois objectifs cités ci-dessus sont respectés, et non l'inverse.
Pour la majorité des tumeurs de la sphère ophtalmique, comme pour toute autre localisation, le contrôle de la maladie doit être tenté dès la première prise en charge. Il est donc nécessaire avant tout traitement de discuter des dossiers lors des réunions de concertation pluridisciplinaire (RCP) en présence d'un oncologue radiothérapeute et/ou de se fonder sur un référentiel rédigé de façon collégiale et consensuel par les différents spécialistes de la prise en charge en oncologie ophtalmique. Pour le cancer, une décision concertée et multidisciplinaire sur la séquence thérapeutique s'impose donc avant tout traitement.
La deuxième indication est la radiothérapie palliative. Dans le cadre d'une pathologie au-dessus de toute possibilité curatrice et/ou d'un état général très précaire du patient, cette approche peut soulager le patient d'un symptôme, sans intention de contrôler radicalement la tumeur. C'est le cas des métastases orbitaires et oculaires, ou des très volumineuses atteintes tumorales primitives orbitaires avec métastases osseuses ou viscérales à distance. Dans ce cas, les priorités sont inversées. Il faut soulager le patient ou éviter l'apparition de symptômes sans trop générer d'effets secondaires. Le contrôle tumoral définitif n'est donc pas recherché.
La troisième indication de la radiothérapie est le traitement des pathologies ophtalmiques bénignes vasculaires ou inflammatoires oculaires ou orbitaires. Le but est d'arrêter le processus destructeur de ces lésions à l'origine d'atteintes fonctionnelles et sensorielles. C'est le cas des hémangiomes choroïdiens exsudatifs, des méningiomes de bas grade et des gliomes du nerf optique, des orbitopathies dysthyroïdiennes et des tumeurs orbitaires pseudo-inflammatoires.
Radiothérapie externe
La radiothérapie externe utilise des photons X ou des particules comme les électrons, les protons ou les ions carbone. Ces particules sont produites par des accélérateurs linéaires (électrons, photons), ou des cyclotrons et synchrocyclotrons pour les autres particules.
Préparation de la radiothérapie externe
Une fois l'indication à une radiothérapie posée (RCP ou référentiel), la première étape de la préparation est la réalisation d'une TDM 3D dans la position du traitement. Cet examen est ensuite transféré dans un logiciel de contourage et de planification ( treatment planning system [TPS]), où l'oncologue radiothérapeute va dessiner (ou délinéer) les limites des volumes à traiter et ceux des organes sains à proximité. Pour cela, il peut s'aider d'autres examens (IRM, TEP, etc.) qui seront fusionnés avec le scanner. L'oncologue radiothérapeute prescrit ensuite la dose à délivrer sur les volumes d'intérêt, le fractionnement (le nombre de fractions) et l'étalement (la durée du traitement). Il fixe les contraintes de doses à ne pas dépasser sur les OAR. Ces contraintes dépendent de la nature des tissus, des modalités de cette irradiation (dose totale, fractionnement, débit, volume, etc.), des traitements concomitants (chimiothérapie radiosensibilisante, etc.) et des antécédents de radiothérapie.
Le technicien dosimétriste ou le physicien médical prend en charge le dossier dans un logiciel de planification de traitement (ou dosimétrie) et établit une balistique de traitement aboutissant à une distribution virtuelle de dose en 3D qui respectera la prescription du médecin. La représentation de cette dosimétrie prévisionnelle est sous la forme d'images de scanner parcourues par des isodoses, qui sont les courbes reliant les mêmes points de doses, et des histogrammes doses/volumes (HDV). Les HDV sont des courbes de distributions de la dose en fonction des volumes tumoraux à traiter et du volume des OAR. Cette dosimétrie sera validée par l'oncologue radiothérapeute et le physicien médical. Des contrôles de qualité (CQ) seront ensuite effectués afin de vérifier que la distribution de dose virtuelle est conforme à celle que recevra le patient. Ces CQ sont sous la responsabilité des physiciens médicaux. La séance de radiothérapie est réalisée par des manipulateurs en radiothérapie. Ils positionnent précisément le patient, réalisent les contrôles d'imagerie avant chaque séance, puis lancent l'irradiation.
La radiothérapie ophtalmique, qu'elle soit monofractionnée (séance unique) ou réalisée en plusieurs fractions, nécessite l'immobilité des volumes à traiter et des organes sains à proximité. Dans le cas des traitements nécessitant plusieurs fractions, la position du patient (œil compris) doit être reproductible à chaque séance. Un masque thermoformé est le plus souvent réalisé et on demande au patient de fixer un point. Il y a des situations cliniques où l'anatomie du patient change entre les fractions. Cela peut être du fait d'une réponse tumorale rapide ou de l'apparition d'un volumineux œdème. Lorsque La modification du volume à traiter dépasse un certain seuil, la dosimétrie initiale n'est plus adaptée et il faut la refaire en se fondant sur une nouvelle imagerie (TDM, IRM, etc.). C'est ce que l'on appelle la radiothérapie adaptative.
La surveillance post-radiothérapie portant sur l'efficacité et la toxicité possible doit être partagée entre l'oncologue radiothérapeute et l'ophtalmologiste. La fréquence de cette surveillance est dépendante de la nature de la pathologie irradiée et des modalités de cette irradiation. L'oncologue radiothérapeute doit revoir le patient au moins un fois par an durant les cinq années qui suivent la fin de la radiothérapie. Durant le suivi, l'ophtalmologiste doit transmettre régulièrement à l'oncologue radiothérapeute ses constations cliniques, surtout si un événement survient, qu'il s'agisse d'une rechute tumorale ou d'une toxicité.
Protonthérapie
La protonthérapie repose sur des faisceaux de protons de haute énergie. Le proton est une particule chargée dite lourde au regard des électrons. Il dépose donc une énergie maximale à une profondeur donnée lorsque sa vitesse ou son énergie cinétique est fortement réduite. Le dépôt de dose issu d'un faisceau de protons se traduit sous la forme d'un pic très étroit appelé pic de Bragg. Après le pic, la dose est nulle. Les protons ont la propriété de diffuser faiblement dans le milieu, ce qui garantit au faisceau une faible dispersion latérale qui se traduit par une faible pénombre latérale du champ d'irradiation.
La délivrance du faisceau peut se faire de deux façons ; l'une est passive, l'autre active. La technique dite passive repose sur une mise en forme du faisceau en utilisant les propriétés de diffusion et de ralentissement des protons dans la matière. Le pinceau de faisceau en sortie machine passe à travers différents éléments interposés sur une ligne de faisceau dégradant l'énergie initiale pour s'adapter à la profondeur maximale de la lésion à traiter. Un accessoire appelé modulateur d'énergie est interposé sur le faisceau qui va modifier la forme du pic de Bragg original et créer ainsi un plateau uniforme de dose qui s'adapte à l'épaisseur du volume à irradier. La largeur du faisceau est adaptée à la largeur du champ d'irradiation.
La technique dite active par faisceaux balayés délivre la dose sous la forme de fins faisceaux ou « spots » qui se déplacent latéralement, puis en profondeur à différentes énergies pour couvrir finalement tout le volume à traiter. La protonthérapie permet ainsi de délivrer une dose homogène aux volumes cibles par une seule incidence de faisceau (telle que la protonthérapie oculaire) et d'épargner les tissus sains ou OAR en arrière de la lésion ou latéralement. Dans le cas des tumeurs profondes, on privilégie plusieurs incidences de faisceau convergeant sur le volume cible pour mieux épargner les tissus sains. Une technique active plus récente dite par IMPT ( intensity-modulated proton therapy ) augmente la conformation au volume cible de la distribution de dose en utilisant plusieurs faisceaux simultanément, chacun couvrant une partie du volume à traiter et la somme garantissant une couverture homogène tout en renforçant la protection des OAR.
La préparation de l'irradiation nécessite la réalisation d'une dosimétrie prévisionnelle reposant sur un modèle géométrique d'œil et de tumeur oculaire dont la localisation et les dimensions sont adaptées à chaque patient. Le patient est traité en position assise sur une chaise robotisée. La tête du patient est immobilisée à l'aide d'un masque thermoformable et d'une pâte dentaire fixés au cadre de maintien solidaire de la chaise. Le patient regarde une diode électroluminescente pour diriger l'axe de l'œil traité dans la position simulée. Une prise de clichés radiologiques quotidienne associée au robot permet un positionnement précis du patient. Cette modélisation et ce positionnement précis nécessitent la pose de marqueurs fiduciaires (clips). Ce sont des clips en tantale suturés sur la sclère par les ophtalmologistes lors d'une chirurgie, après désinsertion de la conjonctive, mobilisation oculaire par traction musculaire et transillumination de l'œil.
Dans le monde, il existe environ une dizaine de centres de protonthérapie qui prennent en charge les tumeurs intraoculaires sur les 97 centres en activité en 2019.
Fin 2014, 29 249 patients étaient traités pour des pathologies ophtalmiques par protonthérapie sur des lignes de faisceau horizontales dédiées dans 10 centres à travers le monde. En 2016, une étude prospective sur les approches techniques et cliniques menées sur 10 centres à travers le monde portait sur 28 891 patients dont 98,8 % de mélanomes de l'uvée [1]. D'autres pathologies oculaires y sont prises en charge, comme les hémangiomes choroïdiens et certains mélanomes ou carcinomes conjonctivaux. Il s'agit donc d'une volumineuse cohorte de patients dont les résultats serviront de référence pour les futures techniques d'irradiation à venir. Toutes ces installations sont équipées de lignes horizontales de protons dédiées, le patient étant assis sur une chaise robotisée face au faisceau (fig. 3-1
Fig. 3-1
Protonthérapie oculaire.
Source : Institut Curie, Orsay.
). L'énergie du faisceau dans la salle est plutôt basse, de 58 à 105 MeV (en moyenne 68 MeV), ne permettant pas de traiter à une profondeur de plus de 4 cm. La grande majorité de ces centres utilisent le système de planification EYEPLAN dédié aux traitements ophtalmiques (fig. 3-2
Fig. 3-2
Modélisation 3D EYEPLAN.
Source : Institut Curie, Orsay.
). Ce logiciel a été développé et maintenu par un effort collaboratif de différents centres de recherche soutenant la protonthérapie ophtalmique. Il a été initialement développé au Massachusetts General Hospital (MGH) à Boston (États-Unis), puis à l'Institut Paul Scherrer (Suisse) et au centre de Clatterbridge (Royaume-Uni). À travers les résultats de ces centres, on considère donc que la prise en charge par protonthérapie des lésions oculaires est, dans son ensemble, réalisée de façon homogène sur un très grand nombre de patients. Il est important que les résultats de toute nouvelle technique de protonthérapie mise en place dans l'avenir soient comparés aux résultats de ces 10 centres.
Pour les irradiations par protons pour des volumes plus profonds que l'œil comme l'orbite, il faut utiliser un faisceau d'énergie plus élevée. Les modalités de préparation sont différentes des irradiations par proton oculaires et sont celles décrites pour les irradiations par photons. Une imagerie de scanner de préparation est réalisée et le traitement est la plupart du temps pratiqué en position allongée (fig. 3-3
Fig. 3-3
Protonthérapie – salle du bras isocentrique.
Source : Institut Curie, Orsay.
).
Radiothérapie de contact et de basse énergie
La radiothérapie de contact utilise un appareil délivrant des photons X de basse énergie (kV). Cette radiothérapie est destinée aux irradiations de lésions tumorales situées en surface, soit cutanées palpébrales, soit conjonctivales. Elle utilise des applicateurs dont la forme dépend du type d'appareil, avec des diamètres différents permettant de couvrir une surface plus ou moins importante selon la lésion à traiter (fig. 3-4
Fig. 3-4
Radiothérapie de contact .
Source : Institut Curie, Paris.
). Plusieurs niveaux d'énergie sont habituellement disponibles, permettant de délivrer une dose à la profondeur souhaitée. Cette radiothérapie est adaptée aux irradiations des carcinomes basocellulaires ou épidermoïdes de petite taille qui ne sont pas opérés. Elle permet aussi l'irradiation postopératoire des tumeurs conjonctivales et des lésions palpébrales en résection incomplète qui n'ont pas fait l'objet d'une reprise chirurgicale.
Radiothérapie conformationnelle tridimensionnelle (RC3D), sans ou avec modulation d'intensité (IMRT)
Il s'agit d'une radiothérapie par photons de haute énergie utilisant des collimateurs ou systèmes de multilames positionnés en sortie d'accélérateur. Ceux-ci vont collimater la forme du faisceau à la forme du volume à traiter. La RC3D utilise un ou plusieurs faisceaux dirigés vers la lésion à traiter. Les bords du faisceau sont sculptés pour épouser le contour de la cible et ainsi épargner les tissus sains. Pour les volumes à traiter non superficiels, il est souvent nécessaire de multiplier le nombre de faisceaux. La planification de la dose ou dosimétrie se fait par la mise en place de chaque faisceau l'un après l'autre en respectant à chaque fois les contraintes de la prescription médicale.
L'IMRT ( intensity-modulated radiation therapy ) est la forme la plus avancée de la radiothérapie externe. Elle est particulièrement intéressante pour les volumes cibles de formes concaves ou complexes à proximité immédiate de structures normales radiosensibles. Elle présente deux caractéristiques supplémentaires clés par rapport à la RC3D simple. L'intensité des faisceaux n'est pas uniforme à l'intérieur du même faisceau et la planification de la dose se fait de manière inverse informatiquement, c'est-à-dire que les contraintes de la prescription dosimétrique sont entrées dans le logiciel, qui va proposer une distribution de dose différente par faisceau pour atteindre les objectifs de la prescription. Une intensité de rayonnement variable est générée à travers chaque faisceau, contrairement à l'intensité uniforme utilisée dans d'autres techniques de radiothérapie. Chaque faisceau est subdivisé en centaines de faisceaux, chacun avec un niveau d'intensité individuel, permettant de construire un motif complexe. L'utilisation de plusieurs faisceaux peut créer une distribution de dose hautement conforme, permettant une mise en forme précise sur une cible incurvée et donc une épargne supplémentaire des tissus normaux.
Il y a plusieurs types d'IMRT : standard, qui utilise plusieurs faisceaux fixes ; hélicoïdale ( tomotherapy ) ; et rotationnelle ou arcthérapie ( volumetric modulated arc therapy [VMAT]). Ces deux dernières IMRT délivrent une dose d'irradiation continue pendant que le faisceau tourne autour du patient.
Radiothérapie en conditions stéréotaxiques
Cette technique utilise des microfaisceaux qui vont délivrer une forte dose sur un petit volume en une ou quelques fractions (jusqu'à cinq). Les doses par fraction sont donc élevées. La multiplication des faisceaux (150 à 200 pour le CyberKnife®) permet de limiter la toxicité des organes traversés. Elle est réalisée sur des appareils dédiés (CyberKnife®, Gamma Knife® ou Novalis®).
Cette technique, moins utilisée en ophtalmologie, est employée par des équipes n'ayant pas accès à la protonthérapie ou à la curiethérapie. Elle est destinée aux personnes âgées atteintes de mélanomes de l'uvée ne pouvant pas se déplacer facilement, mais aussi à certaines métastases choroïdiennes. La difficulté est la durée de la séance qui est longue et nécessite une immobilisation qui passe souvent par une anesthésie musculo-oculaire. La préparation est la même que celle en radiothérapie externe décrite plus haut, avec parfois l'utilisation de moyens de contention nécessitant des casques posés par les neurochirurgiens, ou la pose de matériaux fiduciaires permettant le traitement de petits volumes situés dans des tissus mous et parfois mobiles.
Curiethérapie
La curiethérapie est une radiothérapie utilisant une ou plusieurs sources radioactives appliquées contre (endocavitaire, de contact), ou transfixiant (interstitielle) dans un organe et/ou une tumeur à l'aide d'un vecteur de source (tube, disque, etc.). Selon la nature du corps radioactif, celui-ci émettra des photons (appelés photons gamma) et/ou des électrons (particules bêta) dont l'énergie est propre à chaque radionucléide utilisé.
La profondeur de dépôt de la dose d'irradiation étant dépendante de l'énergie du rayonnement et de la nature du rayonnement (particules chargées ou photons), le choix du type de source radioactive va dépendre de la zone anatomique et de la profondeur de traitement. Par exemple, les disques (125 I) (fig. 3-5
Fig. 3-5
Disques de curiethérapie en or pour grains d'125I.
Source : Institut Curie, Paris.
) et les plaques vectrices (106 Ru) sont plutôt utilisés pour le traitement des tumeurs intraoculaires ou les tumeurs de surface comme la conjonctive ; les vecteurs transfixiants comme les lignes 192 Ir et 125 I sont privilégiés pour les traitements orbitaires et les tumeurs palpébrales.
L'avantage de la curiethérapie par rapport à la radiothérapie externe est l'absence de dose d'entrée du faisceau. Le volume de tissus sains irradié est donc beaucoup moins important. Cela est appréciable pour les sujets à risque de cancers secondaires, comme les enfants atteints de rétinoblastome, et de toxicité dans le cas de ré-irradiations.
Curiethérapie par plaque ou disque
La curiethérapie utilise des disques qui sont suturés en regard de la lésion à traiter et qui renferment des sources radioactives directement dans leur structure ou insérées de façon temporaire. La technique la plus commune est l'utilisation de disques en or, mise en place par le groupe COMS ( Collaborative Ocular Melanoma Study ) [2] dans lequel est positionné un insert en silicone où sont insérés des grains radioactifs d' 125 I. Les grains sont placés du côté du disque (fig. 3-6
Fig. 3-6
Chargement en grains d'125I d'un disque de curiethérapie.
Source : Institut Curie, Paris.
), l'autre face du support étant au contact du patient. Les rayonnements sont arrêtés par la face avant du disque. Les grains sont placés du côté du disque, l'autre face du support étant au contact du patient. Les rayonnements étant arrêtés par la face avant du disque, l'irradiation ne se fait donc qu'en direction du volume à traiter.
Le diamètre du disque, directement corrélé au nombre de grains d' 125 I qu'il renferme, va dépendre de la forme et du diamètre de la base tumorale. Le positionnement du disque sur la sclère se fait grâce à une définition de la zone à traiter par transillumination. La dose émise par les grains décroît très rapidement avec la distance d (1/d 2). La chirurgie de pose est réalisée par un ophtalmologiste, sous anesthésie locale ou générale. Le temps de pose est déterminé par la dosimétrie qui prend en compte les dimensions de la tumeur, notamment la profondeur de l'apex, la disposition des grains dans le disque et l'activité des grains le jour de la pose. Ce temps de pose peut varier d'une journée à plus d'une semaine. Cette dosimétrie est réalisée par un dosimétriste ou un physicien médical en tenant compte de la prescription de dose et des caractéristiques tumorales fournies par l'ophtalmologiste. Elle est validée par le physicien médical et l'oncologue radiothérapeute. Le disque est préparé par un manipulateur et mis en place par l'ophtalmologiste (fig. 3-7
Fig. 3-7
Mise en place d'un disque de curiethérapie.
Source : Institut Curie, Paris.
). Le disque est retiré par l'ophtalmologiste lorsque le temps d'irradiation est atteint.
Concernant les plaques de 106 Ru, il s'agit d'un vecteur contenant le corps radioactif. Il y a plusieurs formes et diamètres de disque permettant de s'adapter aux caractéristiques de la tumeur. Les étapes de planification, la validation, la mise en place et le retrait sont très comparables à celle des grains d' 125 I.
Du fait de leurs caractéristiques physiques (rayonnement bêta, énergie assez faible, donc pouvoir de pénétration faible), ces disques sont utilisés pour traiter des tumeurs peu épaisses, généralement de l'ordre de 5 mm au maximum.
Ces techniques de curiethérapie peuvent être utilisées pour les mélanomes de la choroïde, les rétinoblastomes localisés, les angiomes rétiniens localisés et les tumeurs de surface en situation adjuvante comme les tumeurs conjonctivales.
Curiethérapie interstitielle
Actuellement, cette technique est moins utilisée en ophtalmologie, et dépend beaucoup de l'expérience et de l'équipement du centre pour ce type d'irradiation. Elle trouve sa place pour l'irradiation de certaines tumeurs palpébrales (fig. 3-8
Fig. 3-8
Curiethérapie interstitielle de paupière 192Ir.
Source : Institut Curie, Paris.
) ou les irradiations orbitaires post-énucléation ou non.
Elle utilise des lignes fixes d' 125 I, des fils d' 192 I ou des projecteurs de sources avec d'autres nucléides. Un vecteur de sources (tube) est mis en place par les oncologues radiothérapeutes et/ou les ophtalmologistes sous anesthésie générale ; il y sera glissé la source radioactive. La source peut être mise dans le vecteur manuellement ou à l'aide d'un projecteur de source. Selon le débit de la source radioactive et la dose nécessaire, la source sera en place dans le vecteur durant le temps d'irradiation de quelques heures (haut débit de dose, ou high dose rate [HDR]) à plusieurs jours (bas débit de dose, ou low dose rate [LDR]). Avec la curiethérapie de débit pulsé ( pulse dose rate [PDR]), la source est projetée très régulièrement dans le vecteur en regard du volume à traiter selon une chronologie très précise (délivrance de pulses) et définie par la dosimétrie. En fin d'irradiation, le vecteur sera retiré avec ou sans anesthésie générale. Ces irradiations peuvent être proposées pour les irradiations adjuvantes orbitaires post-énucléation de rétinoblastomes [3] ou de mélanomes choroïdiens avec extension extrasclérale (fig. 3-9
Fig. 3-9
Curiethérapie orbitaire.
Source : Institut Curie, Paris.
) lorsque le risque de rechute est très important ou lors de ré-irradiation palpébrale.
Radiothérapie oculaire
Radiothérapie exclusive
Mélanome de la choroïde
La protonthérapie est la radiothérapie de référence [4-5-6-7-8-9-10-11] pour cette tumeur dont le contrôle tumoral nécessite des doses très fortes. Les propriétés balistiques du proton permettent d'atteindre la tumeur avec un seul faisceau.
La curiethérapie par disque permet aussi d'obtenir d'excellents taux de contrôle local. Selon les équipes et la technique, la dose varie entre 70 à 100 Gy à l'apex tumoral [2]. Toutefois, les mélanomes débordant sur la papille ne sont pas des bonnes indications à une curiethérapie en raison de la mauvaise couverture du volume tumoral en regard de la papillaire (liée à la présence du nerf optique). Les plaques de ruthénium, bien qu'elles soient adaptées pour la grande majorité des tumeurs oculaires, ne sont pas recommandées pour le traitement des tumeurs oculaires dont l'épaisseur dépasse les 5 mm [2]. Cela est lié à leur énergie plus faible que l' 125 I et donc à une distribution de dose moins profonde.
Une étude randomisée de phase III [12] comparant radiothérapie par ions hélium, « assimilables » aux protons pour leur distribution de dose comme les pénombres latérales et distales et leurs effets biologiques, et curiethérapie a montré sur 184 patients des différences significatives en contrôle local : 98 % versus 79 % à 12 ans en faveur de la radiothérapie par ions hélium, et moins d'énucléation dans le groupe particule (ions hélium), 17 % versus 37 % à 12 ans.
Une étude comparative non randomisée [13] comparant la curiethérapie et la protonthérapie a montré des résultats similaires en contrôle local lorsque le choix de la technique était fondé sur la présentation de la tumeur. En effet, en privilégiant la curiethérapie pour les petites tumeurs antérieures et temporales (afin de protéger la glande lacrymale) et en utilisant la protonthérapie pour les autres tumeurs, cette équipe a obtenu des contrôles locaux de 96 % versus 95 %, pour les protons (fig. 3-10a, b
Fig. 3-10
Mélanome choroïdien.a. État initial. b. après protonthérapie.
Source : Institut Curie, Orsay.
) et la curiethérapie respectivement. Une étude rétrospective [14] comparant protonthérapie, curiethérapie par ruthénium 106 et par 125 I a montré des résultats défavorables pour le ruthénium sur un total de 597 patients (125 I = 190, 106 Ru = 140, proton = 267). Les patients ayant été traités par ruthénium 106 avaient un risque de récidive locale significativement plus élevé que les patients traités avec l' 125 I (risque relatif [RR] 2,97) ou avec les protons (RR 2,94).
Des équipes ne disposant pas de protonthérapie ni de curiethérapie ont proposé de la radiothérapie par photons en conditions stéréotaxiques. Les premiers résultats obtenus portent sur des petites séries de patients qui n'ont pas le recul des grandes séries avec les protons. Il semble que le contrôle local soit bon, mais la toxicité et la conservation oculaire moins bonnes que pour la protonthérapie et la curiethérapie [15-16-17].
Mélanome de l'iris
Les mélanomes de l'Iris représentent environ 3 % des mélanomes de l'uvée. La chirurgie permet un contrôle local tumoral avec des taux de rechutes locales entre 0 % et 8 %. Toutefois, cette chirurgie génère, dans un grand nombre de cas, une photophobie (85 %) [18] qui peut avoir un impact sur la qualité vie (un tiers des patients) et sur leur mode de vie, comme la conduite automobile (17 % des cas). Le taux de cataracte peut atteindre 38 % des patients.
La radiothérapie par faisceau de protons et la curiethérapie par disque sont des traitements efficaces, avec des rechutes locales entre 0 % et 7 % [19-20-21]. Dans les séries de protonthérapie, le taux de cataracte (21 % et 64 %) et celui de glaucome (de 4 % à 92 %) sont plus élevés que pour la chirurgie, mais il y a moins de photophobie. Pour la curiethérapie [22-23-24], le taux de cataracte (36 % à 60 %), celui de glaucome (de 3 % à 28 %) et celui d'atteinte de la cornée peuvent aller jusqu'à 25 % des cas dans certaines séries. L'acuité visuelle reste bonne après la protonthérapie, mais pour la curiethérapie, certaines séries rapportent une dégradation de l'acuité visuelle lors du suivi. Dans toutes les séries de protonthérapie, la dose a été délivrée en quatre fractions. Pour les protons, les effets secondaires, en particulier le taux de glaucome, sont dépendants des modalités de la radiothérapie, en particulier le volume d'irradiation. Dans la série de Riechardt et al. [25], un glaucome secondaire a été trouvé chez 74,3 % des patients lors des irradiations couvrant entièrement le segment antérieur et chez 19,2 % lors des irradiations localisées. L'avantage des protons sur la curiethérapie est l'épargne complète du pôle postérieur de la rétine (macula et papille inclus) lors de l'irradiation (fig. 3-11
Fig. 3-11
Distribution de dose de protonthérapie.Pour les tumeurs oculaires antérieures, les propriétés des protons permettent d'épargner complètement le pôle postérieur de l'œil.
Source : Institut Curie, Orsay.
).
Lymphome primitif oculaire
Ce lymphome est souvent une composante d'un lymphome primitif cérébral. Il est donc important d'éliminer une atteinte encéphalique et méningée avant d'envisager une radiothérapie oculaire. L'approche de traitement optimale pour un lymphome primitif intraoculaire n'est pas bien définie. Pendant longtemps, la rechute cérébrale semblait inéluctable, d'où la prise en charge selon les mêmes modalités que le lymphome primitif cérébral. Dans la mesure où les chimiothérapies et les thérapies ciblées utilisées ne passent, habituellement, pas la paroi oculaire, il paraît légitime d'envisager la radiothérapie comme premier traitement pour les atteintes oculaires isolées en traitement palliatif après échec des traitements systémiques. Selon la recommandation de l' International Lymphoma Radiation Oncology Group (ILROG) [26], le volume à couvrir par la radiothérapie est l'œil, le nerf optique jusqu'au chiasma. La dose recommandée est de 36 Gy selon un fractionnement classique.
Radiothérapie palliative – métastases oculaires
L'objectif de la radiothérapie des métastases oculaires est palliatif. La radiothérapie permet le contrôle temporaire de la tumeur et favorise une amélioration de l'acuité visuelle quand les dégâts liés à la tumeur ne sont pas irréversibles. Selon le cancer primitif, les métastases choroïdiennes peuvent être plus souvent multifocales dans le même œil et/ou bilatérales (38 %) pour Demirci et al. [27], voire concomitantes à une atteinte métastatique cérébrale (32 %) pour Kreusel et al. [28], ce qui nécessite un examen ophtalmique systématique des deux yeux ainsi qu'une IRM encéphalique. Les présentations avec métastases multiples sont plus souvent le cas des cancers du sein et du poumon.
Une étude rétrospective récente portant sur 1111 patients avec des métastases uvéales montre que la grande majorité des métastases uvéales apparaissent dans les cancers du sein (37,5 %) et des poumons (26,5 %). Pour les cancers du sein, la grande majorité (94 %) des métastases oculaires apparaissent après le diagnostic du primitif. Pour le cancer du poumon, les métastases uvéales sont de découverte synchrone au cancer primitif ; alors qu'à l'inverse, dans le cadre du cancer du sein, le diagnostic de métastases est plus souvent posé (52 %) avant celui du primitif [29]. À noter que la survie n'est pas significativement différente que les métastases uvéales soient découvertes avant ou après la tumeur primitive.
La radiothérapie peut être réalisée selon plusieurs techniques dans la majorité des cas par une irradiation externe comme une RC3D, une IRMT, une arcthérapie délivrant une dose de 30 Gy en 10 fractions (fig. 3-12
Fig. 3-12
Distribution de dose IMRT photon pour des métastases choroïdiennes.
Source : Institut Curie, Paris.
). Dans ces cas, le volume à couvrir sera le volume tumoral visible et le volume oculaire susceptible de contenir des localisations non encore visibles (microscopique), c'est-à-dire tout le volume choroïdien, soit les deux tiers postérieurs de la paroi oculaire. Rudoler et al. [30] ont montré qu'une radiothérapie externe du pôle postérieur de 256 yeux à la dose de 30 à 40 Gy a permis de récupérer une vision utile chez 36 % des yeux ayant une acuité visuelle nulle, et de contrôler 93 % des métastases oculaires avec une conservation du globe oculaire dans 98 % des cas.
La radiothérapie peut être plus localisée et ne couvrir que la lésion choroïdienne visible en ne prenant qu'une petite marge de sécurité. Dans ces cas, une radiothérapie en conditions stéréotaxiques [31] est réalisable, ou même une protonthérapie oculaire. Dans le premier cas, des doses de 12 à 20 Gy sont délivrées en une séance unique, nécessitant donc une immobilisation oculaire parfaite ou un tracking oculaire, ce qui n'est pas toujours facile dans le contexte d'un patient métastatique. Si un contrôle tumoral temporaire est obtenu dans tous les cas, seulement 40 % des patients ont eu une stabilisation ou une amélioration de leur vision.
La protonthérapie est aussi possible, mais se limitera elle aussi à la lésion visible. Elle nécessite la plupart du temps une chirurgie pour la pose des clips qui peut être difficile dans un contexte métastatique.
La radiothérapie en conditions stéréotaxiques et la protonthérapie sont plus volontiers proposées pour les métastases radiorésistantes souvent uniques, comme celles de rein et de la thyroïde dans un contexte d'évolution tumorale lente et avec un état général conservé.
Dans le contexte d'une atteinte oculaire unilatérale d'un cancer mammaire ou pulmonaire, la question de l'irradiation de manière prophylactique de l'autre œil sain macroscopiquement n'est pas résolue. Rosset et al. [32] ont trouvé que 11 % des patients ayant été irradiés sur un œil pour une atteinte unilatérale initiale ont développé des localisations oculaires controlatérales, et aucune dans le groupe ayant eu une irradiation prophylactique controlatérale de l'œil non atteint. Les équipes sont partagées et il n'est pas possible de dégager une attitude consensuelle. Toutefois, dans le cas où l'atteinte oculaire macroscopique unilatérale est associée à une atteinte encéphalique (32 % à 62 % des cas), il semble logique de traiter prophylactiquement l'œil non atteint macroscopiquement.
Radiothérapie des lésions bénignes – hémangiome choroïdien
Selon la forme diffuse ou localisée, différents types de radiothérapie peuvent être proposés.
La radiothérapie est utilisée lorsque les hémangiomes sont actifs, avec exsudation, décollement rétinien, risque de perte fonctionnelle oculaire et parfois pouvant conduire à une énucléation thérapeutique. Le but de la radiothérapie est d'arrêter le processus exsudatif et de favoriser le recollement rétinien. La dose à délivrer est de l'ordre de 20 Gy en 10 fractions.
Les formes diffuses dans le cadre du syndrome de Sturge-Weber nécessitent que la dose couvre une grande partie de la choroïde. Le traitement le plus utilisé est une radiothérapie photon de type RC3D ou IMRT. Dans une étude [33], le recollement rétinien est obtenu pour la majorité de yeux traités (92 %). La récupération visuelle dépend de l'atteinte initiale et du délai avant radiothérapie ; elle était stable ou meilleure pour plus de 77 % des yeux traités. Les effets secondaires précoces étaient très faibles, avec une légère hyperhémie conjonctivale. L'incidence de cataracte à 3 ans était de 15 %. D'autres séries publiées se composant de très peu de patients ont des résultats similaires.
Pour les hémangiomes circonscrits, la radiothérapie peut être plus localisée et être délivrée soit par protonthérapie, soit par curiethérapie. Pour la protonthérapie, plusieurs équipes [34-35-36] ont montré une efficacité de l'irradiation, avec la régression de la majorité des décollements rétiniens, l'affaissement de la lésion, la disparition de l'exsudation, associés à une stabilisation ou une amélioration de l'acuité visuelle dans la grande majorité de cas. Toutefois, avec le temps, un petit nombre de patients semblent développer des complications. Zeisberg et al. [34] trouvent 4 % de rétinopathies fonctionnelles et 8 % d'atteintes de la papille avec un protocole de 20 Gy en 4 fractions. Chan et al. [35] trouvent 49 % de complications sur une série de 19 patients traités de 15 à 30 Gy en 4 fractions. Levy-Gabriel et al. [36] ont constaté qu'avec une dose de 20 Gy en 4 fractions, et un suivi médian de 52 mois, on trouvait un taux de cataracte de 28 % et un taux de maculopathie de 7 %, d'apparition tardive. Devant l'apparition de ces complications tardives, cette dernière équipe a modifié son protocole afin de diminuer la dose par fraction en délivrant 20 Gy en 8 fractions à partir de 2012. Lors de la première évaluation de ce nouveau schéma thérapeutique, avec un suivi médian de 26 mois, l'efficacité était identique sur l'hémangiome et le décollement rétinien, de même que sur le taux de stabilisation et d'amélioration de l'acuité visuelle, mais aucune maculopathie n'a été trouvée avec un recul moyen de 26 mois [37]. Mais ces résultats tant en efficacité qu'en toxicité doivent être réévalués avec un suivi plus long.
Radiothérapie orbitaire
Radiothérapie exclusive
Rhabdomyosarcome orbitaire pédiatrique
Cette tumeur représente 60 à 70 % de tumeurs mésenchymateuses de l'enfant et de l'adolescent. La prise en charge de ces tumeurs est parfaitement protocolisée, l'enfant devant être confié à une structure oncopédiatrique. Ces tumeurs peuvent vite progresser. Elles doivent donc faire l'objet d'un diagnostic histologique et d'une prise en charge thérapeutique rapides. L'atteinte orbitaire ne peut habituellement pas faire l'objet d'une résection initiale complète et l'on se contentera souvent du prélèvement histologique sans entraîner de dégât fonctionnel. Le traitement débute donc souvent par une chimiothérapie. La question d'une deuxième chirurgie sera reposée en cours de chimiothérapie en fonction de la réponse tumorale. Dans la grande majorité des cas, cette chirurgie ne peut pas être réalisée ; la radiothérapie orbitaire suivra donc la chimiothérapie. La dose à délivrer dépend de la réponse à la chimiothérapie, du résidu tumoral visible et de la nature histologique du rhabdomyosarcome embryonnaire ou alvéolaire.
La protonthérapie est la radiothérapie de référence pour la pédiatrie, même si une radiothérapie au photon de type IMRT est un bon traitement si les protons ne sont pas accessibles.
Carcinome adénoïde kystique de la glande lacrymale
Le traitement de référence reste la chirurgie en R0. La radiothérapie trouve sa place dans certaines situations quand la chirurgie peut être R0-R1 avec préservation du globe oculaire, ou en cas de refus de l'exentération. Dans la situation adjuvante, la protonthérapie a sa place. Une étude [38] a montré, sur une série de 15 patients, avec un recul moyen de 69 mois, une survie sans progression locale de 70 % à 3 ans et 60 % à 5 ans. La radiothérapie adjuvante nécessite des doses importantes, en général supérieures à 66 Gy, voire 70 Gy, qui dépassent le seuil de tolérance des OAR orbitaires que sont les structures neuro-ophtalmiques (rétine, nerf optique, chiasma) et la glande lacrymale. Les volumes à traiter doivent tenir compte de l'extension microscopique de ces tumeurs le long des muscles orbitaires, des méninges, et nécessitent souvent de prendre une partie de la base du crâne, en particulier la partie latérale du sinus caverneux homolatéral. De ce fait, la protonthérapie trouve son intérêt pour couvrir les volumes à traiter de façon homogène tout en limitant les doses aux OAR de proximité.
Du fait des propriétés balistiques du proton par rapport aux photons X, la protonthérapie est privilégiée pour les tumeurs proches d'OAR nécessitant des fortes doses, mais aussi chez les enfants et jeunes adultes pour lesquels il est souhaitable de minimiser les volumes de tissus sains recevant des petites doses (fig. 3-13
Fig. 3-13
a. Distribution de dose en IMRT photon. La couleur bleue correspond à la dose de 10 Gy. b. Distribution de dose en protonthérapie. Le couleur marron correspond à la dose de 10 Gy.Le volume de tissus sains irradié par les faibles doses (10 Gy) est plus important avec les photons X que les protons lors d'une radiothérapie de 70 Gy pour une tumeur de la glande lacrymale.
Source : Institut Curie, Orsay.
).
Lymphome orbitaire
La radiothérapie exclusive est très efficace sur les lymphomes de bas grade, dont les lymphomes de type MALT ( mucosa-associated lymphoid tissue ) et les lymphomes folliculaires, entraînant peu de toxicité du fait des doses peu élevées [39-40-41]. De manière consensuelle, la dose à délivrer est de 24 Gy en 12 fractions [26] et doit couvrir l'ensemble du contenu orbitaire. En effet, une équipe a rapporté 33 % de récidives locales lors de l'irradiation partielle de l'orbite contre 0 % de récidive locale lors de l' irradiation couvrant toute l'orbite [42] (fig. 3-14
Fig. 3-14
Lymphome orbitaire de bas grade.a. État initial. b. Trois mois après la radiothérapie.
Source : Institut Curie, Paris.
). Pour les atteintes orbitaires, une radiothérapie de type RC3D ou IMRT est bien adaptée (fig. 3-15
Fig. 3-15
Distribution de dose IMRT photon pour un lymphome orbitaire.
Source : Institut Curie, Orsay.
).
Lorsque le lymphome de bas grade se limite à la conjonctive, le volume peut ne couvrir que la conjonctive en incluant les culs-de-sac conjonctivaux supérieurs et inférieurs. Une radiothérapie par électrons est adaptée pour les atteintes conjonctivales isolées.
Pour les lymphomes diffus à grandes cellules B, le volume tumoral cible est identique à celui des lymphomes de bas grade. La dose à délivrer est fonction de la réponse à la chimiothérapie : 30 Gy en cas de réponse complète, mais jusqu'à 36 Gy en cas de réponse partielle, voire 40 Gy en cas de volume tumoral important.
Pour les lymphomes à cellules NK/T ( natural killer ), plus fréquents dans les populations asiatiques, des études ont confirmé que la radiothérapie est une composante essentielle du traitement à un stade précoce et qu'elle doit être administrée tôt dans le traitement [43]. La dose optimale est d'au moins 50 Gy. En dessous, les récidives sont plus fréquentes, ce qui est préjudiciable pour ce type de tumeurs pour lequel les contrôles locorégionaux et la survie globale sont fortement liés.
Radiothérapie des lésions bénignes
Orbitopathies dysthyroïdiennes
La radiothérapie orbitaire bilatérale est un traitement qui peut trouver sa place dans les orbitopathies dysthyroïdiennes modérées ou sévères, et actives après une corticothérapie parentérale bien conduite (hydrocortisone 500 mg/semaine sur 6 semaines puis 250 mg/semaine sur 6 semaines).
Le protocole de référence est une RC3D par deux champs tangentiels délivrant une dose de 20 Gy en 10 fractions de 2 Gy (fig. 3-16
Fig. 3-16
Distribution de dose RC3D photon pour une orbitopathie dysthyroïdienne.
Source : Institut Curie, Paris.
). Il est retrouvé dans la grande majorité des publications, même si certaines équipes ont publié des résultats avec des doses plus faibles.
L'efficacité de la radiothérapie a été démontrée lors d'études randomisées comparant radiothérapie et séances d'irradiations fictives. Cet effet mesuré par la diminution du score d'activité [44] apparaît très progressivement après la radiothérapie et se prolonge sur plusieurs mois, continue au-delà de 6 mois jusqu'un 1 an post radiothérapie [45] et probablement au-delà. L'efficacité semble majorée lorsque l'irradiation est en concomitance avec une corticothérapie [46].
Cette radiothérapie est bien tolérée, avec très peu d'effets secondaires précoces. Les principaux effets tardifs sont un syndrome sec oculaire (12,5 %) et une cataracte bilatérale dont l'incidence est de 7,5 % [45]. Les rétinopathies sont excessivement rares chez les patients non diabétiques et non hypertendus. Le risque de cancer secondaire pour cette pathologie bénigne est le principal risque de cette irradiation. Le risque estimé de développer un cancer radio-induit fatal varie avec l'âge du traitement, allant de 0,9 % à 0,1 % de 25 à 75 ans [47]. Toutefois, dans une étude ayant comparé une cohorte de 250 patients traités avec des personnes n'ayant pas eu d'irradiation, il n'a pas été trouvé de différence significative en survie sans cancer à 10, 20, 30 ans [48].
Des auteurs ont proposé des fractionnements différents avec des doses inférieures à 10 Gy à raison de 1 Gy une fois par semaine [49]. D'autres ont proposé une radiothérapie selon une technique d'arcthérapie (VMAT) permettant de diminuer encore la dose délivrée à l'œil et au cristallin [50], mais qui augmente les faibles doses délivrées sur l'encéphale et qui est donc susceptible d'augmenter le risque de cancers radio-induits.
En conclusion, la radiothérapie est un important traitement adjuvant à la corticothérapie pour des situations cliniques bien définies que sont les orthopathies actives modérées et sévères [51].
Méningiome du nerf optique
Le méningiome du nerf optique est une tumeur bénigne développée aux dépens des méninges au niveau des nerfs optiques. Elle représente environ 2 % des tumeurs orbitaires de l'adulte ; elle est plus fréquente chez la femme (61 %) et à un âge moyen de 40 ans. Pour les enfants, l'incidence est encore plus faible et correspond à 2 à 4 % des tumeurs cérébrales et orbitaires, et dans deux tiers des cas le méningiome du nerf optique est associé à un diagnostic de neurofibromatose de type 2 (NF2) [52]. La chirurgie est à haut risque de perte complète de la vision. La RC3D et l'IMRT donnent un très bon contrôle local avec une bonne stabilisation de la taille du méningiome sans progression (98 %), et une amélioration ou une stabilisation dans la majorité des cas de l'acuité visuelle (80 à 90 %) pour des doses allant de 45 Gy à 59 Gy [53-54-55]. Un suivi à long terme révèle que 35 % des patients conservent une amélioration de la vision, 46 % ont une stabilisation et 19 % une diminution [54]. En plus de l'amélioration de l'acuité visuelle, le champ visuel bénéficie aussi de ce traitement et, pour certains, l'effet semble plus marqué pour le champ visuel que pour l'acuité visuelle. L'amélioration des champs visuels pourrait être due à l'organisation rétinotopique des fibres dans le nerf optique, avec des fibres maculaires situées au centre du nerf et moins sensibles à la compression extrinsèque.
La protonthérapie donne de bons résultats, comme le montre une série de 15 patients [56], avec une amélioration de l'acuité visuelle dans 3 cas, une stabilisation dans 11 cas et une détérioration dans 1 cas (6 %). La taille de la tumeur à l'IRM est restée stable dans 100 % des cas. Aucun effet indésirable grave n'a été enregistré après un suivi moyen de 22,4 mois. Dans les cas où le méningiome ne touche pas l'œil, la protonthérapie permet d'épargner complètement la rétine de l'irradiation, ce qui n'est pas le cas avec les photons. La protonthérapie présente un avantage par rapport à la radiothérapie par photon (RC3D et IMRT) qui nécessite une moins grande dose intégrale, de petites doses d'irradiation étant délivrées sur une grande partie de la tête. Cela a peu d'impact en termes de toxicité, mais peut présenter le risque de favoriser l'apparition de cancers radio-induits chez ces patients dont le pronostic vital n'est pas engagé. C'est la raison pour laquelle la protonthérapie doit être privilégiée pour le traitement des enfants et des jeunes adultes atteints par ces tumeurs.
Radiothérapie palpébrale et conjonctivale
Tumeurs conjonctivales
Le taux de récidive après chirurgie seule est élevé, de 57 % à 88 % [57-58-59]. Il a été montré que la radiothérapie diminuait le taux de récidives locales à 15 % après une chirurgie [60 , 61].
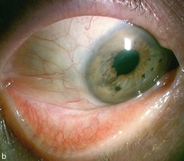
Les mélanomes conjonctivaux représentent 5 % des mélanomes oculaires (fig. 3-17
Fig. 3-17
Mélanome conjonctival.a. État initial. b. Dix ans après chirurgie et protonthérapie.
Source : Institut Curie, Orsay.
). La prise en charge passe par une chirurgie locale sous anesthésie générale afin d'éviter l'essaimage des cellules tumorales lors des injections locales d'anesthésiques. L'exérèse chirurgicale seule sans aucun autre traitement adjuvant conduit à un risque élevé de récidive locale (50 %), ce d'autant que le mélanome est diffus et qu'il est associé à un mélanome primitif acquis.
Selon la localisation et l'expérience de l'équipe, plusieurs techniques de radiothérapie sont utilisables, comme l'électron-thérapie, la curiethérapie, la protonthérapie et la radiothérapie de contact. Pour les localisations bulbaires, sont privilégiées la curiethérapie par disque ou plaque, la contact-thérapie et la protonthérapie. Pour les lésions de la conjonctive palpébrale, sont privilégiées la contact-thérapie ou l'électronthérapie et parfois la protonthérapie.
Dans une série de protonthérapie pour des tumeurs conjonctivales [62], le taux de récidives locales est de 33,2 % et 49,5 % à 5 et 10 ans, respectivement. La majorité des récidives étaient hors champ de la radiothérapie.
Carcinomes cutanés palpébraux
Concernant les carcinomes basocellulaires et les carcinomes épidermoïdes, la chirurgie reste le traitement de première intention. Mais la radiothérapie première et exclusive est utilisée depuis de nombreuses années et a trouvé sa place en première ligne thérapeutique en fonction de certains critères ou des préférences du patient. Des études rétrospectives de radiothérapies exclusives sur les carcinomes basocellulaires ont montré des taux de contrôle local entre 87 % et 100 %, avec des taux de rechute locale à 5 ans allant de 4 % à 16 % [63-64-65-66]. La radiothérapie est d'autant plus efficace qu'il s'agit d'une tumeur primitive et non d'une rechute, que la forme histologique est nodulaire, moins avancée et de petite taille.
La seule étude randomisée comparant chirurgie première et radiothérapie était en faveur de la chirurgie, avec des taux de récidive locale de 0,7 % contre 7,5 % pour la radiothérapie ; la toxicité et le résultat esthétique étaient moins bons dans le groupe radiothérapie [67 , 68]. Toutefois, dans le bras radiothérapie de cette étude, les types de radiothérapie réalisée étaient très hétérogènes. La radiothérapie exclusive est souvent réservée aux patients qui refusent la chirurgie et aux patients âgés en raison des séquelles esthétiques à long terme comme des télangiectasies, la perte de cils et des zones achromiques ou pigmentées qui peuvent apparaître dans la zone cutanée irradiée. L'indication pour une irradiation adjuvante est réservée aux résections incomplètes ou limites qui ne peuvent pas faire l'objet d'une reprise chirurgicale, mais aussi à des formes agressives avec engrainements périnerveux. La technique de radiothérapie va dépendre de la localisation tumorale et du volume à irradier. Pour les petites lésions non opérées, la radiothérapie de contact donne de très bons résultats en contrôle local (fig. 3-18
Fig. 3-18
Carcinome basocellulaire.a. État initial. b. Après radiothérapie de contact.
Source : Institut Curie, Paris.
et 3-19
Fig. 3-19
Carcinome épidermoïde.a. État initial. b. Après radiothérapie de contact.
Source : Institut Curie, Paris.
). La curiethérapie interstitielle est une indication possible (voir fig. 3-8
Fig. 3-8
Curiethérapie interstitielle de paupière 192Ir.
Source : Institut Curie, Paris.
). Pour les gros volumes, sont privilégiées les radiothérapies par photons de haute énergie RC3D ou IMRT ou une électronthérapie (fig. 3-20
Fig. 3-20
Carcinome basocellulaire.a. État initial. b. Après électronthérapie.
Source : Institut Curie, Paris.
).
Dans le cas des carcinomes épidermoïdes de la paupière, le risque d'envahissement ganglionnaire est d'environ 24 % [69]. Dans la majorité des cas, cette atteinte est au niveau pré-auriculaire, parotidien ou sous-mandibulaire. Il est donc nécessaire de réaliser systématiquement un bilan d'extension à la recherche d'un envahissement ganglionnaire de drainage (échographie, scanner ou TEP scanner).
La prise en charge des carcinomes sébacés est similaire à celle des carcinomes épidermoïdes.
La radiothérapie est efficace dans les situations palliatives. Les doses délivrées sont peu élevées et sont délivrées selon un mode hypofractionné (fig. 3-21
Fig. 3-21
Volumineux carcinome épidermoïde de la face.a. État initial. b. Deux mois après une radiothérapie palliative.
Source : Institut Curie, Paris.
).
Carcinome de Merkel
Plusieurs études ont montré que la radiothérapie adjuvante diminue le risque de rechute locale, même lorsque les marges chirurgicales sont saines [70 , 71]. Des études rétrospectives ont montré que la radiothérapie améliore la survie globale [72], le contrôle local et la survie sans maladie. La dose de référence en cas de résection complète est de 50 Gy en fractions de 2 Gy. Dans le cas où il n'y a pas eu de recherche de ganglion sentinelle et que le patient est N0, il est souhaitable d'irradier les premiers relais ganglionnaires de manière prophylactique à la dose de 50 Gy.
Effets secondaires et complications
Les effets secondaires se divisent chronologiquement en deux types.
Effets précoces
Les effets précoces apparaissent en cours de radiothérapie (10 à 21 jours) [73] ou dans les jours qui suivent la fin de la radiothérapie. Les conjonctivites radiques se présentent sous la forme d'hyperhémie conjonctivale avec sécrétions. Les érythèmes cutanés palpébraux, en fonction de la dose et du fractionnement, peuvent aller jusqu'à une desquamation suintante. Ces effets cutanéo-conjonctivaux disparaissent habituellement en quelques jours à quelques semaines après la fin de la radiothérapie. Ils nécessitent l'instillation de collyres hydratants et peuvent bénéficier d'applications de pommade à la vitamine A. La perte de cils peut apparaître après 15 Gy, plus rarement à 10 Gy. Ces alopécies des cils comme celles des sourcils ne sont pas définitives, mais les repousses peuvent être de couleur, de texture et de densité différentes.
Effets secondaires tardifs ou complications
Il s'agit dans la majorité des cas de complications qui apparaissent au-delà de 6 mois et jusqu'à plusieurs années après la fin de la radiothérapie. Ils sont liés à la fois aux rayonnements et aux facteurs propres au patient, comme la dose totale, le débit de dose, le volume de distribution de cette dose, la dose délivrée aux OAR, la taille et la localisation de la tumeur, et la sensibilité particulière du patient (diabète, hypertension artérielle, trouble de la réparation de l'ADN).
Cataracte
L'irradiation du cristallin peut entraîner la formation d'une cataracte. L'atteinte initiale consiste en une lésion de la zone germinative de l'épithélium du cristallin, qui entraîne une mort cellulaire étendue, une mitose compensatrice et la génération de cellules. La gravité et le délai d'apparition des cataractes après une radiothérapie dépendent de la dose reçue, du fractionnement et du débit de dose. Plusieurs études rétrospectives [74-75-76-77-78-79-80] ont étudié la survenue d'une cataracte après irradiation. Pour le cristallin, Emami et al. [81] ont estimé le risque de cataracte avec un TD5/5 (5 % de risque de développer l'événement dans les 5 ans) de l'objectif à 10 Gy et un TD50/5 (50 % de risque de développer l'événement dans les 5 ans) à 18 Gy. Les contraintes de dose pour le cristallin ont été fixées à moins de 10 Gy sur 0,03 ml de cristallin [82]. Toutefois, le risque de cataracte ne doit pas entraîner un sous-dosage du volume tumoral, la chirurgie de la cataracte étant de nos jours un geste fréquent et assez anodin.
Il semble que la chirurgie de la cataracte après une irradiation oculaire ne soit pas plus à risque que sans irradiation [2 , 80 , 83]. Après une curiethérapie oculaire, il est recommandé d'attendre entre 6 et 12 mois pour réaliser cette chirurgie.
Rétinopathie
La période latente avant l'apparition d'une rétinopathie cliniquement significative est généralement de 6 mois à 3 ans, mais celle-ci a été rapportée à plus de 15 ans après la radiothérapie [84]. Bien qu'une rétinopathie ait été rapportée après des doses aussi faibles que 11 Gy, la dose seuil pour les lésions rétiniennes est généralement considérée comme comprise entre 30 et 35 Gy. Le TD5/5 de la rétine est estimé entre 45 et 50 Gy et le TD50/5 est de 55 Gy [81]. L' European Particle Therapy Network (EPTN) [82] a proposé que ne soit pas dépassés 45 Gy sur 0,03 ml de la rétine.
Sécheresse oculaire
Le système de la glande lacrymale comprend la glande lacrymale principale, les glandes lacrymales accessoires et le système du canal lacrymal. La sécheresse oculaire se développe généralement entre 1 mois et 3 ans après l'irradiation, l'intensité dépendant de la dose totale, du fractionnement et du volume d'irradiation [85 , 86]. Le risque est négligeable pour une Dmax (dose maximale) inférieure à 30 Gy, augmente fortement à partir de 40 Gy, pour atteindre un taux de 100 % avec des Dmax supérieures à 57–60 Gy [84].
Atteinte de la cornée
Bien que des atteintes de la cornée aient été décrites avec de fortes doses de radiothérapie, il semble que dans bon nombre de cas cette atteinte soit en relation avec un syndrome de sécheresse oculaire ou une insuffisance limbique dus à l'irradiation. Une ulcération cornéenne peut survenir à la suite d'une destruction épithéliale ou stromale de la cornée, en particulier avec des doses fractionnées supérieures à 60 Gy et à 20 Gy en monofractionné [87].
Neuropathie optique
L'incidence des névrites optiques est inhabituelle pour des Dmax inférieure à 55 Gy, en particulier pour des fractions ≤ 2 Gy. Le risque augmente (3 à 7 %) dans la région de 55-60 Gy et devient plus important (7 à 20 %) pour des doses supérieures à 60 Gy lorsque des fractionnements de 1,8-2,0 Gy sont utilisés [88]. Les contraintes de dose pour le nerf optique ont été fixées à une Dmax inférieure à 54 Gy sur 0,03 ml du nerf optique.
Pour la radiothérapie stéréotaxique à fraction unique, les études ont indiqué que l'incidence des névrites optiques est rare pour une Dmax inférieure à 8 Gy, augmente dans la plage de 8 à 12 Gy et devient supérieure à 10 % dans la plage de 12 à 15 Gy [88].
Atteintes palpébrales et conjonctivales
Les atrophies [73], les pertes de cils définitives, les télangiectasies, les dépigmentations, les hyperpigmentations et les atrophies cutanées apparaissent pour des doses de plus de 50 Gy, surtout au-delà de 60 Gy. Les télangiectasies conjonctivales peuvent apparaître à des doses supérieures à 30 Gy. À partir de 50 Gy peuvent apparaître des conjonctivites chroniques, et au-delà de 60 Gy peuvent apparaître des symblépharons, qui sont des cicatrisations de la conjonctive entre les conjonctives bulbaire et palpébrale, entraînant une diminution de la mobilité oculaire [84].
Bibliographie
[1]
Hrbacek J, Mishra KK, Kacperek A, et al. Practice patterns analysis of ocular proton therapy centers : The International OPTIC Survey. Int J Radiat Oncol Biol Phys 2016 ; 95(1) : 336-43.
[2]
American Brachytherapy Society - Ophthalmic Oncology Task Force. ABS – OOTF Committee. The American Brachytherapy Society consensus guidelines for plaque brachytherapy of uveal melanoma and retinoblastoma. Brachytherapy 2014 ; 13(1) : 1-14.
[3]
Stannard C, Sealy R, Hering E, et al. Postenucleation orbits in retinoblastoma : treatment with 125I brachytherapy. Int J Radiati Oncol Biol Phys 2002 ; 54(5) : 1446-54.
[4]
Char DH, Phillips T, Daftari I. Proton teletherapy of uveal melanoma. Int Ophthalmol Clin 2006 ; 46(1) : 41-9.
[5]
Dendale R, Lumbroso-Le Rouic L, Noel G, et al. Proton beam radiotherapy for uveal melanoma : results of Curie Institut-Orsay proton therapy center (ICPO). Int J Radiat Oncol Biol Phys 2006 ; 65(3) : 780-7.
[6]
Damato B, Kacperek A, Chopra M, et al. Proton beam radiotherapy of choroidal melanoma : The Liverpool-Clatterbridge experience. Int J Radiat Oncol Biol Phys 2005 ; 62(5) : 1405-11.
[7]
Egger E, Schalenbourg A, Zografos L, et al. Maximizing local tumor control and survival after proton beam radiotherapy of uveal melanoma. Int J Radiat Oncol Biol Phys 2001 ; 51(1) : 138-47.
[8]
Fuss M, Loredo LN, Blacharski PA, et al. Proton radiation therapy for medium and large choroidal melanoma : preservation of the eye and its functionality. Int J Radiat Oncol Biol Phys 2001 ; 49(4) : 1053-9.
[9]
Mosci C, Mosci S, Barla A, et al. Proton beam radiotherapy of uveal melanoma : Italian patients treated in Nice, France. Eur J Ophthalmol 2009 ; 19(4) : 654-60.
[10]
Courdi A, Caujolle JP, Grange JD, et al. Results of proton therapy of uveal melanomas treated in Nice. Int J Radiat Oncol Biol Phys 1999 ; 45(1) : 5-11.
[11]
Gragoudas ES. Proton beam irradiation of uveal melanomas : the first 30 years The Weisenfeld Lecture. Invest Ophthalmol Vis Sci. 2006 ; 47(11) : 4666-73.
[12]
Mishra KK, Quivey JM, Daftari IK, et al. Long-term Results of the UCSF-LBNL randomized trial : charged particle with helium ion versus iodine-125 plaque therapy for choroidal and ciliary body melanoma. Int J Radiat Oncol Biol Phys 2015 ; 92(2) : 376-83.
[13]
Desjardins L, Lumbroso L, Levy C, et al. [Treatment of uveal melanoma with iodine 125 plaques or proton beam therapy : indications and comparison of local recurrence rates]. J Fr Ophtalmol 2003 ; 26(3) : 269-76.
[14]
Wilson MW, Hungerford JL. Comparison of episcleral plaque and proton beam radiation therapy for the treatment of choroidal melanoma. Ophthalmology 1999 ; 106(8) : 1579-87.
[15]
Sikuade MJ, Salvi S, Rundle PA, et al. Outcomes of treatment with stereotactic radiosurgery or proton beam therapy for choroidal melanoma. Eye (Lond) 2015 ; 29(9) : 1194-8.
[16]
Yazici G, Kiratli H, Ozyigit G, et al. Stereotactic radiosurgery and fractionated stereotactic radiation therapy for the treatment of uveal melanoma. Int J Radiat Oncol Biol Phys 2017 ; 98(1) : 152-8.
[17]
Eibenberger K, Dunavoelgyi R, Gleiss A, et al. Hypofractionated stereotactic photon radiotherapy of choroidal melanoma : 20-year experience. Acta Oncol 2021 ; 60(2) : 207-14.
[18]
Klauber S, Jensen PK, Prause JU, Kessing SV. Surgical treatment of iris and ciliary body melanoma : follow-up of a 25-year series of patients. Acta Ophthalmol 2012 ; 90(2) : 122-6.
[19]
Thariat J, Rahmi A, Salleron J, et al. Proton beam therapy for iris melanomas in 107 patients. Ophthalmology 2018 ; 125(4) : 606-14.
[20]
Damato B, Kacperek A, Chopra M, et al. Proton beam radiotherapy of iris melanoma. Int J Radiat Oncol Biol Phys 2005 ; 63(1) : 109-15.
[21]
Lumbroso-Le Rouic L, Delacroix S, Dendale R, et al. Proton beam therapy for iris melanomas. Eye (Lond) 2006 ; 20(11) : 1300-5.
[22]
Razzaq L, Keunen JEE, Schalij-Delfos NE, et al. Ruthenium plaque radiation therapy for iris and iridociliary melanomas. Acta Ophthalmologica 2012 ; 90(3) : 291-6.
[23]
Shields CL, Shah SU, Bianciotto CG, et al. Iris melanoma management with iodine-125 plaque radiotherapy in 144 patients : impact of melanoma-related glaucoma on outcomes. Ophthalmology 2013 ; 120(1) : 55-61.
[24]
Tsimpida M, Hungerford J, Arora A, Cohen V. Plaque radiotherapy treatment with ruthenium-106 for iris malignant melanoma. Eye 2011 ; 25(12) : 1607-11.
[25]
Riechardt AI, Karle B, Cordini D, et al. Proton therapy of iris melanoma with 50 CGE : Influence of target volume on clinical outcome. Strahlenther Onkol 2017 ; 193(11) : 943-50.
[26]
Yahalom J, Illidge T, Specht L, et al. Modern radiation therapy for extranodal lymphomas : field and dose guidelines from the International Lymphoma Radiation Oncology Group. Int J Radiat Oncol Biol Phys 2015 ; 92(1) : 11-31.
[27]
Demirci H, Shields CL, Chao AN, Shields JA. Uveal metastasis from breast cancer in 264 patients. Am J Ophthalmol 2003 ; 136(2) : 264-71.
[28]
Kreusel KM, Bechrakis NE, Wiegel T, et al. Incidence and clinical characteristics of symptomatic choroidal metastasis from lung cancer. Acta Ophthalmol 2008 ; 86(5) : 515-9.
[29]
Welch RJ, Malik K, Mayro EL, et al. Uveal metastasis in 1111 patients : Interval to metastasis and overall survival based on timing of primary cancer diagnosis. Saudi J Ophthalmol 2019 ; 33(3) : 229-37.
[30]
Rudoler SB, Corn BW, Shields CL, et al. External beam irradiation for choroid metastases : identification of factors predisposing to long-term sequelae. Int J Radiat Oncol Biol Phys 1997 ; 38(2) : 251-6.
[31]
Bellmann C, Fuss M, Holz FG, et al. Stereotactic radiation therapy for malignant choroidal tumors : preliminary, short-term results. Ophthalmology 2000 ; 107(2) : 358-65.
[32]
Rosset A, Zografos L, Coucke P, et al. Radiotherapy of choroidal metastases. Radiother Oncol 1998 ; 46(3) : 263-8.
[33]
Randon M, Lévy-Gabriel C, Abbas R, et al. Results of external beam radiotherapy for diffuse choroidal hemangiomas in Sturge-Weber syndrome. Eye (Lond) 2018 ; 32(6) : 1067-73.
[34]
Zeisberg A, Seibel I, Cordini D, et al. Long-term (4 years) results of choroidal hemangioma treated with proton beam irradiation. Graefes Arch Clin Exp Ophthalmol 2014 ; 252(7) : 1165-70.
[35]
Chan RVP, Yonekawa Y, Lane AM, et al. Proton beam irradiation using a light-field technique for the treatment of choroidal hemangiomas. Ophthalmologica 2010 ; 224(4) : 209-16.
[36]
Levy-Gabriel C, Lumbroso-Le Rouic L, Plancher C, et al. Long-term results of low-dose proton beam therapy for circumscribed choroidal hemangiomas. Retina 2009 ; 29(2) : 170-5.
[37]
Mahdjoubi A, Dendale R, Desjardins L, et al. Treatment of exudative circumscribed choroidal hemangioma : efficacy of fractionated proton therapy (20 Gray relative biological effectiveness in 8 fractions). Retina 2019 ; 39(4) : 692-9.
[38]
Lesueur P, Rapeaud E, De Marzi L, et al. Adenoid cystic carcinoma of the lacrimal gland : high dose adjuvant proton therapy to improve patients outcomes. Front Oncol 2020 ; 10 : 135.
[39]
Goda JS, Gospodarowicz M, Pintilie M, et al. Long-term outcome in localized extranodal mucosa-associated lymphoid tissue lymphomas treated with radiotherapy. Cancer 2010 ; 116(16) : 3815-24.
[40]
Tran KH, Campbell BA, Fua T, et al. Efficacy of low dose radiotherapy for primary orbital marginal zone lymphoma. Leuk Lymphoma 2013 ; 54(3) : 491-6.
[41]
Kennerdell JS, Flores NE, Hartsock RJ. Low-dose radiotherapy for lymphoid lesions of the orbit and ocular adnexa. Ophthalmic Plast Reconstr Surge 1999 ; 15(2) : 129-33.
[42]
Pfeffer MR, Rabin T, Tsvang L, et al. Orbital lymphoma : is it necessary to treat the entire orbit ? Int J Radiat Oncol Biol Phys 2004 ; 60(2) : 527-30.
[43]
Li YX, Wang H, Jin J, et al. Radiotherapy alone with curative intent in patients with stage I extranodal nasal-type NK/T-cell lymphoma. Int J Radiat Oncol Biol Phys 2012 ; 82(5) : 1809-15.
[44]
Soeters MR. Optimal management of Graves orbitopathy : a multidisciplinary approach. Neth J Med 2011 ; (7) : 7.
[45]
Nicosia L, Reverberi C, Agolli L, et al. Orbital radiotherapy plus concomitant steroids in moderate-to-severe Graves’ ophthalmopathy : good results after long-term follow-up. Int J Endocrinol Metab 2019 ; 17(1) : e84427.
[46]
Limone PP, Bianco L, Mellano M, et al. Is concomitant treatment with steroids and radiotherapy more favorable than sequential treatment in moderate-to-severe graves orbitopathy ? Radiol Med 2021 ; 126(2) : 334-42.
[47]
Jansen JThM, Broerse JJ, Zoetelief J, et al. Estimation of the carcinogenic risk of radiotherapy of benign diseases from shoulder to heel. Radiother Oncol 2005 ; 76(3) : 270-7.
[48]
Schaefer U, Hesselmann S, Micke O, et al. A long-term follow-up study after retro-orbital irradiation for Graves’ ophthalmopathy. Int J Radiat Oncol Biol Phys 2002 ; 52(1) : 192-7.
[49]
Cardoso CC de D, Giordani AJ, Wolosker AMB, et al. Protracted hypofractionated radiotherapy for Graves’ ophthalmopathy : a pilot study of clinical and radiologic response. Int J Radiat Oncol Biol Phys 2012 ; 82(3) : 1285-91.
[50]
San Miguel I, Arenas M, Carmona R, et al. Review of the treatment of Graves’ ophthalmopathy : The role of the new radiation techniques. Saudi J Ophthalmol 2018 ; 32(2) : 139-45.
[51]
Hodgson NM, Rajaii F. Current understanding of the progression and management of thyroid associated orbitopathy : a systematic review. Ophthalmol Ther 2020 ; 9(1) : 21-33.
[52]
Parker RT, Ovens CA, Fraser CL, Samarawickrama C. Optic nerve sheath meningiomas : prevalence, impact, and management strategies. Eye Brain 2018 ; 10 : 85-99.
[53]
Abouaf L, Girard N, Lefort T, et al. Standard-fractionated radiotherapy for optic nerve sheath meningioma : visual outcome is predicted by mean eye dose. Int J Radiat Oncol Biol Phys 2012 ; 82(3) : 1268-77.
[54]
Eckert F, Clasen K, Kelbsch C, et al. Retrospective analysis of fractionated intensity-modulated radiotherapy (IMRT) in the interdisciplinary management of primary optic nerve sheath meningiomas. Radiat Oncol 2019 ; 14(1) : 1-9.
[55]
Arvold ND, Lessell S, Bussiere M, et al. Visual outcome and tumor control after conformal radiotherapy for patients with optic nerve sheath meningioma. Int J Radiat Oncol Biol Phys 2009 ; 75(4) : 1166-72.
[56]
Moyal L, Vignal-Clermont C, Boissonnet H, Alapetite C. [Results of fractionated targeted proton beam therapy in the treatment of primary optic nerve sheath meningioma]. J Fr Ophtalmol 2014 ; 37(4) : 288-95.
[57]
Crawford JB. Conjunctival melanomas : prognostic factors a review and an analysis of a series. Trans Am Ophthalmol Soc 1980 ; 78 : 467-502.
[58]
Collin JR, Allen LH, Garner A, Hungerford JL. Malignant melanoma of the eyelid and conjunctiva. Aust N Z J Ophthalmol 1986 ; 14(1) : 29-34.
[59]
de Wolff-Rouendaal D, Oosterhuis JA. Conjunctival melanomas in The Netherlands : a follow-up study. Doc Ophthalmol 1983 ; 56(1-2) : 49-54.
[60]
Oguz Y, Desjardins L, Schlienger P, et al. [Radiotherapy in the treatment of melanoma of the conjunctiva]. Bull Soc Ophtalmol Fr 1989 ; 89(8-9) : 949-52.
[61]
Zografos L, Uffer S, Bercher L, Gailloud C. [Combined surgery, cryocoagulation and radiotherapy for treatment of melanoma of the conjunctiva]. Klin Monbl Augenheilkd 1994 ; 204(5) : 385-90.
[62]
Thariat J, Salleron J, Maschi C, et al. Oncologic and visual outcomes after postoperative proton therapy of localized conjunctival melanomas. Radiat Oncol 2019 ; 14(1) : 239.
[63]
Wilder RB, Kittelson JM, Shimm DS. Basal cell carcinoma treated with radiation therapy. Cancer 1991 ; 68(10) : 2134-7.
[64]
Schlienger P, Brunin F, Desjardins L, et al. External radiotherapy for carcinoma of the eyelid : Report of 850 cases treated. Int J Radiat Oncol Biol Phys 1996 ; 34(2) : 277-87.
[65]
Childers BJ, Goldwyn RM, Ramos D, et al. Long-term results of irradiation for basal cell carcinoma of the skin of the nose. Plast Reconstr Surg 1994 ; 93(6) : 1169-73.
[66]
Hernández-Machin B, Borrego L, Gil-García M, Hernández BH. Office-based radiation therapy for cutaneous carcinoma : evaluation of 710 treatments. Int J Dermatol 2007 ; 46(5) : 453-9.
[67]
Avril MF, Auperin A, Margulis A, et al. Basal cell carcinoma of the face : surgery or radiotherapy ? Results of a randomized study. Br J Cancer 1997 ; 76(1) : 100-6.
[68]
Petit JY, Avril MF, Margulis A, et al. Evaluation of cosmetic results of a randomized trial comparing surgery and radiotherapy in the treatment of basal cell carcinoma of the face. Plast Reconstr Surg 2000 ; 105(7) : 2544-51.
[69]
Faustina M, Diba R, Ahmadi MA, et al. Patterns of regional and distant metastasis in patients with eyelid and periocular squamous cell carcinoma. Ophthalmology 2004 ; 111(10) : 1930-2.
[70]
Gillenwater AM, Hessel AC, Morrison WH, et al. Merkel cell carcinoma of the head and neck : effect of surgical excision and radiation on recurrence and survival. Arch Otolaryngol Head Neck Surg. 2001 ; 127(2) : 149.
[71]
Lawenda BD, Arnold MG, Tokarz VA, et al. Analysis of radiation therapy for the control of Merkel cell carcinoma of the head and neck based on 36 cases and a literature review. Ear Nose Throat J 2008 ; 87(11) : 634-43.
[72]
Mojica P, Smith D, Ellenhorn JDI. Adjuvant radiation therapy is associated with improved survival in Merkel cell carcinoma of the skin. J Clin Oncol 2007 ; 25(9) : 1043-7.
[73]
Fitzpatrick PJ, Thompson GA, Easterbrook WM, et al. Basal and squamous cell carcinoma of the eyelids and their treatment by radiotherapy. Int J Radiat Oncol Biol Phys 1984 ; 10(4) : 449-54.
[74]
Worgul BV, Merriam GR, Szechter A, Srinivasan D. Lens epithelium and radiation cataract. I. Preliminary studies. Arch Ophthalmol 1976 ; 94(6) : 996-9.
[75]
Henk JM, Whitelocke RA, Warrington AP, Bessell EM. Radiation dose to the lens and cataract formation. Int J Radiat Oncol Biol Phys 1993 ; 25(5) : 815-20.
[76]
Seibel I, Cordini D, Hager A, et al. Cataract development in patients treated with proton beam therapy for uveal melanoma. Graefes Arch Clin Exp Ophthalmol 2016 ; 254(8) : 1625-30.
[77]
Ferrufino-Ponce ZK, Henderson BA. Radiotherapy and cataract formation. Semin Ophthalmol 2006 ; 21(3) : 171-80.
[78]
Msika LC, Matet A, Dendale R, et al. [Rapidly progressing cataract in contact with ciliary body melanoma after proton-beam irradiation]. J Fr Ophtalmol 2019 ; 42(3) : e115-6.
[79]
Fife K, Milan S, Westbrook K, et al. Risk factors for requiring cataract surgery following total body irradiation. Radiother Oncol 1994 ; 33(2) : 93-8.
[80]
Finger PT. Tumour location affects the incidence of cataract and retinopathy after ophthalmic plaque radiation therapy. Br J Ophthalmol 2000 ; 84(9) : 1068-70.
[81]
Emami B, Lyman J, Brown A, et al. Tolerance of normal tissue to therapeutic irradiation. Int J Radiat Oncol Biol Phys 1991 ; 21(1) : 109-22.
[82]
Lambrecht M, Eekers DBP, Alapetite C, et al. Radiation dose constraints for organs at risk in neuro-oncology ; the European Particle Therapy Network consensus. Radiother Oncol 2018 ; 128(1) : 26-36.
[83]
Osman IM, Abouzeid H, Balmer A, et al. Modern cataract surgery for radiation-induced cataracts in retinoblastoma. Br J Ophthalmol 2011 ; 95(2) : 227-30.
[84]
Jeganathan VSE, Wirth A, MacManus MP. Ocular risks from orbital and periorbital radiation therapy : a critical review. Int J Radiat Oncol Biol Phys 2011 ; 79(3) : 650-9.
[85]
Parsons JT, Bova FJ, Fitzgerald CR, et al. Severe dry-eye syndrome following external beam irradiation. Int J Radiat Oncol Biol Phys 1994 ; 30(4) : 775-80.
[86]
Thariat J, Maschi C, Lanteri S, et al. Dry eye syndrome after proton therapy of ocular melanomas. Int J Radiat Oncol Biol Phys 2017 ; 98(1) : 142-51.
[87]
Barabino S, Raghavan A, Loeffler J, Dana R. Radiotherapy-induced ocular surface disease. Cornea 2005 ; 24(8) : 909-14.
[88]
Mayo C, Martel MK, Marks LB, et al. Radiation dose–volume effects of optic nerves and chiasm. Int J Radiat Oncol Biol Phys 2010 ; 76(3, Suppl) : S28-35.