Retour
Chapitre 8
Lésions lymphoïdes, leucémiques et métastatiques de la surface oculaire

N. Cassoux

Les lésions lymphoïdes de la surface oculaires sont représentées essentiellement par les lymphomes, le plus fréquent étant le lymphome de bas grade de type MALT ( mucosa-associated lymphoid tissue ), les lymphomes folliculaires, les lymphomes du manteau, et les localisations conjonctivales ou orbitaires des lymphomes malins non hodgkiniens ganglionnaires. On peut également retrouver des localisations de myélome, de leucémies, etc.
Lymphomes de la surface oculaire
Introduction
Les maladies hématologiques, en particulier les lymphomes, peuvent atteindre l'œil sous différentes formes. Ce que l'on appelle les lymphomes oculaires est un fourre-tout qui regroupe les atteintes intraoculaires et les atteintes des annexes de l'œil et de l'orbite. Les atteintes intraoculaires ont fait l'objet récemment d'une nouvelle classification qui sépare les lymphomes vitréorétiniens (vitréen, vitréorétinien et rétinien), les lymphomes choroïdiens et les lymphomes de l'iris. Cette partie sera traitée plus loin.
À côté de ces atteintes intraoculaires, il existe une atteinte des annexes de l'œil (conjonctive, glande lacrymale) et de l'orbite, dont la plus fréquente est liée au lymphome de type MALT [1].
Lymphome de type MALT
Les lymphomes de la zone marginale (LZM) représentent un groupe de lymphomes dont l'origine cellulaire dérive de lymphocytes B issus de la zone marginale, correspondant à une région anatomique spécifique des organes lymphoïdes secondaires. Ces cellules peuvent être issues d'une région anatomiquement localisée dans des organes lymphoïdes (rate et ganglions), ou dans des organes non lymphoïdes au niveau de muqueuses associées aux tissus lymphoïdes (MALT). Il existe enfin des atteintes extranodales de tissus non associés aux muqueuses, tels que la peau, l'orbite ou la dure-mère.
L' International Extranodal Lymphoma Study Group (IELSG, ou Groupe international d'études des lymphomes extranodaux) distingue trois sous-groupes de LZM en fonction de l'atteinte initiale de la lésion :
  • le LZM extranodal de type MALT ;
  • le LZM splénique (LZMS ; avec ou sans lymphocyte villeux) ;
  • le LZM ganglionnaire (LZMG ou sans cellules monocytoïdes B) [2].
Épidémiologie du lymphome de type MALT
Les LZM représentent entre 5 et 17 % de l'ensemble des lymphomes non hodgkiniens (LNH) de l'adulte selon les séries.
Le lymphome de type MALT est le plus fréquent des sous-types de LZM, représentant entre 50 et 70 % des LZM, soit 8 % environ des LNH, le plaçant au troisième rang des LNH de l'adulte. La médiane d'âge est de 60 ans au diagnostic, avec une prépondérance modérée chez la femme. Certaines études ont montré une variabilité de l'incidence en fonction de zones géographiques ; par exemple, on note une incidence augmentée dans le nord de l'Italie de lymphomes de MALT de localisation gastrique. Il est également intéressant de noter que l'incidence de la localisation gastrique est en baisse alors qu'elle augmente régulièrement dans les autres localisations, dont l'œil, avec des sujets plus jeunes [3].
Physiopathogénie
Ce sous-type anatomopathologique de LZM diffère des autres sous-types (LZMS, LZMG), en se développant dans des organes où il n'existe pas physiologiquement de tissu lymphoïde.
Six agents bactériens sont maintenant identifiés comme agents pathogènes associés aux LZM de type MALT. Helicobacter pylori est le mieux caractérisé d'entre eux, associé au lymphome gastrique de type MALT. Pour les formes extradigestives oculaires, le lien entre l'infection à Chlamydia psittaci et l'atteinte lymphomateuse orbitaire est très discuté. La bactérie n'a été retrouvée associée à la localisation conjonctivale que dans quelques régions du globe [3].
Cette stimulation antigénique chronique par des autoantigènes et/ou des agents pathogènes microbiens induit une prolifération polyclonale B initiale et permet d'expliquer l'apparition d'infiltrats lymphoïdes dans des sites extranodaux [4].
Cette stimulation immunitaire induit une accumulation de tissus lymphoïdes dans des sites typiques de chaque entité de lymphomes des muqueuses.
Les lymphomes de MALT présentent des aberrations chromosomiques récurrentes dont des translocations chromosomiques, ou des aberrations équilibrées.
La translocation t(11;18)(q21;q21) est la plus fréquente des anomalies chromosomiques structurales dans le lymphome de MALT, présente dans 10 à 50 % des lymphomes gastriques de type MALT. Elle est rarement retrouvée dans les autres formes de LNH, à l'exception de l'atteinte pulmonaire.
La présence de cette translocation t(11;18) (q21;q21) dans les MALT est corrélée avec la perte d'une instabilité génétique ou des déséquilibres chromosomiques.
L'accumulation d'anomalies génétiques permet une autonomisation de prolifération indépendamment de la stimulation antigénique chronique. Ces anomalies acquises peuvent induire la transformation de lymphomes à petites cellules en grandes cellules.
Clinique
La présentation clinique varie au diagnostic selon la localisation de l'atteinte lymphomateuse, même si certaines caractéristiques sont habituellement retrouvées. La plupart des patients présentent au diagnostic un état général conservé, l'absence de signe clinique d'évolutivité B (absence de sueurs nocturnes profuses, absence de perte de poids supérieure à 10 % du poids habituel en 6 mois, et fébricule à prédominance vespérale sans étiologie infectieuse retrouvée depuis plus de 3 semaines), et l'absence d'anomalies biologiques de mauvais pronostic, telles que l'élévation de la β2-microglobulinémie et du taux de LDH. La maladie est localisée dans la majorité des cas (atteinte multifocale dans 30 à 40 % des cas).
La dissémination de la maladie peut se faire à d'autres atteintes muqueuses, ou bien à partir d'un site muqueux vers une atteinte viscérale splénique, médullaire ou hépatique. L'atteinte médullaire est retrouvée chez 20 % des patients au diagnostic. Enfin, le risque de dissémination est significativement augmenté chez les patients ayant une atteinte non digestive (thyroïde, poumon, glandes salivaires, peau, orbite).
Le staging des lymphomes indolents de type MALT, quelle que soit la localisation, peut se faire selon la classification d'Ann Harbor utilisée pour les lymphomes d'une manière générale. Elle s'applique cependant mal aux lymphomes des annexes de l'œil et des orbites où une classification TNM est plus appropriée [5]. La classification TNM est établie après un bilan fait par les hématologistes (encadré 8-1
Encadré 8-1
Classification TNM du lymphome des annexes selon l'American Joint Committee on Cancer (AJCC)
Tumeur primitive (T)
  • TX : extension du lymphome non spécifiée
  • T0 : pas de signe de lymphome
  • T1 : lymphome touchant seulement la conjonctive ; pas d'atteinte orbitaire
    • T1a : conjonctive bulbaire seulement
    • T1b : conjonctive palpébrale ± fornix ± caroncule
    • T1c : conjonctive bulbaire et non bulbaire
  • T2 : lymphome avec atteinte orbitaire
    • T2a : atteinte orbitaire antérieure mais sans la glande lacrymale (± conjonctive)
    • T2b : atteinte orbitaire antérieure avec atteinte de la glande lacrymale (± conjonctive)
    • T2c : atteinte de l'orbite postérieure (± conjonctive ± atteinte de muscle oculomoteur)
    • T2d : atteinte du système de drainage lacrymonasal
  • T3 : lymphome avec atteinte palpébrale préseptale1
    1.
    1.L'orbite antérieure est définie comme la zone entre le septum orbitaire et l'équateur du globe. L'orbite postérieure est définie comme la zone postérieure à l'équateur du globe, s'étendant jusqu'à l'apex orbitaire.
    ,2
    2.
    2.On dit qu'il existe une atteinte palpébrale quand le lymphome des annexes infiltre le tissu préseptal (c'est-à-dire le tissu antérieur au septum orbitaire).
    ± n'importe quelle atteinte conjonctivale
  • T4 : lymphome des annexes orbitaires s'étendant au-delà de l'orbite aux structures adjacentes comme os et cerveau
    • T4a : atteinte du nasopharynx
    • T4b : atteinte osseuse incluant le périoste
    • T4c : atteinte maxillofaciale, ethmoïdale ± sinus frontaux
    • T4d : extension intracrânienne
Atteinte ganglionnaire (N)
  • Nx : pas d'exploration ganglionnaire
  • N0 : pas de signe d'atteinte ganglionnaire
  • N1 : atteinte des ganglions homolatéraux33
    3.
    3.Les adénopathies régionales incluent les ganglions préauriculaire (parotide), sous-maxillaire et cervicaux.
  • N2 : atteinte des ganglions homolatéraux ou bilatéraux
  • N3 : atteinte des ganglions périphériques ne drainant pas le territoire des annexes oculaires
  • N4 : atteinte des ganglions centraux
Métastases (M)
  • MX : dissémination du lymphome non explorée
  • M0 : pas de signe d'atteinte extraganglionnaire
  • M1 : atteinte lymphomateuse d'autres organes au diagnostic ou secondairement
    • M1a : atteinte non contiguë de tissus ou organes extérieurs aux annexes oculaires (glande parotide, glande sous-maxillaire, poumon, foie, rate, rein, sein)
    • M1b : atteinte lymphomateuse de l'os
    • M1c : à la fois M1a et M1b
).
Atteinte oculaire du MALT
L'atteinte oculaire des lymphomes de bas grade (lymphome de MALT et plus rarement lymphome du manteau) est la plus fréquente des atteintes oculaires liées à un lymphome. Les données épidémiologiques montrent une augmentation de l'incidence de ces lymphomes des annexes de l'œil de 6,3 % par an [3]. C'est la tumeur la plus fréquente des annexes oculaires, représentant 55 % de celles-ci [6]. Concernant les atteintes des annexes oculaires par le lymphome, la majorité d'entre elles sont une atteinte liée à des lymphomes extraganglionnaires de la zone marginale associée au muqueuses (MALT), suivie des lymphomes folliculaires (environ 20 %) et les lymphomes diffus à grandes cellules (environ 8 %). Plus rarement, on peut rencontrer des lymphomes du manteau, lymphomes lymphocytiques, lymphomes lymphoplasmocytaires. De 10 à 32 % des atteintes sont secondaires à un lymphome systémique [7].
Ces localisations des annexes sont de gravité variable, allant de la simple hyperplasie lymphocytaire bénigne réactionnelle au lymphome malin agressif.
Diagnostic
Le diagnostic repose sur la biopsie d'une lésion qui retrouve une prolifération dont l'organisation est caractéristique de petits lymphocytes B CD20 +, CD10–, CD23–, BCL-6–, CD3 +, et en général CD5–. La monoclonalité peut être retrouvée par les techniques de PCR, et l'immunohistochimie retrouve une translocation t(11;14)(q13;q32). D'autres translocations peuvent être retrouvées, par exemple t(3;14)(p14;q32), retrouvée dans 20 % des cas et qui juxtapose le gène FOXP1 au gène promoteur des IgH, ou chaînes lourdes des immunoglobulines [8].
Physiopathogénie
La physiopathogénie a fait l'objet de nombreux débats pour retrouver un agent pathogène déclenchant la prolifération lymphocytaire. Si Helicobacter pilori a été démontré comme acteur dans le lymphome de l'estomac, cela reste non établi dans le lymphome des annexes. Certaines équipes ont retrouvé une association entre le MALT de la conjonctive et l'ADN du Chlamidia psittaci (la plupart du temps en Asie), mais d'autres équipes ne retrouvent pas ces résultats, en particulier en Europe [9]. Il n'est pas actuellement démontré que le MALT de la conjonctive soit associé à une infection bactérienne quelle qu'elle soit [10].
Clinique
Sur le plan clinique, le site le plus fréquent est l'orbite (40 %), induisant un syndrome orbitaire suivi de la conjonctive (35 à 40 % des cas), produisant une lésion conjonctivale souvent localisée dans les culs-de-sac rose saumoné assez typique, à la glande lacrymale (10 à 15 %), aux paupières (10 %). En général, l'atteinte est unilatérale, mais peu concerner les deux yeux simultanément ou de manière différée dans 10 à 15 % des cas [6 , 11] (fig. 8-1,
Fig. 8-1
Infiltration saumonée de la conjonctive bulbaire.
fig. 8-2,
Fig. 8-2
Infiltration du cul-de-sac inférieur par un lymphome de MALT.
fig. 8-3
Fig. 8-3
a, b. Infiltration en bouée des culs-de-sac dont le cul-de-sac supérieur.
).
Évolution et diagnostic
Les lésions sont d'évolution lente et le diagnostic peut être établi plusieurs années après le début des symptômes, en particulier dans la forme conjonctivale. Dans les formes localisées avec une lésion de petite taille, une excision diagnostique peut être réalisée, mais dans la majorité des cas, l'infiltration conjonctivale est plus diffuse. L'examen soigneux des culs-de-sac conjonctivaux retrouve souvent une infiltration faisant le tour des culs-de-sac. Il ne faut en aucun cas chercher à faire une exérèse des lésions qui aboutirait à des délabrements importants de la surface (symblépharon, rétrécissement des culs-de-sac, insuffisance limbique). Il convient donc de réaliser une simple biopsie avec suffisamment de matériel pour l'histologie, l'immunomarquage et la biologie moléculaire. Le prélèvement ne doit pas être fixé mais envoyé à l'état frais en anatomopathologie. Il faut éviter de déposer les prélèvements sur une fléchette ou une compresse sèche pour ne pas déshydrater les tissus.
Une fois le diagnostic établi, un bilan d'extension s'impose qui sera fait par les hématologues.
Traitement
En dépit d'une abondante littérature sur les caractéristiques physiopathologiques des lymphomes de MALT, il n'existe que quelques séries rétrospectives où il est question de la place de la chirurgie, de la chimiothérapie ou de la radiothérapie (fig. 8-4
Fig. 8-4
Lymphome conjonctival de MALT avant (a) et après (b) traitement par irradiation externe à 20 Gy.
). L'IELSG a cependant permis de coordonner quelques études prospectives.
L'oncogenèse unique de ce type de maladie, liée à des cofacteurs pathogènes impliqués dans l'initiation de l'hémopathie, a un impact sur le traitement. Pour les maladies localisées, l'éradication d' Helicabacter pylori au niveau gastrique par une antibiothérapie ciblée permet l'obtention d'une régression complète lymphomateuse dans environ 80 % des cas [12].
Dans les localisations extragastriques comme la conjonctive, le traitement local antibiotique n'a jamais démontré d'intérêt.
Le traitement de la forme oculaire isolée ne repose sur aucun consensus. En fonction des équipes, il est fondé sur la radiothérapie seule. L'association avec une chimiothérapie ou l'immunothérapie par les anticorps anti-CD20 est à discuter en fonction du bilan et avec l'hématologiste. Certaines équipes préconisent également un traitement antibiotique anti- chlamidiae . Aucune de ces stratégies n'a fait l'objet d'une étude randomisée portant sur l'efficacité versus la toxicité, et les protocoles thérapeutiques varient en fonction des équipes [6 , 10 , 13].
Il est de règle de ne faire de chirurgie d'exérèse que dans des formes très localisées, ce qui est rarement de cas. La plupart du temps, les lésions conjonctivales sont étendues, prenant souvent tout le cul-de-sac conjonctival. Dans ce cas, il ne faut pas faire une exérèse délabrante mais une biopsie. Le choix thérapeutique dépend de la forme histologique et du staging hématologique, et peut être une immunothérapie par anticorps anti-CD20, une radiothérapie externe, une chimiothérapie ou une combinaison de ces différents traitements (fig. 8-5
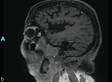
Fig. 8-5
a. Atteinte conjonctivo-palpébrale bilatérale et orbitaire avec atteinte des parotides dans une forme plus diffuse. b. IRM montrant une infiltration des paupières et de la graisse orbitaire. c. Après traitement par rituximab et irradiation externe.
) [14].
Pour les formes disséminées au diagnostic, l'utilisation de chimiothérapies de type alkylant (chloraminophène ou alkéran) ou les analogues des purines tels que la fludarabine permettent d'induire des taux de réponse complète dans 75 % des cas, avec une survie sans récidive et une survie globale à 5 ans respectivement à 50 % et 75 %. Les anthracyclines ne sont classiquement utilisées qu'en cas de transformation du lymphome indolent en lymphome agressif à grandes cellules B, ou en cas de critères de forte masse tumorale, définis par une masse de taille supérieure à 7 cm et/ou un taux élevé de LDH.
L'activité clinique de l'anticorps monoclonal anti-CD20 de type Mabthera® a été démontrée dès 2003, dans les atteintes nodales et extranodales de lymphomes de la zone marginale, avec une réponse tumorale de l'ordre de 75 % quand il est utilisé en première ligne thérapeutique. Les patients atteints de lymphome de type MALT ont une évolution favorable, avec une survie à 5 ans entre 86 et 95 %, sans différence significative entre les formes digestives et les formes non gastro-intestinales d'une part, et sans différence significative entre les formes localisées et les formes disséminées d'autre part (voir aussi les fig. 8-6,
Fig. 8-6
Diagnostic différentiel : patient atteint d'une sarcoïdose avec localisation conjonctivale.
fig. 8-7
Fig. 8-7
Diagnostic différentiel : xanthogranulome conjonctival.
Source : Pr Sauer.
).
Autres atteintes conjonctivales rares (leucémies, métastases)
L'atteinte orbitaire ou, plus exceptionnellement, conjonctivale des adénocarcinomes métastatiques reste un événement rare. Il s'agit en général de patients atteints d'un adénocarcinome (sein – fig. 8-8
Fig. 8-8
Localisation conjonctivale métastatique d'un adénocarcinome du sein.
–, poumon), ou d'un carcinome neuro-endocrine dans le cadre de l'évolution métastatique de leur maladie. De même, les leucémies en rechute peuvent présenter des infiltrations conjonctivales ressemblant à une infiltration lymphomateuse. La maladie étant connue, le diagnostic n'est pas difficile et peut être confirmé par une seule biopsie. Les infiltrations conjonctivales métastatiques sont généralement des infiltrations achromes plus ou moins hémorragiques, sauf dans le cas très rare de métastases sous-conjonctivales d'un mélanome malin cutané métastatique où la lésion est fortement pigmentée.
Le traitement repose sur le traitement de la maladie initiale et sur une éventuelle radiothérapie adjuvante.
Bibliographie
[1]
Coupland SE, Hummel M, Stein H. Ocular adnexal lymphomas : five case presentations and a review of the literature. Surv Ophthalmol 2002 ; 47(5) : 470-90.
[2]
Zucca E, Bertoni F, Stathis A, Cavalli F. Marginal zone lymphomas. Hematol Oncol Clin North Am 2008 ; 22(5) : 883-901, viii.
[3]
Khalil MO, Morton LM, Devesa SS, et al. Incidence of marginal zone lymphoma in the United States, 2001-2009 with a focus on primary anatomic site. Br J Haematol 2014 ; 165(1) : 67-77.
[4]
Peveling-Oberhag J, Arcaini L, Hansmann ML, Zeuzem S. Hepatitis C-associated B-cell non-Hodgkin lymphomas. Epidemiology, molecular signature and clinical management. J Hepatol 2013 ; 59(1) : 169-77.
[5]
Coupland SE, White VA, Rootman J, et al. A TNM-based clinical staging system of ocular adnexal lymphomas. Arch Pathol Lab Med 2009 ; 133(8) : 1262-7.
[6]
Rasmussen PK, Coupland SE, Finger PT, et al. Ocular adnexal follicular lymphoma : a multicenter international study. JAMA Ophthalmol 2014 ; 132(7) : 851-8.
[7]
Stefanovic A, Davis J, Murray T, et al. Treatment of isolated primary intraocular lymphoma with high-dose methotrexate-based chemotherapy and binocular radiation therapy : a single-institution experience. Br J Haematol 2010 ; 151(1) : 103-6.
[8]
Takada S, Yoshino T, Taniwaki M, et al. Involvement of the chromosomal translocation t(11;18) in some mucosa-associated lymphoid tissue lymphomas and diffuse large B-cell lymphomas of the ocular adnexa : evidence from multiplex reverse transcriptase-polymerase chain reaction and fluorescence in situ hybridization on using formalin-fixed, paraffin-embedded specimens. Mod Pathol 2003 ; 16(5) : 445-52.
[9]
Matthews JM, Moreno LI, Dennis J, et al. Ocular adnexal lymphoma : no evidence for bacterial DNA associated with lymphoma pathogenesis. Br J Haematol 2008 ; 142(2) : 246-9.
[10]
Decaudin D, Ferroni A, Vincent-Salomon A, et al. Ocular adnexal lymphoma and Helicobacter pylori gastric infection. Am J Hematol 2010 ; 85(9) : 645-9.
[11]
Charlotte F, Doghmi K, Cassoux N, et al. Ocular adnexal marginal zone B cell lymphoma : a clinical and pathologic study of 23 cases. Virchows Arch 2006 ; 448(4) : 506-16.
[12]
Wotherspoon AC. Gastric MALT lymphoma and Helicobacter pylori. Yale J Biol Med 1996 ; 69(1) : 61-8.
[13]
Tran KH, Campbell BA, Fua T, et al. Efficacy of low dose radiotherapy for primary orbital marginal zone lymphoma. Leuk Lymphoma 2012 ; 54(3) : 491-6.
[14]
Zucca E, Conconi A, Laszlo D, et al. Addition of rituximab to chlorambucil produces superior event-free survival in the treatment of patients with extranodal marginal-zone B-cell lymphoma : 5-year analysis of the IELSG-19 Randomized Study. J Clin Oncol 2013 ; 31(5) : 565-72.