Retour
Chapitre 12
Tumeurs de l'iris

Nævus de l'iris
A. Matet
Introduction
Les nævus iriens sont des lésions mélanocytaires bénignes de l'iris. Ils se caractérisent par une lésion le plus souvent pigmentée, mais qui peut aussi être achrome, en relief. Les nævus effacent les reliefs iriens, au contraire des éphélides, simples modifications de la pigmentation irienne.
Caractéristiques cliniques
La fréquence des nævus est estimée à 5 % de la population, et ils peuvent exceptionnellement se transformer en mélanome irien . Comme d'autres lésions mélaniques, les nævus iriens apparaissent durant l'enfance ou l'adolescence, et ont tendance à se pigmenter pendant la puberté. Ils sont plus fréquents chez les sujets caucasiens. Sur une série de 3680 lésions iriennes rapportée par Shields et al., 42 % étaient des nævus [ 1].
L'aspect clinique des nævus iriens est très variable. Leur pigmentation (nævus pigmenté, achrome), leur forme (arrondi, en secteur, plan, en relief) et leurs dimensions (localisé, diffus) peuvent différer d'un cas à l'autre (fig. 12-1,
Fig. 12-1
Nævus irien plan chez une femme de 41 ans. On note la présence d'un discret ectropion uvéal, qui n'est pas un signe de malignité.
fig. 12-2,
Fig. 12-2
Nævus irien chez un homme de 77 ans sans caractéristique suspecte.
fig. 12-3,
Fig. 12-3
Nævus irien en relief chez une femme de 59 ans. La lésion est stable sur un suivi de 10 ans.
fig. 12-4,
Fig. 12-4
Échographie de la lésion présentée à la fig. 12-3 , montrant une lésion iso-échogène avec une zone cavitaire intralésionnelle, de 1,69 mm d'épaisseur. Le mode Doppler ne montre pas de vascularisation intralésionnelle. Ces éléments, ainsi que la stabilité au cours du suivi, confirment le diagnostic de nævus irien.
fig. 12-5,
Fig. 12-5
Nævus irien achrome chez une femme de 51 ans, de localisation périphérique au contact de l'angle iridocornéen.
fig. 12-6
Fig. 12-6
Gonioscopie du nævus irien présenté à la fig. 12-5 montrant l'absence d'invasion de l'angle iridocornéen au-delà des limites de la lésion.
). La présence éventuelle d'un essaimage de pigment dans l'angle iridocornéen est possible, sans que cela soit un signe de mélanome. En revanche, un véritable feutrage épais dans l'angle iridocornéen est très suspect de mélanome. De même, toute lésion pigmentée irienne ou iridociliaire associée à une hypertonie oculaire doit faire suspecter un mélanome, car un nævus bénin provoque très rarement une augmentation de la pression intraoculaire.
Parmi les autres signes moins fréquents, l'irrégularité de la pupille, un ectropion uvéal (voir fig. 12-1
Fig. 12-1
Nævus irien plan chez une femme de 41 ans. On note la présence d'un discret ectropion uvéal, qui n'est pas un signe de malignité.
), la présence de synéchies iridocornéennes, d'une cataracte secondaire ou d'un kyste irien associé au nævus ne sont pas nécessairement des signes suspects de transformation maligne.
En revanche, la présence d'un hyphéma et une configuration diffuse sont associées à un risque de croissance accru vers un mélanome irien. L'équipe des Shields mentionne également un âge inférieur à 40 ans, une localisation inférieure, un ectropion uvéal et des marges floues comme signes à risque de transformation, et synthétisent ces caractéristiques par le moyen mnémotechnique « ABCDE » ( Age , Blood , Clock hour inferiorly , Diffuse configuration , Ectropion , Feathery margins ) [2].
Diagnostics différentiels
Mélanocytome irien
Une variante de lésion irienne pigmentée est le mélanocytome irien (fig. 12-7
Fig. 12-7
Mélanocytome irien chez une femme de 43 ans, ayant fait initialement suspecter un mélanome irien, mais n'ayant pas progressé au cours d'un suivi de 3 ans.
). Cette lésion est de diagnostic plus difficile car, bien que bénigne, elle peut évoquer cliniquement un mélanome irien. Comme le mélanocytome de la papille, le mélanocytome de l'iris est très pigmenté. Il peut s'accompagner d'une dispersion de pigment, pouvant provoquer une hypertonie oculaire, et surtout, il peut grossir au cours du temps sans perdre son caractère bénin [3].
Kystes iriens
Les kystes sont des formations bénignes composées d'une ou de plusieurs couches de cellules épithéliales sans chorion sous-jacent. Leur contenu est le plus souvent liquidien. Il existe une grande variété de kystes iriens en fonction de leur localisation et du tissu irien affecté. Ces différents kystes sont récapitulés dans l' encadré 12-1
Encadré 12-1
Classification des kystes iriens (d'après Shields et al. [7])
Kystes iriens primaires
  • Kystes de l'épithélium irien
    • Central
    • Moyenne périphérie
    • Périphérie
    • Déplacé (dans le segment antérieur ou postérieur)
  • Kystes du stroma irien
    • Congénital
    • Acquis
Kystes iriens secondaires
  • Kystes épithéliaux
    • Kystes d'implantation (postopératoires, post-traumatiques)
    • Perles
  • Kystes iatrogènes
  • Kystes parasitaires
(fig. 12-8,
Fig. 12-8
Kystes périphériques de l'épithélium pigmenté irien d'apparition récente chez une femme de 90 ans.
fig. 12-9,
Fig. 12-9
Gonioscopie des kystes iriens présentés à la fig. 12-8 montrant leur nature translucide et l'absence d'invasion de l'angle iridocornéen.
fig. 12-10
Fig. 12-10
Kystes d'implantation chez un patient de 60 ans ayant pour antécédent une kératoplastie transfixiante 24 ans auparavant. Il s'agit d'une probable prolifération d'épithélium cornéen favorisée par les cicatrices chirurgicales transfixiantes.
). En pratique, une échographie haute fréquence ou UBM ( ultrasound biomicroscopy ) permet de préciser le diagnostic et de caractériser les kystes iriens. Ils nécessitent une surveillance, sauf en cas d'atteinte de l'axe visuel, qui peut justifier une aspiration à l'aiguille, voire une injection intrakystique d'alcool en cas de récidive [4-5-6-7].
Syndrome iridocornéo-endothélial
Le syndrome iridocornéo-endothélial, ou iridocorneal endothelial syndrome (ICE), est une prolifération anormale bénigne de cellules endothéliales cornéennes en chambre antérieure, se manifestant cliniquement par une décompensation cornéenne avec œdème cornéen, des synéchies iridocornéennes périphériques et des anomalies iriennes (fig. 12-11
Fig. 12-11
Syndrome irido-cornéo-endothélial chez un homme de 44 ans.
). L'évolution est souvent marquée par l'apparition d'un glaucome secondaire en raison de l'invasion du trabéculum. Les anomalies de l'iris peuvent consister en une atrophie, une distorsion ou des nodules iriens. L'atteinte est en général unilatérale et survient plus volontiers chez la femme jeune. En fonction de l'atteinte prédominante, l' ICE syndrome se décline en atrophie essentielle de l'iris (anomalies iriennes), le syndrome de Chandler (anomalies cornéennes) et le syndrome de Cogan-Reese ou iris naevus syndrome (nodules iriens) [8].
Métastase irienne
Devant tout nævus irien achrome, une métastase irienne doit être évoquée, et cette hypothèse éliminée par la réalisation au minimum d'un TEP-scanner et d'un scanner thoraco-abdomino-pelvien. Les métastases iriennes sont abordées dans le chapitre 12.3.
Imagerie
L'imagerie des nævus iriens repose principalement sur la photographie du segment antérieur sur une lampe à fente équipée d'une caméra. Il est également utile de réaliser des clichés en gonioscopie pour surveiller des lésions périphériques, une éventuelle extension à l'angle iridocornéen, ou un essaimage de pigment dans l'angle.
L'échographie haute fréquence à 50 MHz, dite UBM, est également une modalité essentielle car elle permet d'évaluer les dimensions exactes de la lésion avec une précision au dixième voire au centième de millimètre, de détecter et surveiller une extension à l'angle iridocornéen et surtout au corps ciliaire (fig. 12-12
Fig. 12-12
Échographie chez le patient présenté à la fig. 12-10 , confirmant la nature kystique des lésions situées en avant de l'iris, qui sont hypo-échogènes avec un liseré hyperéchogène.
et voir fig. 12-4
Fig. 12-4
Échographie de la lésion présentée à la fig. 12-3 , montrant une lésion iso-échogène avec une zone cavitaire intralésionnelle, de 1,69 mm d'épaisseur. Le mode Doppler ne montre pas de vascularisation intralésionnelle. Ces éléments, ainsi que la stabilité au cours du suivi, confirment le diagnostic de nævus irien.
).
Les développements récents de la tomographie en cohérence optique (OCT) du segment antérieur permettent également d'imager avec une grande précision les lésions iriennes. Néanmoins, cette technologie est encore limitée par une moins bonne visualisation du corps ciliaire que l'échographie haute fréquence ou UBM, et surtout une atténuation du signal infrarouge par le pigment mélanique, qui limite la détection du bord postérieur des lésions.
Conduite à tenir
Compte tenu du risque assez faible de transformation maligne, les patients présentant un nævus irien doivent être le plus souvent surveillés. L'examen régulier doit comprendre au minimum un examen à la lampe à fente, une prise de tension oculaire et une photographie, ainsi qu'une gonioscopie en cas de lésion atteignant l'angle pour estimer l'essaimage de pigment dans l'angle. L'échographie haute fréquence ou UBM doit elle aussi être répétée de façon régulière. L'intervalle de suivi doit être initialement de 3 à 6 mois en fonction du risque de transformation en mélanome, puis peut être espacé de 6 mois à 1 an.
Mélanome de l'iris
L. Lumbroso-Le Rouic
Introduction
Le mélanome malin de l'iris est une tumeur pigmentée maligne de l'iris. Bien que rare, sa fréquence étant estimée entre 2 % et 5 % des tumeurs de l'uvée, il s'agit de la tumeur maligne la plus fréquente de l'iris. Il survient préférentiellement chez des patients plus jeunes que le mélanome de l'uvée postérieure (de 10 à 20 ans), et ayant des iris clairs [1-2-3] (fig. 12-13
Fig. 12-13
Volumineux mélanome de l'iris moyennement pigmenté.
). Son diagnostic est essentiellement clinique. Les modalités thérapeutiques dépendent de la taille tumorale ainsi que de son retentissement (essaimage de pigment dans l'angle à distance de la tumeur, atteinte de l'angle iridocornéen, présence d'une hypertonie oculaire, etc.). Lorsque la tumeur est localisée, un traitement conservateur est envisageable. Une énucléation reste nécessaire pour les tumeurs très étendues ou présentant une extériorisation extrasclérale, ainsi que pour certaines formes de mélanome irien diffus.
Diagnostic
L'évaluation et le diagnostic se font essentiellement par la clinique. L'examen est ensuite complété par une échographie en haute fréquence (et éventuellement par un OCT du segment antérieur) qui permet de vérifier l'absence d'atteinte du corps ciliaire et d'effectuer les mesures en particulier de l'épaisseur de la lésion, pour pouvoir ensuite proposer le traitement.
Clinique
Le mélanome de l'iris peut survenir de novo ou chez un patient présentant une lésion nævique connue de l'iris.
Il existe deux formes cliniques.
Mélanome de l'iris circonscrit
C'est la forme la plus fréquente, représentant près de 90 % des présentations cliniques (fig. 12-14,
Fig. 12-14
Mélanome de l'iris en partie achrome, avec aspect « tapioca », déformation du sphincter irien et vascularisation intrinsèque.
fig. 12-15,
Fig. 12-15
Mélanome de l'iris partiellement pigmenté.
fig. 12-16,
Fig. 12-16
Mélanome de l'iris, peu pigmenté, de surface irrégulière, vascularisé, compliqué d'un hyphéma.
Source : Dr L. Meyer.
fig. 12-17,
Fig. 12-17
Mélanome de l'iris pigmenté avec amincissement scléral paralimbique.
fig. 12-18,
Fig. 12-18
Mélanome circonscrit, nettement pigmenté envahissant l'angle iridocornéen.
fig. 12-19
Fig. 12-19
Mélanome circonscrit allant jusqu'à l'angle (a) sans essaimage pigmenté, à distance en gonioscopie (b).
). Il s'agit d'une masse irienne mesurable, de pigmentation variable, préférentiellement située sur les méridiens horaires inférieurs et se développant aux dépens du stroma rien (voir fig. 12-14
Fig. 12-14
Mélanome de l'iris en partie achrome, avec aspect « tapioca », déformation du sphincter irien et vascularisation intrinsèque.
, 12-17
Fig. 12-17
Mélanome de l'iris pigmenté avec amincissement scléral paralimbique.
et 12-18
Fig. 12-18
Mélanome circonscrit, nettement pigmenté envahissant l'angle iridocornéen.
). Elle peut entraîner une déformation pupillaire et un ectropion de l'uvée (fig. 12-20
Fig. 12-20
Mélanome circonscrit avec déformation pupillaire.
). Lorsque la lésion est peu pigmentée ou achrome, elle peut prendre un aspect dit « tapioca » (voir fig. 12-14
Fig. 12-14
Mélanome de l'iris en partie achrome, avec aspect « tapioca », déformation du sphincter irien et vascularisation intrinsèque.
). Une cataracte est fréquemment associée et parfois des altérations cornéennes dystrophiques lorsqu'il y a un accolement iridocornéen.
Une vascularisation peut être visible, particulièrement si la pigmentation n'est pas très importante (voir fig. 12-14
Fig. 12-14
Mélanome de l'iris en partie achrome, avec aspect « tapioca », déformation du sphincter irien et vascularisation intrinsèque.
), parfois à l'origine d'épisodes d'hyphéma (voir fig. 12-16
Fig. 12-16
Mélanome de l'iris, peu pigmenté, de surface irrégulière, vascularisé, compliqué d'un hyphéma.
Source : Dr L. Meyer.
). La lésion atteint la plupart du temps plus de 3 fuseaux horaires et mesure en moyenne 5,2 mm de diamètre et plus de 1 mm en épaisseur en échographie [1 , 2 , 4]. Il n'y a pas de critère de taille précis qui permette d'affirmer la nature maligne d'une lésion ; cependant, certains éléments doivent alerter (comme l'essaimage de pigment à distance de la lésion et une hypertonie oculaire associée, un hyphéma).
L'angle iridocornéen est fréquemment envahi, soit par la lésion elle-même (voir fig. 12-18
Fig. 12-18
Mélanome circonscrit, nettement pigmenté envahissant l'angle iridocornéen.
et 12-19
Fig. 12-19
Mélanome circonscrit allant jusqu'à l'angle (a) sans essaimage pigmenté, à distance en gonioscopie (b).
), soit par un essaimage pigmenté à distance de la tumeur (fig. 12-21
Fig. 12-21
Mélanome circonscrit de l'iris au contact de l'angle iridocornéen (voir fig. 12-18) avec essaimage pigmenté et nodulaire de l'angle à distance de la lésion sur 6 heures.
et 12-22
Fig. 12-22
Volumineux mélanome circonscrit allant jusqu'à l'angle iridocornéen (a) avec essaimage épais en gonioscopie allant de 3 heures à 12 heures (b).
). La présence d'un essaimage, parfois compliqué d'une hypertonie oculaire, est un élément très en faveur d'une lésion évolutive. La lésion irienne peut envahir le corps ciliaire adjacent. Cependant, si plus de la moitié de la masse totale de la tumeur atteint le corps ciliaire, il faut la classer parmi les atteintes du corps ciliaire.
Dans un certain nombre de cas, le patient décrit la présence d'une lésion pigmentée irienne ancienne, longtemps stable et qui s'est progressivement modifiée. En cas de croissance patente d'une lésion préexistante, le diagnostic de mélanome de l'iris doit être retenu. Ce cas de figure est estimé autour de 2 % et, bien que rare, justifie la surveillance des nævus iriens [5] (fig. 12-23
Fig. 12-23
Lésion pigmentée irienne ancienne et plane (a), et évolution avec étalement en temporal (b).
et 12-24
Fig. 12-24
a. Lésion irienne en partie achrome sur une base pigmentée ancienne et sans retentissement clinique. b. Modifications en taille de la lésion au cours du suivi avec augmentation du nodule achrome qui est plus vascularisé.
).
Mélanome de l'iris diffus
Cette présentation est beaucoup moins fréquente (environ 10 %) [1 , 3]. Cliniquement, les patients ont un tableau clinique atypique qui peut entraîner une méconnaissance de la maladie et donc un retard diagnostique et thérapeutique.
Les patients décrivent l'apparition d'une hétérochromie irienne avec pigmentation progressive de l'œil atteint (fig. 12-25
Fig. 12-25
Iris normal (a) d'un patient avec pigmentation progressive de l'iris controlatéral correspondant à un mélanome diffus de l'iris (b).
et 12-26
Fig. 12-26
Iris controlatéral (a) d'un mélanome irien diffus (b).
). La pigmentation irienne peut être diffuse ou en patches (fig. 12-27
Fig. 12-27
a. Pigmentation en « patches » correspondant à un mélanome de l'iris diffus. b. Aspect du patient après traitement par faisceaux de protons de tout le segment antérieur, majoration d'une cataracte préexistante.
) mais, contrairement à la forme circonscrite, il n'y a pas de lésion cliniquement mesurable. Très fréquemment, l'angle est le siège d'un essaimage pigmenté tumoral, souvent annulaire, et une hypertonie oculaire souvent sévère y est associée.
Certains mélanomes de l'iris circonscrits peuvent aussi présenter un essaimage irien plan plus diffus et constituent des formes « mixtes » (fig. 12-28
Fig. 12-28
Forme « mixte » de mélanome de l'iris avec masse mesurable associée à un essaimage diffus de l'angle iridocornéen.
).
Dans les deux types de présentation clinique, des épisodes d'hyphéma ou d'inflammation oculaire peuvent être observés.
Examens complémentaires
L'examen clinique est complété par la réalisation de photographies du segment antérieur, de l'angle iridocornéen si nécessaire, et une imagerie. L'examen le plus performant, encore aujourd'hui, pour l'évaluation d'un mélanome de l'iris est l'échographie haute fréquence (50 MHz) (fig. 12-29
Fig. 12-29
Échographie haute fréquence de la tumeur irienne de la fig. 12-16 montrant une masse irienne tissulaire, hétérogène avec absence d'atteinte du corps ciliaire en regard.
Source : Dr L. Meyer.
et 12-30
Fig. 12-30
a. Mélanome de l'iris en partie achrome. b. Échographie haute fréquence de la lésion ; pas d'atteinte du corps ciliaire.
). Elle permet de réaliser les mesures de la tumeur irienne, de confirmer qu'il s'agit bien d'une formation tissulaire et de vérifier le corps ciliaire. Après traitement, elle permet de suivre régulièrement la bonne évolution tumorale.
L'OCT du segment antérieur et l'angio-OCT, d'avènement plus récent, peuvent compléter le bilan. Ces examens ont encore des limites techniques pour bien documenter les tumeurs du segment antérieur, en particulier une pénétration insuffisante pour les lésions très pigmentées et épaisses, ce qui ne permet pas pour le moment de mesurer de façon précise toutes les lésions, ni de différencier une lésion maligne d'une lésion bénigne [ 6 , 7].
Diagnostics différentiels
Nævus irien
La lésion ne présente généralement pas d'essaimage pigmenté à distance, ni d'hypertonie oculaire. En cas de doute sur la nature tumorale maligne, une surveillance clinique et échographique est proposée et un traitement réalisé en cas de croissance documentée (voir chapitre 12.1).
Mélanocytome de l'iris
Il s'agit d'une variante de nævus dont la présentation clinique peut être très proche d'un mélanome irien (fig. 12-31
Fig. 12-31
Lésion irienne saillante très fortement pigmentée avec petit essaimage à sa base correspondant à un mélanocytome de l'iris.
). La tumeur est cliniquement très pigmentée, circonscrite, le plus souvent inférieure et allant jusqu'à l'angle iridocornéen. Un essaimage pigmenté à distance peut être constaté, dans l'angle ou au niveau du stroma irien. Il est attribué à des épisodes de nécrose spontanée. Il existe une légère prédominance chez les femmes. En échographie, la lésion est échogène. Ces lésions peuvent lentement progresser sur une longue période de suivi, et une hypertonie oculaire apparaître (pour près de 50 % des patients), liée à un essaimage de cellules pigmentées qui correspondent en anatomopathologie le plus souvent à des macrophages. Une surveillance est donc indiquée pour la plupart des patients. Très rarement, le diagnostic différentiel avec un mélanome de l'iris nécessite de discuter une histologie [8].
Métastase irienne
Le tableau clinique est très généralement assez caractéristique, avec une masse achrome, rapidement évolutive, douloureuse et surtout dans un contexte de néoplasie métastatique déjà connue (voir chapitre 12.3).
Syndrome iridocornéo-endothélial (ICE)
L'ICE peut parfois avoir une présentation clinique pouvant faire évoquer une tumeur irienne, en particulier un mélanome diffus de l'iris (fig. 12-32
Fig. 12-32
a-c. Aspect d'un épaississement de l'iris lentement évolutif correspondant à un ICE syndrome.
Source : Dr H. Bresson-Dumont.
).
Le diagnostic de mélanome est retenu sur les éléments cliniques, essentiellement la taille ainsi que l'association avec un essaimage pigmenté avec hypertonie. La classification utilisée est le TNM (encadré 12-2
Encadré 12-2
Classification TNM des mélanomes de l'iris
  • T : critères cliniques
  • T1 : tumeur limitée à l'iris
  • T1a : tumeur limitée à l'iris étendue à moins de 3 fuseaux horaires
  • T1b : tumeur limitée à l'iris étendue à plus de 3 fuseaux horaires
  • T1c : tumeur limitée à l'iris avec glaucome secondaire
  • T2 : tumeur atteignant ou envahissant le corps ciliaire, la choroïde ou les deux
  • T2a : tumeur atteignant ou envahissant le corps ciliaire sans glaucome secondaire
  • T2b : tumeur atteignant ou envahissant le corps ciliaire et la choroïde sans glaucome secondaire
  • T2c : tumeur atteignant ou envahissant le corps ciliaire, la choroïde ou les deux associés à un glaucome secondaire
  • T3 : tumeur atteignant ou envahissant le corps ciliaire, la choroïde ou les deux avec atteinte sclérale
  • T4 : tumeur atteignant ou envahissant le corps ciliaire, la choroïde ou les deux avec atteinte extrasclérale
  • T4a : tumeur avec une atteinte extrasclérale ≤ 5 mm
  • T4b : tumeur avec une atteinte extrasclérale > 5 mm
) [4]. La classification TNM des mélanomes de l'iris diffère de celle des mélanomes de l'uvée postérieure.
Rarement, s'il y a un doute sur la nature d'une lésion irienne, une biopsie (plutôt qu'une ponction) à visée diagnostique peut être discutée au cas par cas. Cependant, même en cas de biopsie, la certitude diagnostique ne peut pas toujours être obtenue.
Histologie
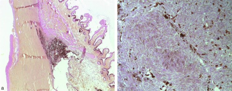
En anatomopathologie, un mélanome de l'iris peut être composé de cellules fusiformes, épithélioïdes ou mixtes (fig. 12-33
Fig. 12-33
Images histologiques après énucléation du patient de la fig. 12-28 . a. Mélanome de l'iris envahissant l'angle. b. Cellules tumorales pigmentées fusiformes.
).
L'American Joint Committee on Cancer (AJCC) définit un grade histologique en fonction du pourcentage de cellules fusiformes et épithélioïdes de la tumeur :
  • G1 : mélanome à cellules fusiformes (> 90 %) ;
  • G2 : mélanome à cellules mixtes ;
  • G3 : mélanome à cellules épithélioïdes (> 90 %) [ 4].
Plus de 50 % des mélanomes de l'iris sont de type fusiforme, et seulement environ 9 %, voire moins, purement épithélioïdes [1].
Les données sur le profil génétique des mélanomes de l'iris sont moins abondantes que pour le mélanome de l'uvée en raison de leur caractère rare et du nombre limité de prélèvements réalisés chez des patients souvent traités de façon conservatrice par irradiation. Sont décrites les anomalies déjà connues pour le mélanome de l'uvée postérieure (perte du chromosome 3, anomalies génétiques GNA11 , GNAQ , BAP1 , SF3B1 , E1F1AX ) dont l'utilité pronostique est néanmoins encore incertaine, mais ont été décrits aussi quelques cas de mutations BRAF , NRAS et KIT habituellement non retrouvées dans les mélanomes de l'uvée postérieure [ 9].
Prise en charge thérapeutique
La stratégie thérapeutique du mélanome de l'iris dépend de sa taille et de son retentissement au niveau oculaire, particulièrement la présence d'un essaimage pigmenté dans l'angle et d'un glaucome secondaire ainsi que du potentiel visuel. Les indications thérapeutiques ont progressivement évolué d'une prise en charge majoritairement chirurgicale, par résection simple, à une méthode d'irradiation, en particulier une irradiation par faisceaux de protons.
L'énucléation est nécessaire pour les formes les plus évoluées (voir fig. 12-28
Fig. 12-28
Forme « mixte » de mélanome de l'iris avec masse mesurable associée à un essaimage diffus de l'angle iridocornéen.
et 12-33
Fig. 12-33
Images histologiques après énucléation du patient de la fig. 12-28 . a. Mélanome de l'iris envahissant l'angle. b. Cellules tumorales pigmentées fusiformes.
), avec une hypertonie importante voire une atteinte extrasclérale. Dans ce cas, la conjonctive en regard de l'extériorisation est laissée en place, afin de permettre une exérèse macroscopiquement complète et d'éviter une radiothérapie orbitaire complémentaire.
Pour les formes circonscrites et certains mélanomes iriens diffus, l'irradiation est désormais l'option la plus utilisée [10].
En France, le traitement conservateur le plus fréquemment proposé est une irradiation par faisceaux de protons. Leurs propriétés physiques permettent en effet de réaliser un traitement adapté à chaque tumeur (masse tumorale, essaimage tumoral dans l'angle, éventuelle atteinte du corps ciliaire) (fig. 12-34
Fig. 12-34
a. Planning de traitement par protons de la lésion circonscrite de la fig. 12-19 . b. Planning de traitement par protons de la lésion irienne et de l'essaimage tumoral dans l'angle entre 3 heures et 12 heures (patient de la fig. 12-22).
). En l'absence d'atteinte du corps ciliaire, la pose de clips de repérage, indispensable aux traitements des mélanomes de l'uvée postérieure, n'est pas nécessaire.
Les résultats en termes de contrôle tumoral sont excellents. Les rechutes oculaires sont rares (7,5 %), tout particulièrement pour les lésions circonscrites [11 , 12].
Techniquement, tout le segment antérieur peut être irradié, ce qui permet d'envisager un traitement conservateur aussi dans les cas de mélanome diffus de l'iris, qui étaient précédemment énucléés. Dans ce cas, les rechutes sont plus fréquentes et les complications oculaires plus importantes (cataracte, hypertonie oculaire), avec le risque d'insuffisance limbique [12 , 13] (voir fig. 12-27b
Fig. 12-27
a. Pigmentation en « patches » correspondant à un mélanome de l'iris diffus. b. Aspect du patient après traitement par faisceaux de protons de tout le segment antérieur, majoration d'une cataracte préexistante.
). La réalisation de prélèvements limbiques juste avant l'irradiation, et réimplantés rapidement après la fin des rayons, permet de préserver la surface oculaire et améliore la tolérance cornéenne [14].
Pronostic général et suivi
Après traitement conservateur, un suivi prolongé est nécessaire pour dépister les rares rechutes oculaires. Initialement semestriel, le suivi oculaire associe un examen ophtalmologique complet avec réalisation de photographies du segment antérieur et une échographie haute fréquence du reliquat tumoral. De façon comparable au mélanome ciliochoroïdien après traitement par irradiation, la masse tumorale persiste et diminue de taille progressivement sur plusieurs mois.
Les rares rechutes surviennent le plus souvent à distance de la lésion traitée, au niveau de l'angle iridocornéen en inférieur, ou au niveau du corps ciliaire adjacent, tout particulièrement si une atteinte de l'angle était présente initialement [ 12] (fig. 12-35
Fig. 12-35
a, b. Aspect de rechute dans l'angle iridocornéen en nasal à distance de la lésion principale temporale traitée par faisceaux de protons 5 ans auparavant.
).
La tolérance oculaire est excellente pour les formes circonscrites. La complication la plus fréquente est une cataracte qui survient assez rapidement après l'irradiation (fig. 12-36
Fig. 12-36
a. Mélanome circonscrit de l'iris au diagnostic. b. 2 ans après traitement par faisceaux de protons, apparition d'une cataracte. c. À 16 ans post-protons avec nette régression de la masse initiale et récupération visuelle à 10/10e après phacoexérèse.
). Une hypertonie oculaire, parfois sévère, peut persister ou apparaître après traitement. Ce glaucome secondaire est parfois difficile à maîtriser et peut aboutir à une perte importante de vision [11-12-13].
Les mélanomes de l'iris ont un meilleur pronostic général que les mélanomes de l'uvée postérieure [3] En effet, l'évolution métastatique est rare, d'environ 10 % toutes tumeurs confondues, et est le plus souvent associée aux mélanomes initialement étendus (avec atteinte du corps ciliaire, voire atteinte extrasclérale), ainsi qu'aux lésions associées à un glaucome initial [ 1 , 3]. Pour les lésions circonscrites, traitées de façon conservatrice, l'atteinte métastatique est exceptionnelle [3 , 11 , 12]. Une surveillance générale est recommandée et adaptée au risque théorique. Une imagerie hépatique par échographie standard semestrielle est recommandée. Cette surveillance générale doit être poursuivie de façon prolongée, parallèlement au suivi ophtalmologique.
Métastases iriennes
A. Matet
Introduction
Les métastases intraoculaires, touchant le plus souvent le tissu uvéal, sont plus fréquentes dans les séries autopsiques (4 à 8 %) [ 1 , 2] qu'en pratique clinique. Cette différence s'explique probablement par le fait que les patients présentant un cancer avancé consultent peu chez un ophtalmologiste. Parmi ces métastases uvéales, les métastases iriennes sont plus rares que les lésions choroïdiennes.
Présentation clinique
Les métastases iriennes se présentent le plus souvent comme des lésions achromes ou jaunâtres (fig. 12-37,
Fig. 12-37
Métastase irienne chez un patient de 68 ans présentant un adénocarcinome pulmonaire. La lésion a rechuté malgré une irradiation oculaire externe associée à une chimiothérapie systémique.
fig. 12-38,
Fig. 12-38
OCT du segment antérieur chez le patient présenté dans la fig. 12-37 montrant la lésion irienne très en relief.
fig. 12-39,
Fig. 12-39
Métastase irienne chez une patiente de 62 ans présentant un cancer mammaire.
fig. 12-40,
Fig. 12-40
Métastase irienne chez une patiente de 56 ans présentant un carcinome anal.
fig. 12-41
Fig. 12-41
Métastase irienne envahissant la racine de l'iris chez une patiente présentant un cancer mammaire.
), mais des lésions pigmentées sont parfois observées. Elles peuvent s'associer à une dispersion cellulaire pouvant provoquer dans les cas les plus extrêmes un pseudo-hypopion, induisant un diagnostic erroné d'uvéite antérieure. Elles peuvent être situées n'importe où sur l'iris, avec une prédilection pour une implantation sur la racine de l'iris (voir fig. 12-41
Fig. 12-41
Métastase irienne envahissant la racine de l'iris chez une patiente présentant un cancer mammaire.
). Ces lésions sont généralement unifocales, mais dans environ un quart des cas peuvent être plurifocales. Des métastases ciliaires ou choroïdiennes peuvent coexister dans un tiers des cas.
Une hypertonie est observée dans environ un tiers des cas, en raison d'une infiltration de l'angle iridocornéen le plus souvent, plus rarement en raison d'un glaucome néovasculaire.
Les symptômes les plus fréquents sont la douleur ou une vision floue. Environ 20 % des patients sont asymptomatiques [ 3].
Comme dans les autres lésions iriennes et iridociliaires, l'échographie haute fréquence ou UBM est utile afin de préciser les limites de la lésion (fig. 12-42
Fig. 12-42
Échographie chez la patiente présentée dans la fig. 12-41 montrant une lésion infiltrant la racine de l'iris et le corps ciliaire.
).
Lésions primitives
Les lésions primitives responsables de métastases iriennes les plus souvent diagnostiquées sont par ordre de fréquence : carcinome mammaire, carcinome pulmonaire, cancer bronchique à petites cellules, mélanome cutané, carcinomes urologiques et digestifs, carcinomes gynécologiques et carcinomes de la sphère orolaryngée. Le diagnostic est posé généralement par cytoponction de la masse irienne, et plus rarement par biopsie à globe ouvert [4].
Conduite à tenir
La conduite à tenir est adaptée en fonction du contexte, chez des patients présentant souvent une néoplasie extraoculaire avancée. Différentes stratégies thérapeutiques sont possibles, notamment la chimiothérapie systémique, l'irradiation oculaire par radiothérapie externe ou curiethérapie [5], ou l'énucléation. Certains auteurs ont proposé une résection chirurgicale locale par iridocyclectomie sectorielle, une photothérapie dynamique dont l'intérêt est suspensif chez un patient dont l'état général est incompatible avec une radiothérapie, et des injections intravitréennes d'anti-VEGF [6], permettant de faire régresser les lésions, également à visée suspensive.
En cas de lésion suspecte évocatrice de métastase irienne sans cancer primitif connu, un bilan étendu comprenant TEP-scanner, scanner thoraco-abdomino-pelvien, marqueurs tumoraux et mammographie doit être réalisé.
Diagnostic différentiel des lésions iriennes chez l'enfant
P. Dureau
Diverses lésions iriennes, pigmentées ou non, peuvent poser des problèmes de diagnostic différentiel avec une tumeur chez l'enfant. Le contexte, l'aspect clinique, l'évolution et les examens d'imagerie permettent généralement une certitude diagnostique [ 1 , 2].
Xanthogranulome juvénile
Cette tumeur bénigne de couleur jaune-brun peut être localisée et saillante à la surface de l'iris, ou plus diffuse et peu visible (fig. 12-43
Fig. 12-43
Xanthogranulome juvénile.Lésion jaunâtre en relief ayant entraîné un hyphéma (a) et aspect échographique (b).
Source : fig. b, Olivier Bergès.
). Sa manifestation caractéristique est l'hyphéma spontané, souvent à répétition, chez un nourrisson. L'OCT de segment antérieur et l'UBM peuvent mettre en évidence un épaississement localisé s'il est peu visible cliniquement. Les hyphémas à répétition peuvent être responsables d'un glaucome par obstruction trabéculaire. La croissance de la tumeur peut être contrôlée par des corticoïdes locaux, éventuellement des anti-VEGF intracamérulaires.
Kystes de l'iris
Les kystes stromaux sont des lésions translucides dans la chambre antérieure, pouvant repousser l'iris et le cristallin. Ils sont volontiers responsables d'un astigmatisme majeur et d'une amblyopie. Dans ces cas, le traitement est l'excision de la paroi du kyste. Les kystes épithéliaux sont développés aux dépens de l'épithélium postérieur pigmenté de l'iris. Ils sont pigmentés, peuvent être volumineux, multiples, et associés à des kystes du corps ciliaire (polykystose iridociliaire) (fig. 12-44
Fig. 12-44
Kystes de l'iris. a, b. Kyste stromal ; lésion translucide en chambre antérieure (b : c1 = 7,07 mm ; c2 = 2,13 mm). c. Kyste épithélial ; lésion pigmentée derrière l'iris.
Source : fig. b, Olivier Bergès.
).
Nodules de Lisch
Caractéristiques de la neurofibromatose de type 1 dont elles constituent un critère diagnostique (s'il y a plus de deux lésions), ces lésions jaune-brun se voient mieux sur les iris clairs (fig. 12-45
Fig. 12-45
Nodule de Lisch.Lésion jaune-marron mieux visible à la surface d'un iris clair.
). Ils apparaissent progressivement chez les enfants atteints de la maladie.
Taches de Brushfield
Ce sont des zones d'atrophie irienne visibles chez les enfants trisomiques (fig. 12-46
Fig. 12-46
Taches de Brushfield chez un enfant trisomique.
).
Ectropion de l'uvée
Il s'agit de la présence anormale d'épithélium postérieur de l'iris qui vient déborder le rebord pupillaire et qui couvre partiellement la surface antérieure de l'iris (fig. 12-47
Fig. 12-47
Ectropion de l'uvée.
). L'aspect est plan ou forme de petits lobules sur le bord de la pupille (floculi). Il existe un risque de glaucome secondaire.
Mammillations
Cette forme de mélanocytose oculaire se présente comme un iris dépourvu de cryptes avec à sa surface de petites élevures régulièrement réparties (fig. 12-48
Fig. 12-48
Mammillations de l'iris.
). Il existe un risque de glaucome secondaire.
Membrane pupillaire
La membrane pupillaire peut prendre l'aspect de reliquats filiformes plus ou moins épais en avant de l'iris, ou d'une membrane blanche vascularisée, plus ou moins large, reliant l'iris à la face antérieure du cristallin (fig. 12-49
Fig. 12-49
Membrane pupillaire, devant l'iris (a) ou adhérant au cristallin (b).
).
Granulomes
Les granulomes peuvent apparaître dans de rares cas sur l'iris d'enfants atteints d'uvéite, en particulier sarcoïdosique, ou d'hémopathies.
Bibliographie
[1]
Shields C, Kancherla S, Patel J, et al. Clinical survey of 3680 iris tumors based on patient age at presentation. Ophthalmology 2012 ; 119(2) : 407-14.
[2]
Shields CL, Kaliki S, Hutchinson A, et al. Iris nevus growth into melanoma : Analysis of 1611 consecutive eyes : The ABCDEF guide. Ophthalmology 2013 ; 120(4) : 766-72.
[3]
Demirci H, Mashayekhi A, Shields CL, et al. Iris melanocytoma : Clinical features and natural course in 47 cases. Am J Ophthalmol 2005 ; 139(3) : 468-75.
[4]
Shields JA, Shields CL. Cysts of the iris pigment epithelium. What is new and interesting ? the 2016 Jose Rizal international medal lecture. Asia-Pacific J Ophthalmol 2017 ; 6(1) : 64-9.
[5]
Georgalas I, Petrou P, Papaconstantinou D, et al. Iris cysts : A comprehensive review on diagnosis and treatment. Surv Ophthalmol 2018 ; 63(3) : 347-64.
[6]
Lois N, Shields CL, Shields JA, Mercado G. Primary cysts of the iris pigment epithelium. Clinical features and natural course in 234 patients. Ophthalmology 1998 ; 105(10) : 1879-85.
[7]
Shields JA, Kline MW, Augsburger JJ. Primary iris cysts : A review of the literature and report of 62 cases. Br J Ophthalmol 1984 ; 68(3) : 152-66.
[8]
Silva L, Najafi A, Suwan Y, et al. The iridocorneal endothelial syndrome. Surv Ophthalmol 2018 ; 63(5) : 665-76.
[1]
Khan S, Finger PT, Yu GP, et al. Clinical and pathologic characteristics of biopsy-proven iris melanoma : a multicenter international study. Arch Ophthalmol 2012 ; 130(1) : 57-64.
[2]
Kaliki S, Shields CL. Uveal melanoma : relatively rare but deadly cancer. Eye 2017 ; 31(2) : 241-57.
[3]
Shields CL, Di Nicola M, Berkerman VP, et al. Iris melanoma outcomes based on the American Joint Committee on Cancer Classification (eighth edition) in 432 patients. Ophthalmology 2018 ; 125(6) : 913-23.
[4]
Kivela T. Uveal melanoma. In : Amin MB, Greene FL, Byrd DR, et al. (Eds). AJCC Cancer Staging Manual. Eighth Edition. New York : Springer Nature ; 2017. p. 812-3.
[5]
Shields CL, Kalili S, Hutchinson A, et al. Iris nevus growth into melanoma : analysis of 1611 consecutive eyes : the ABCDEF guide. Ophthalmology 2013 ; 120(4) : 766-72.
[6]
Skalet AH, Li Y, Lu CD, et al. Optical coherence tomography angiography characteristics of iris melanocytic tumors. Ophthalmology 2017 ; 124(2) : 197-204.
[7]
Brouwer NJ, Marinkovic M, Bleeker JC, et al. Anterior segment OCTA of melanocytic lesions of the conjunctiva and iris. Am J Ophthalmol 2021 ; 222 : 137-47.
[8]
Demirci H, Mashayekhi A, Shileds CL, et al. Iris melanocytoma : clinical features and natural course in 47 cases. Am J Ophthalmol 2005 ; 139(3) : 468-75.
[9]
Bol KF, Donia M, Heegaard S, et al. Genetic biomarkers in melanoma of the ocular region : what the medical oncologist should know. Int J Mol Sci 2020 ; 21(15) : 5231.
[10]
Popovic M, Ahmed IIK, DiGiovanni J, Shields CL. Radiotherapeutic and surgical management of iris melanoma : A review. Surv Ophthalmol 2017 ; 62(3) : 302-11.
[11]
Lumbroso-Le Rouic L, Delacroix S, Dendale R, et al. Proton beam therapy for iris melanomas. Eye (Lond) 2006 ; 20(11) : 1300-5.
[12]
Thariat J, Rahmi A, Salleron J, et al. Proton beam therapy for iris melanomas in 107 patients. Ophthalmology 2018 ; 125(4) : 606-14.
[13]
Willerding GD, Cordini D, Hackl C, et al. Proton beam radiotherapy of diffuse iris melanoma in 54 patients. Br J Ophthalmol 2015 ; 99(6) : 812-6.
[14]
Leblanc A, Lumbroso-Le Rouic L, Desjardins L, et al. Diffuse iris melanoma : conservative treatment with proton beam therapy after limbal stem cell preservation or enucleation ? Ocul Oncol Pathol 2019 ; 5(6) : 396-401.
[1]
Nelson C, Hertzberg B, Klintworth G. A histopathologic study of 716 unselected eyes in patients with cancer at the time of death. Am J Ophthalmol 1983 ; 95(6) : 788-93.
[2]
Eliassi-Rad B, Albert DM, Green WR. Frequency of ocular metastases in patients dying of cancer in eye bank populations. Br J Ophthalmol 1996 ; 80(2) : 125-8.
[3]
Shields CL, Kaliki S, Crabtree GS, et al. Iris metastasis from systemic cancer in 104 patients : The 2014 Jerry A. Shields lecture. Cornea 2015 ; 34(1) : 42-8.
[4]
Shields C, Welch R, Malik K, et al. Uveal metastasis : clinical features and survival outcome of 2214 tumors in 1111 patients based on primary tumor origin. Middle East Afr J Ophthalmol 2018 ; 25(2) : 81-90.
[5]
Das C, Shields C. Radiotherapy for iris metastasis from esophageal carcinoma : A series of three cases. Oman J Ophthalmol 2016 ; 9(2) : 93-6.
[6]
Akinci G, Hondur A, Tezel T. Management of metastatic breast carcinoma of iris with intraocular bevacizumab injections. Retin Cases Brief Rep 2019 ; 13(3) : 220-3.
[1]
Angioi K, Orssaud C. Anomalies iriennes. In : Denis D, Bui Quoc E, Aziz Alessi A (Eds). Ophtalmologie pédiatrique. Rapport de la Société Française d’Ophtalmologie. Paris : Elsevier ; 2017. p. 253-63.
[2]
O’Keefe M. Pediatric iris disorders. In : Lambert SR, Lyons CJ. Taylor and Hoyt’s Pediatric ophthalmology and strabismus. London : Elsevier ; 2017. p. 378-84.