Retour
Chapitre 26
Dispositifs adjuvants à la chirurgie

T. Audelan, J.-L. Bourges, F. Azan, V. Pierre-Kahn, P.-R. Rothschild

Ce chapitre être consulté en ligne à l'adresse suivante : http://www.em-consulte.com/e-complement/477020 .
Dispositifs adjuvants à la chirurgie
26.1. Dispositifs adjuvants à la chirurgie du segment antérieur

T. AudelanJ.-L. Bourges

Les dispositifs adjuvants à la chirurgie du segment antérieur appartiennent à quatre catégories principales : les produits viscoélastiques, les solutions d'irrigation oculaire, les colorants, et les gaz. Les produits complétant la chirurgie, comme les inhibiteurs des Rho-kinases, l'EDTA, l'alcool éthylique, ou d'autres substances actives ne sont pas abordés dans ce chapitre.
Les dispositifs adjuvants à la chirurgie du segment antérieur appartiennent à quatre catégories principales : les produits viscoélastiques, les solutions d'irrigation oculaire, les colorants, et les gaz. Les produits complétant la chirurgie, comme les inhibiteurs des Rho-kinases, l'EDTA, l'alcool éthylique, ou d'autres substances actives ne sont pas abordés dans ce chapitre.
Produits viscoélastiques (dispositifs viscochirurgicaux oculaires)
Description
On distingue les dispositifs viscochirurgicaux ophtalmiques (DVO) d'origine animale, comme les dérivés de hyaluronate de sodium (HA) ou la chondroïtine sulfate, et ceux d'origine végétale (fig. 26-1
Fig. 26-1
Dimères saccaridiques d'acide hyaluronique et de chondroïtine sulfate.
Chaque dimère s'assemble pour donner des chaînes polysaccaridiques plus ou moins longues, donc de poids moléculaire plus ou moins élevé.
), comme l'hydroxyméthylcellulose (fig. 26-2
Fig. 26-2
Exemple des principaux produits viscoélastiques cohésifs (a, b) et dispersif (c) utilisés en pratique courante.
a. Healon pro® (hyaluronate de sodium 10 mg/ml, Johnson Johnson). b. Provisc® (hyaluronate de sodium 10 mg/ml, Alcon). c. Viscoat® (chondroitine sulfate 40 mg/ml, hyaluronate de sodium 30 mg/ml, Alcon.
).
L'HA est un polysaccaride produit à l'état endogène. Pour les DVO, il est produit à partir de fermentation microbienne. C'est le polysaccaride le plus utilisé dans les DVO. La masse moléculaire du HA est comprise entre 500 et 3 200 kDa selon la longueur des chaînes polysaccaridiques. En composante principale, l'HA compose un DVO d'autant plus cohésif que sa masse moléculaire et sa concentration sont élevées. Quelques exemples de compositions commerciales sont indiqués dans le tableau 26-1
Tableau 26-1
Concentration par ordre croissant d'acide hyaluronique (HA) dans les principaux dispositifs viscochirurgicaux ophtalmiques commerciaux courants.
Nom commercialLaboratoireCompositionConcentration d'HA
Biovisc®Sophia LabAcide hyaluronique1 mg/ml (1 %)
Healon pro®Johnson JohnsonAcide hyaluronique1 mg/ml (1 %)
Provisc®AlconAcide hyaluronique1 mg/ml (1 %)
NuVisc (États-Unis)/BVI® 1,2 (France)BVIAcide hyaluronique12 mg/ml (1,2 %)
Amvisc plus®Bausch and LombAcide hyaluronique16 mg/ml (1,6 %)
Healon GV®Johnson JohnsonAcide hyaluronique18 mg/ml (1,8 %)
Healon 5®Johnson JohnsonAcide hyaluronique23 mg/ml (2,3 %)
ClearVisc®Bausch and LombAcide hyaluronique25 mg/ml (2,5 %)
Combivisc®ZeissAcide hyaluronique
Acide hyaluronique
15 mg/ml (1,5 %)
15 mg/ml (3 %)
Viscoat®AlconAcide hyaluronique
Chondroïtine sulfate
30 mg/ml (4 %)
40 mg/ml (4 %)
Z-Celcoat®ZeissHydroxypropyl-méthylcellulose20 mg/ml (2 %)
Ocucoat®Bausch and LombHydroxypropyl-méthylcellulose20 mg/ml (2 %)
.
La masse moléculaire de la chondroïtine sulfate avoisine les 22,5 kDa. Mélangée à l'HA, la chondroïtine sulfate rend le DVO plus dispersif.
L'hydroxyméthylcellulose possède la propriété d'être spontanément hydrosoluble. Ses résidus ne persistent pas dans le compartiment intraoculaire.
Propriétés physicochimiques
Un produit fluide se comporte mécaniquement en fonction de sa composition physicochimique [1]. Son comportement mécanique est important à connaître car il détermine l'usage que l'on fait du produit et les circonstances de son utilisation.
La viscosité fait appel à la notion de déformation et de force de contrainte. C'est la résistance pour les couches d'un fluide à glisser les unes contre les autres. Dans un œil, la viscosité est utile pour maintenir un volume pendant que s'exerce une contrainte. La viscosité diminue avec le taux de cisaillement. La viscosité de l'HA est 2 millions de fois supérieure à celle de l'humeur aqueuse. Par exemple, l'importante viscosité d'un DVO permet d'introduire et de faire évoluer un instrument en chambre antérieure, tandis que la pression oculaire postérieure pousse les structures vers l'avant et tend à vider la chambre.
La rhéofluidification , aussi désignée par le terme de pseudoplasticité, évalue l'habilité d'un composant à passer d'un état solide à un état fluide sous l'effet d'une contrainte de cisaillement. Elle baisse en fonction de sa sollicitation. En chirurgie, elle limite par exemple la pression d'injection intracamérulaire du produit. La lumière de la canule d'injection doit être adaptée à la rhéofluidification du DVO. La cohésion du produit (voir ci-dessous) augmente en principe sa rhéofluidification.
L' élasticité permet à un matériau de reprendre sa forme et son volume initiaux après une contrainte. C'est une déformabilité transitoire et réversible. Pour un DVO, cette propriété, proportionnelle au poids moléculaire de la substance, lisse les conséquences des variations brutales de pression ou absorbe les impacts.
La cohésion unit les éléments d'un produit. Elle est très forte pour un solide, faible et variable pour un liquide, nulle pour un gaz. Logiquement, plus le poids moléculaire du DVO est élevé, plus sa cohésion tend à être forte (fig. 26-3
Fig. 26-3
Dispersion d'un même volume de produit viscoélastique sur une surface identique inerte à température ambiante.
Selon leurs composition et concentration en acide hyaluronique (HA), on remarque que plus la concentration en HA est forte, moins la substance s'étale, étant plus cohésive.
). L'inverse caractérise un DVO dispersif.
Le volume d'un DVO cohésif faible, c'est-à-dire dispersif, diffuse et se disperse en petits éléments en chambre antérieure sous la contrainte des flux, tandis qu'une partie adhère aux parois. Il ne s'évacue pas en bloc. Il forme ainsi une couche protectrice à la surface des tissus tout au long d'une chirurgie qui « rince » le volume de chambre antérieure. Ses résidus sont en revanche plus difficiles à extraire en fin d'intervention, contrairement à un cohésif fort qui, lui, s'aspire en bloc.
Choix du produit
La connaissance des propriétés physicochimiques de chaque DVO permet de choisir chaque produit en fonction des contraintes chirurgicales.
Une fragilité endothéliale, par exemple une cornea guttata, nécessite un visqueux particulièrement couvrant qui protège du stress oxydant et mécanique lié au flux constant d'une infusion/aspiration intracamérulaire. Utiliser un DVO dispersif à forte viscosité et faible cohésion est intéressant [2 , 3].
L'hyperpression intravitréenne peropératoire prévisible, par exemple pour les yeux microphtalmes, oriente vers un DVO peu pseudo-plastique et très visqueux, plus volontiers cohésif (voir fig. 26-3
Fig. 26-3
Dispersion d'un même volume de produit viscoélastique sur une surface identique inerte à température ambiante.
Selon leurs composition et concentration en acide hyaluronique (HA), on remarque que plus la concentration en HA est forte, moins la substance s'étale, étant plus cohésive.
). Cela permet de maintenir un chambre antérieure volumineuse et profonde.
La mauvaise dilatation pupillaire ou un iris flasque fait préférer les DVO de haut poids moléculaire (très cohésifs). Ils améliorent et stabilisent la mydriase.
En cas de cataracte brune, le but du visqueux est de maintenir une bonne chambre antérieure, mais également de protéger les tissus des fragments de cristallin et des ultrasons. Les dispersifs sont plus adaptés [2].
Précautions d'emploi
La principale complication des DVO est l'hypertonie postopératoire. Les résidus des DVO, particulièrement pour les DVO dispersifs, restent adhérents aux parois du trabéculum [4]. Ils l'obstruent. Leur retrait complet en fin d'intervention évite cette complication.
Le syndrome de distension du sac capsulaire postopératoire se développe après chirurgie de la cataracte. Il se caractérise par la rétention de DVO entre la face postérieure de l'optique de l'implant et la capsule postérieure [5]. Cela crée un effet lenticulaire voire une opacité obturante. Le retrait complet du produit viscoélastique en arrière de l'implant l'évite.
Le recouvrement protecteur des surfaces par un DVO cohésif n'est pas souhaitable lorsqu'on utilise ce produit autour d'une lentille oculaire, ou dans une chirurgie de greffe endothéliale par exemple. Là, aucun résidu du produit ne doit persister, au risque de nuire à la transparence et au positionnement de la lentille ou à l'adhérence du greffon.
Solutions d'irrigation oculaire
Les solutions d'irrigation oculaire utilisées en chirurgie du segment antérieur sont le Balanced Salt Solution (BSS®), le Balanced Salt Solution Plus (BSS® +), ou le Ringer lactate.
Le BSS® (Alcon) est la solution pour irrigation intraoculaire la plus utilisée. Cette solution est stérile, et isotonique aux tissus oculaires. Elle n'a pas d'action pharmacologique. Sa composition est proche de celle de l'humeur aqueuse humaine. Elle contient tous les éléments nécessaires au métabolisme cellulaire normal : glucose, bicarbonate de sodium, glutathion disulfure, chlorure de sodium 0,64 %, chlorure de magnésium 0,03 %, chlorure de calcium 0,048 %, chlorure de potassium 0,075 %, dihydrogénophosphate de sodium. Son pH est d'environ 7,5 et son osmolalité de 300 mOsm/kg.
Le BSS® plus (Alcon) correspond à un BSS® enrichi en bicarbonate, dextrose et glutathion. Son pH est de 7,4 et son osmolalité de 305 mOsm/kg. Il n'a pas non plus d'action pharmacologique. Cette solution est plus proche de la composition de l'humeur aqueuse que le BSS® standard. Il peut être utilisé indifféremment avec le BSS® pour la chirurgie du segment antérieur [6], mais semble plus adapté pour la chirurgie vitréorétinienne et le maintien de l'activité électrique de la rétine. Son coût est plus élevé que le BSS® standard.
Enfin, le Ringer lactate peut être utilisé en liquide d'irrigation. Il s'agit d'un liquide hypotonique (osmolalité 280 mOsm/kg) et acide (pH 6,0). Cette solution est la plus utilisée dans les pays en voie de développement car bien moins coûteuse que le BSS® ou le BSS® plus. Les œdèmes de cornée et l'inflammation intraoculaire semblent plus fréquents le lendemain d'une phacoémulsification avec le Ringer lactate qu'avec le BSS®, mais sans conséquence à moyen et long terme [7-8-9-10-11].
La température du liquide d'irrigation n'influe pas sur la dilatation pupillaire ou le fonctionnement de l'endothélium cornéen [7]. La fraîcheur de la solution (environ +10 °C) réduit transitoirement l'inflammation postopératoire immédiate par rapport à une solution à la température du bloc opératoire [12].
Au total, pour une chirurgie de la cataracte standard, il n'y a pas de différence significative entre les trois solutions d'irrigation évoquées ici. En revanche, pour une chirurgie longue [13 , 14] ou compliquée par une issue de vitré [15], l'idéal pour protéger l'endothélium cornéen est l'utilisation du BSS® plus, bien qu'il s'agisse de la solution d'irrigation la plus coûteuse.
Colorants
Le principal colorant utilisé en chirurgie du segment antérieur est le bleu trypan. Il est aussi connu sous le nom de bleu diamine et de bleu Niagara. C'est un colorant azoïque. Il ne traverse pas la membrane des cellules vivantes. Il est repoussé par les pompes membranaires. Sa taille moléculaire est trop importante pour autoriser sa pénétration cytoplasmique passive. Ainsi, il ne détruit pas les cellules. Il est donc qualifié de vital, dans la mesure où il ne détruit pas les cellules vivantes. Il se fixe aussi électivement sur les fibres de collagène, donc particulièrement sur les membranes, qui sont constituées principalement de collagène.
En chirurgie du segment antérieur, il est le plus souvent utilisé à la concentration de 0,06 %. Le Bleu vision (Vision Blue®) est préparé par dilution dans de l'eau : 0,6 mg de bleu trypan, 1,9 mg d'hydrogénophosphate de sodium (antioxydant), 0,3 mg de phosphate de sodium, 8,2 mg de NaCl. Le pH de la solution est neutre et son osmolalité comprise entre 257 et 314 mOsm/kg.
Avant d'être utilisé en chirurgie, le bleu trypan reste un colorant utilisé en histologie pour identifier les cellules mortes.
Indications
L'utilisation du bleu trypan en ophtalmologie remonte aux années 1970. Il servait initialement à colorer l'endothélium en phase préopératoire. À la fin des années 1990, il fut employé en chirurgie intraoculaire, principalement pour visualiser la capsule antérieure du cristallin [16 , 17]. Désormais, ses indications en chirurgie du segment antérieur sont plus étendues.
En phacoémulsification, le bleu trypan est injecté dans la chambre antérieure. Il se fixe sur le collagène de la capsule cristallinienne, à la face antérieure du cristallin. L'endothélium cornéen n'est pas marqué, mais la visualisation du capsulorhexis est facilitée. Il est utile pour contraster le rhexis capsulaire des cataractes matures, post-traumatiques, pédiatriques, ou avec opacité cornéenne compromettant la visualisation. Il peut aussi être utilisé pour mieux repérer les incisions cornéennes ou pour mieux visualiser le vitré en chambre antérieure lors des effractions capsulaires.
Dans la chirurgie filtrante, le bleu trypan permet de visualiser l'aire traitée par les antimétabolites et de confirmer la filtration des bulles ou tubes de dérivation de l'humeur aqueuse.
Le bleu trypan colore la membrane de Descemet (fig. 26-4
Fig. 26-4
Préparation d'un greffon endothélial à l'aide du bleu trypan.
a. Instillation de bleu trypan sur la face endothélio-descémétique du greffon. b. Ouverture descémétique prélimbique (scoring) soulignée par la coloration. c. Pelage endothélio-descémétique dont les limites colorées peuvent être surveillées pour détecter d'éventuels refends. d. Marquage au bleu trypan de la face descémétique retournée du greffon. e. Isolement du greffon rendu visible dans du BSS® par la coloration vitale. f. Chargement du greffon coloré dans la cartouche d'injection.
). Cette propriété est utile en chirurgie cornéenne. Dans les greffes transfixiantes, le bleu trypan peut aider à visualiser la profondeur des sutures afin d'améliorer l'alignement des tissus du donneur et du receveur. Dans les greffes lamellaires antérieures profondes, une injection intrastromale de bleu trypan permet parfois de mieux repérer les profondeurs de dissection et ainsi de diminuer le risque de perforation de la membrane de Descemet et de l'endothélium cornéen. Dans les greffes endothéliales, le bleu trypan permet de détecter d'éventuelles lésions endothélio-descemétiques sur le greffon lors de sa préparation (fig. 26-4a, b
Fig. 26-4
Préparation d'un greffon endothélial à l'aide du bleu trypan.
a. Instillation de bleu trypan sur la face endothélio-descémétique du greffon. b. Ouverture descémétique prélimbique (scoring) soulignée par la coloration. c. Pelage endothélio-descémétique dont les limites colorées peuvent être surveillées pour détecter d'éventuels refends. d. Marquage au bleu trypan de la face descémétique retournée du greffon. e. Isolement du greffon rendu visible dans du BSS® par la coloration vitale. f. Chargement du greffon coloré dans la cartouche d'injection.
), de faciliter la manipulation du greffon endothélial (fig. 26-4c-f
Fig. 26-4
Préparation d'un greffon endothélial à l'aide du bleu trypan.
a. Instillation de bleu trypan sur la face endothélio-descémétique du greffon. b. Ouverture descémétique prélimbique (scoring) soulignée par la coloration. c. Pelage endothélio-descémétique dont les limites colorées peuvent être surveillées pour détecter d'éventuels refends. d. Marquage au bleu trypan de la face descémétique retournée du greffon. e. Isolement du greffon rendu visible dans du BSS® par la coloration vitale. f. Chargement du greffon coloré dans la cartouche d'injection.
), de s'assurer du caractère complet du descemetorhexis sur la cornée receveuse, et de visualiser la position du greffon cornéen (fig. 26-4f
Fig. 26-4
Préparation d'un greffon endothélial à l'aide du bleu trypan.
a. Instillation de bleu trypan sur la face endothélio-descémétique du greffon. b. Ouverture descémétique prélimbique (scoring) soulignée par la coloration. c. Pelage endothélio-descémétique dont les limites colorées peuvent être surveillées pour détecter d'éventuels refends. d. Marquage au bleu trypan de la face descémétique retournée du greffon. e. Isolement du greffon rendu visible dans du BSS® par la coloration vitale. f. Chargement du greffon coloré dans la cartouche d'injection.
) en chambre antérieure, puis sur le stroma cornéen du receveur afin d'assurer son centrage correct [16].
Tolérance
Les études in vitro et in vivo n'ont pas rapporté de risque induit d'hypertonie, d'inflammation intraoculaire, d'œdème de cornée ou de mort cellulaire endothéliale avec l'utilisation du bleu trypan [16].
Les principaux effets indésirables rencontrés sont une coloration inopportune de la capsule postérieure ou du vitré antérieur en cas de déhiscence zonulaire. Quelques cas de syndrome toxique de chambre antérieure ont également été rapportés [16 , 18].
Gaz
L'utilisation de gaz en chirurgie du segment antérieur peut concerner l'air filtré, ou les gaz perfluorés comme le SF6 (hexafluorure de soufre), ou perfluorocarbonés comme le C2F6 (hexafluoroéthane) ou le C3F8 (octofluoropropane). Tous ces gaz sont inertes, inodores et incolores.. Ils sont dispensés à l'état pur. Ce sont des gaz expansifs à température corporelle. Il appartient au chirurgien d'en effectuer la dilution avec de l'air ambiant filtré. Le volume d'expansion intraoculaire du gaz est proportionnel au ratio gaz/air. Pour un gaz donné, il existe une dilution pour laquelle le volume injecté de gaz reste constant initialement, c'est-à-dire isoexpansif, avant de s'évacuer par diffusion. Il s'agit de la concentration isovolumétrique (tableau 26-2
Tableau 26-2
Propriétés des gaz perfluorés après injection intraoculaire dans le segment postérieur (SP)⁎.
La persistance théorique est réduite de plus de moitié après injection dans le stroma antérieur.
GazPersistance théorique en SPDurée expansiveDilution isovolumétrique
SF614 jours48 heures20 % (10 ml de SF6 pour 40 ml d'air)
C2F635 jours60 heures16 % (8 ml de C2F6 pour 42 ml d'air)
C3F865 jours96 heures12 % (6 ml de C3F8 pour 44 ml d'air)
). En chirurgie du segment antérieur, les dérivés du fluor sont principalement utilisés pour l'application du greffon de DMEK, le plus souvent en deuxième intention, après échec d'un tamponnement aérique initial (fig. 26-5
Fig. 26-5
Gaz fluorocarboné C3F8 injecté en chambre antérieure pour tamponner une kératoplastie de type DMEK.
a. Bulle de gaz (flèche noire) appliquant le greffon endothélio-descémétique (flèche blanche) vu en OCT (b) le lendemain. c. Aspect clinique vu 72 heures après l'intervention : on note la résorption plus précoce du gaz lorsqu'il est placé en segment antérieur.
).
En pratique, la persistance du gaz en chambre antérieure est moins longue et la résorption plus rapide que dans le segment postérieur, du fait du flux d'humeur aqueuse qui vient rapidement remplacer le gaz et de l'évacuation trabéculaire.
L'air filtré est principalement utilisé pour le maintien de la chambre antérieure. Avant la banalisation de l'utilisation des visqueux, les chirurgies endoculaires du segment antérieur s'effectuaient sous air. Actuellement, le maintien d'une chambre antérieure grâce à l'air reste utilisé pour réaliser le rhexis endothélial des kératoplasties endothélio-descemétiques (DMEK, DSAEK). Le but est d'éviter l'utilisation de DVO pouvant s'interposer entre le greffon et son lit receveur. Son effet hémostatique peut aussi être utilisé. En fin d'intervention, en cas de cicatrice cornéenne fuyarde ou de tendance herniaire de l'iris, on peut utiliser la tension de surface entre l'air et les fluides intracamérulaires pour assurer l'étanchéité. Sa tension de surface est également utilisée pour créer un contraste visuel entre deux milieux transparents (fig. 26-6a
Fig. 26-6
Utilisation d'air filtré lors de procédures chirurgicales de segment antérieur.
a. Injection d'une bulle d'air (astérisque rouge) pour créer un contraste en chambre antérieure et ainsi révéler une poche de décollement descemétique (têtes de flèche et astérisque blancs). b, c. Pneumodissection stromale postérieure au cours d'une kératoplastie lamellaire antérieure aidant à la dissection couche par couche (b) et à la visualisation du lit stromal résiduel en OCT peropératoire (c).
), dans les kératoplasties endothéliales pour plaquer le greffon à la face postérieure cornéenne, ou encore dans les kératoplasties lamellaires antérieures pour disséquer (pneumodissection ou « big bubble» ) le stroma postérieur de la membrane de Descemet (fig. 26-6b, c
Fig. 26-6
Utilisation d'air filtré lors de procédures chirurgicales de segment antérieur.
a. Injection d'une bulle d'air (astérisque rouge) pour créer un contraste en chambre antérieure et ainsi révéler une poche de décollement descemétique (têtes de flèche et astérisque blancs). b, c. Pneumodissection stromale postérieure au cours d'une kératoplastie lamellaire antérieure aidant à la dissection couche par couche (b) et à la visualisation du lit stromal résiduel en OCT peropératoire (c).
).
L'effet indésirable principal de l'injection intracamérulaire de gaz est le blocage de l'angle par passage du gaz en chambre postérieure, entre le plan irien et le plan cristallinien. Une hypertonie brutale supérieure à 50 mmHg en résulte. Si l'ischémie qui s'installe se prolonge plusieurs heures, une mydriase fixée et une atrophie irienne s'installent définitivement. On observe alors un syndrome d'Urrets-Zavalia [19]. Pour éviter ce bloc pupillaire, il convient de provoquer une mydriase pharmacologique postopératoire immédiate ou de réaliser une iridotomie périphérique.
26.2. Dispositifs adjuvants à la chirurgie du segment postérieur

F. AzanV. Pierre-KahnP.-R. Rothschild

Introduction
La chirurgie vitréorétinienne a connu des progrès considérables au cours des deux dernières décennies, essentiellement liés au caractère mini-invasif de l’instrumentation, mais également à l’amélioration des systèmes de visualisation de type « grand champ ». L’ablation du vitré (vitrectomie) est une étape préalable à toute chirurgie vitréorétinienne endoculaire.
De nombreux dispositifs médicaux sont utilisés au cours de cette chirurgie en adjuvants du geste opératoire, comme les liquides d’infusion ou les colorants, ou comme tamponnements postopératoires. La connaissance des propriétés physicochimiques, des bonnes indications, de la mise en œuvre adéquate et la vigilance à l’égard des complications spécifiques de chaque dispositif adjuvant en chirurgie vitréorétinienne sont fondamentales pour le chirurgien afin d’optimiser le rapport bénéfice/risque chez les patients opérés.
Nous n’aborderons pas dans ce chapitre les dispositifs médicaux utilisés dans la chirurgie de la rétine par voie extraoculaire (matériaux d’intentation).
Pharmacologie des substituants du vitré
La vitrectomie requiert l’utilisation en per- et postopératoire d’une substitution du vitré. Il existe des substituts de vitré à durée de vie courte, comme les solutés d’infusion lors de la vitrectomie ; des substituts de vitré à durée de vie intermédiaire (plusieurs jours à plusieurs semaines), comme les gaz intraoculaires ; et des substituts de vitré à durée de vie indéterminée, comme les silicones. Le « cahier des charges » de ces substituts de vitré est qu’ils soient transparents, élastiques, capables de « tamponner » le stress oxydant intraoculaire et qu’ils soient biocompatibles.
Substituts de vitré à durée de vie déterminée
Substituts du vitré à l’état liquide
Sérum salé isotonique
L’utilisation de chlorure de sodium (NaCl 0,9 %) isotonique comme soluté d’infusion au cours de la vitrectomie a été abandonnée en raison du risque de survenue d’un œdème cornéen obérant la visualisation du fond d’œil en cours de chirurgie.
Ringer lactate
Le Ringer lactate est un soluté qui contient du potassium, du calcium et des lactates, permettant de retarder la survenue d’un œdème cornéen ; néanmoins, sa relative hypotonicité, son acidité et l’absence de sources énergétiques pour le métabolisme cellulaire en limitent l’utilisation.
BSS® (balanced salt solution)
Le BSS®, introduit dans les années 1960, est utilisé au cours des vitrectomies et en post-vitrectomie immédiat. Il contient du chlorure de magnésium et de l’acide citrique en guise de tampon. Des améliorations ont été apportées au BSS®, sous la forme du « BSS® plus » qui contient, en plus, d’autres composants essentiels, comme le glutathion (sous forme oxydée) ou le bicarbonate de sodium en guise de tampon.
Substituts du vitré à l’état gazeux
Généralités/historique
L’utilisation de gaz intraoculaires a commencé il y a plus d’un siècle essentiellement pour la chirurgie du décollement de rétine. Le mécanisme d’action des gaz intraoculaires est imparfaitement compris. Certains considèrent que ce sont la poussée d’Archimède et la tension de surface du gaz qui permettent, grâce à un contact intime entre la bulle de gaz et la déchirure, de tamponner celle-ci. Ce tamponnement permet ensuite au liquide sous-rétinien résiduel d’être réabsorbé par l’épithélium pigmentaire. D’autres considèrent que le volume occupé par la bulle de gaz modifie les courants liquidiens intravitréens, empêchant le liquide résiduel présent dans la cavité de passer par la déchirure, sous réserve que les tractions vitréorétiniennes aient été levées. Cette deuxième théorie pourrait expliquer l’absence de récidive des décollements de rétine avec déchirure inférieure malgré la présence d’un ménisque liquidien inférieur. D’un point de vue pratique, l’utilisation des gaz intraoculaires nécessite une bonne compréhension de leurs propriétés physicochimiques pour une utilisation raisonnée et pour éviter les complications nombreuses en cas de mésusage. Le clinicien doit également connaître l’expansion de chaque gaz utilisé, sa concentration expansive et la durée de vie (tableau 26-3
Tableau 26-3
Caractéristiques des gaz à usage intraoculaire.
Type de gazPoids moléculaire (g/mol)ExpansionDélai d'expansionConcentration non expansiveDurée de résorption complète
Air297 jours
SF6146×224 h20 %4 semaines
C2F6138×348 h17 %6 semaines
C3F8188×472 h14 %8 semaines
).
Propriétés physicochimiques
L’équilibre entre la quantité de molécules d’un soluté (gaz d’intérêt) dissoutes dans une phase liquide et présentes dans une phase vapeur est régi par la loi de Henry. Pour une bulle de gaz située dans une cavité vitréenne, il y existe une relation de proportionnalité entre la quantité de gaz dissous dans le vitré et la pression partielle de ce gaz dans la bulle. Dans la théorie des gaz parfaits, la pression partielle est la pression qu’exercerait ce soluté s’il était présent seul dans le volume considéré. Pour avoir un ordre de grandeur, la pression partielle veineuse pour le diazote (N 2) est de 590 mmHg, pour le dioxygène (O 2) de 40 mmHg, pour le dioxyde de carbone (CO 2) de 45 mmHg. Dans une bulle d’air injectée dans la cavité vitréenne, après équilibre, on peut donc s’attendre à avoir les mêmes proportions de pressions partielles avec en plus 47 mmHg de vapeur saturante pour l’eau. Pour rappel, l’air est essentiellement composé de 79 % de diazote et 21 % de dioxygène. La vitesse des échanges de molécules entre la phase liquide et la phase gazeuse est différente en fonction des molécules considérées. Elle est semblable pour le diazote, le dioxygène et le dioxyde de carbone, mais environ 4 fois plus lente pour le SF 6 (hexafluorure de soufre). Globalement les perfluorocarbones, dont la chaîne carbonée est longue, ont une solubilité moins élevée, et leur dissolution est plus lente (voir tableau 26-3
Tableau 26-3
Caractéristiques des gaz à usage intraoculaire.
Type de gazPoids moléculaire (g/mol)ExpansionDélai d'expansionConcentration non expansiveDurée de résorption complète
Air297 jours
SF6146×224 h20 %4 semaines
C2F6138×348 h17 %6 semaines
C3F8188×472 h14 %8 semaines
). Lorsqu’on injecte une bulle de gaz pur dans la cavité vitréenne, trois phases successives se déroulent : une phase d’expansion, une phase d’équilibration puis une phase de dissolution. Si on prend l’exemple du SF 6 pur dans la cavité vitréenne, il y a dans un premier temps principalement un appel des molécules de diazote, et dans une moindre mesure de dioxygène et dioxyde de carbone, qui passent du vitré vers la bulle. La bulle s’expand pendant une durée de 24 heures environ au cours de laquelle son volume double, et ce, jusqu’à équilibre des pressions partielles. Parallèlement, selon la loi de Henry, le SF 6 est dissous dans le liquide vitréen et il est éliminé par voie sanguine en dehors du globe oculaire, mais beaucoup plus lentement. Ce n’est donc qu’après l’équilibration des pressions partielles du diazote qu’une phase de décroissance de la taille de la bulle survient, jusqu’à sa disparition complète, au bout de plusieurs jours, en fonction du volume initialement injecté et de l’intégrité anatomique de l’œil. En effet, la résorption complète de gaz peut être deux fois plus rapide dans un œil vitrectomisé aphake que dans un œil phake non vitrectomisé [20]. Lorsque l’on injecte un mélange de SF 6 dit isovolumétrique ou « non expansif », soit SF 6 20 %-air 80 %, la bulle ne subit pas d’expansion car elle est d’emblée en phase d’équilibration et diminue progressivement pendant 3 semaines, au fur et à mesure que le SF 6 est dissous et évacué en dehors du globe. Lorsque l’on injecte de l’air, celui-ci est d’emblée à l’équilibre ; il n’y a donc pas de phase d’expansion et la dissolution démarre d’emblée. L’utilisation d’air est, de ce point de vue, moins dangereuse et doit être privilégiée autant que possible en pratique clinique [21]. Le protoxyde d’azote (N 2 O) est plus de 30 fois plus soluble que l’azote dans le sang. En cas d’utilisation de ce gaz d’anesthésie (également appelé « gaz hilarant »), il diffuse dans la bulle pour équilibrer sa pression partielle dans le sang qui peut être de plusieurs centaines de mmHg si un mélange de protoxyde d’azote 70 %-oxygène 30 % est utilisé. Mais cela se fait à un rythme beaucoup plus rapide que l’évacuation de l’azote, et n’est pas compensé par la résorption d’humeur aqueuse. Il s’ensuit une hypertonie correspondante pouvant aller jusqu’à la perte fonctionnelle du globe oculaire par non-perfusion de la rétine [22]. La loi de Boyle-Mariotte stipule que le produit du volume par la pression est constant si la température ne varie pas. Lors d'un voyage en avion, la pression est régulée, c'est-à-dire maintenue à une « altitude cabine» équivalente d'environ 1850 mètres, soit 600 mmHg. Une bulle de gaz intravitréen subit donc une expansion rapide, représentant 25 % de son volume initial en quelques minutes. Cela peut entraîner une augmentation de pression qui peut être très importante (760-600 = 160 mmHg) en cas de bulle complète, car aucune expansion de la bulle n'est alors possible [23].
Indications en pratique courante
Décollement de rétine rhegmatogène
Le tamponnement intraoculaire par un gaz est essentiel dans la prise en charge des décollements de rétine, que ce soit au cours de la vitrectomie d'une intervention chirurgicale par voie externe. Le choix du type de gaz et son caractère expansif ou non dépendent de la localisation des déhiscences. Après vitrectomie, des déhiscences localisées dans le cadran supérieur peuvent bénéficier d'un tamponnement interne par de l'air [21]. En effet, l'adhérence choriorétinienne générée par le laser ou la cryothérapie, nécessitant 2 ou 3 jours, est parfaitement couverte par la durée de résorption de l'air, qui est d'environ 7 jours. En revanche, les déhiscences localisées sous les méridiens horizontaux ou à « 6 heures» nécessitent le recours à un gaz à durée prolongée, de type SF 6 ou C 2 F 6 (hexafluoroéthane). L'utilisation de ces gaz est généralement non expansive pour limiter les risques de complications. En cas de prolifération vitréorétinienne, le C 3 F 8 (octafluoropropane) est privilégié. Pour la chirurgie par voie externe, les gaz sont souvent utilisés en fin de chirurgie pour maximiser le taux de succès. En effet, lorsque la rétine est fortement décollée et donc loin de l'indentation, le tamponnement par gaz favorise le rapprochement entre la déhiscence et l'indentation sous-jacente. On utilise soit de l'air, soit du gaz pur en faible quantité. Habituellement, la cavité vitréenne supporte l'injection de 1 ml de gaz après ponction transsclérale du liquide sous-rétinien ou paracentèse d'humeur aqueuse. Idéalement, une injection de 1 ml d'air est réalisée ou 0,5 ml de SF 6 pur, qui voit son volume passer à 1 ml après 24 heures.
Trou maculaire
Le tamponnement interne par gaz est également indispensable au cours de la chirurgie des trous maculaires. Néanmoins, le choix du gaz à utiliser est mal codifié, de même que le positionnement postopératoire. Le gaz utilisé est généralement non expansif et sa durée de vie adaptée à la taille du trou maculaire. De même, le positionnement postopératoire face vers le sol ainsi que sa durée dépendent, pour certains auteurs, de la taille du trou maculaire.
Hématome maculaire
Les hématomes maculaires peuvent bénéficier d'un déplacement pneumatique, le sang de l'espace sous-fovéolaire étant déplacé vers la rétine périphérique. Le gaz peut alors être injecté directement dans la cavité vitréenne sans vitrectomie préalable ou après vitrectomie. Dans ce dernier cas, il n'est pas rare de procéder à une injection sous-rétinienne pour réaliser un vaste décollement de rétine et favoriser le déplacement pneumatique. Le liquide injecté en sous rétinien peut-être du BSS® avec ou sans anti-VEGF, un thrombolytique (activateur tissulaire du plasminogène [rtPA]), voire de l'air.
Autres indications
Le tamponnement par de l'air est utilisé par certains chirurgiens à la fin de toute chirurgie vitréorétinienne pour favoriser l'étanchéité des sclérotomies (sans sutures), maintenir la pression intraoculaire et diminuer le risque d'endophtalmie.
Mise en œuvre – utilisation pratique
La mise en place d'un tamponnement par gaz se fait en général soit par injection intravitréenne d'un faible volume d'air ou de gaz pur (au maximum 1 ml), soit par la réalisation d'un échange liquide-air. Une fois le liquide retiré en totalité, la cavité vitréenne est remplie d'air. Secondairement, un échange air-gaz est réalisé avec un volume de 25 à 50 ml pour équilibrer la concentration du gaz entre la seringue et la cavité vitréenne. La préparation du mélange air-gaz non expansif est une étape à risque d'erreur humaine, nécessitant la supervision de plusieurs intervenants (chirurgien, aide opératoire, infirmière de bloc opératoire). Il est indispensable de terminer l'intervention avec un œil en normotension et de vérifier la bonne perfusion de la papille. À la fin de l'intervention, un bracelet est placé au poignet du malade indiquant que celui-ci présente du gaz intraoculaire. Ce bracelet indique à tout professionnel de santé la contre-indication à l'utilisation de protoxyde d'azote.
Complications
Cataracte
L'utilisation de gaz intraoculaire risque d'entraîner en aigu une cataracte sous-capsulaire typique dite en « feuilles de fougères» (fig. 26-7
Fig. 26-7
Cataracte liée au gaz intraoculaire d'aspect typique décrit en « feuille de fougères».
). Celle-ci gêne la visualisation du fond d'œil, mais régresse généralement à la disparition du gaz. À distance, une cataracte corticonucléaire est fréquente dans les mois ou années suivant la chirurgie vitréorétinienne.
Hypertonie
Les hypertonies sont plus fréquentes avec le gaz expansif et très rares avec l'air. Une thérapeutique anti-hypertensive est fréquemment mise en place à titre systématique en postopératoire. Le patient est systématiquement prévenu de la contre-indication formelle de prendre l'avion ainsi que de séjourner en altitude (à partir de 800 mètres) pour les raisons évoquées précédemment.
Hypotonie
L'hypotonie postopératoire est en général liée à une fuite au niveau des sclérotomies et nécessite une reprise chirurgicale pour suturer et procéder à un complément d'injection de gaz. Le risque évolutif de l'hypotonie est la survenue d'une hémorragie expulsive ou la récidive du décollement de rétine.
Autres complications
La capture d'implant par l'iris et une migration du gaz en chambre antérieure peuvent survenir. Si une bulle passe en chambre postérieure entre l'iris et le cristallin, provoquant un blocage pupillaire aigu, une reprise chirurgicale s'impose afin de reformer la chambre antérieure.
Substituts du vitré à durée de vie indéterminée
Huiles de silicone
Généralités et historique
L'huile de silicone a été expérimentée pour la première fois chez le lapin en tant que tamponnement en 1958. Quatre ans plus tard, son utilisation chez l'homme a débuté, puis s'est répandue dans les années 1970. Elle n'a cependant été approuvée aux États-Unis par la Food and Drug Administration (FDA) qu'en 1994. Le terme « silicone» renvoie à sa composition de polymère composé d'une chaîne silicium-oxygène, au sein de laquelle des groupements organiques peuvent être utilisés pour relier plusieurs chaînes. La dénomination d'huile est liée à son hydrophobie et sa viscosité. Le silicone le plus utilisé depuis les années 1980 est le polydiméthylsiloxane (PDMS) (fig. 26-8
Fig. 26-8
Formule du monomère de poly-diméthyl-siloxane (PDMS).
). Les principales indications sont les décollements de rétine (DR) compliqués de prolifération vitréorétinienne (PVR), les décollements par déchirure géante ou sur rétinite virale. Les huiles de silicone sont présentées sous forme de seringues préremplies. Elles ont une viscosité de 1000 à 5000 centistokes (cSt), et une densité légèrement inférieure à l'eau (0,97).
Propriétés physicochimiques
Caractéristiques chimiques
Les silicones sont des polymères avec un squelette de répétition de liaisons Si-O et deux radicaux organiques (chaînes latérales) sur chaque atome de Si (sauf l'atome terminal lié à trois radicaux). Les propriétés des silicones dépendent de la taille de la molécule et de la nature des radicaux. Le radical méthyle est le plus courant pour les huiles de silicone médicales (deux radicaux méthyles pour le diméthylsiloxane, ou un radical méthyle et un radical phényle pour le PDMS). Des radicaux vinyle, hydrogène, groupe phényle, groupe trifluoropropyle permettent de créer des silicones de consistance et propriétés physiques différentes. Le silicone 1000 cSt, est un mélange de polymère de poids moléculaire d'environ 37 kDa et le silicone 5000 cSt de 65 kDa.
Caractéristiques physiques
La densité des huiles de silicone est inférieure à 1 (environ 0,97), expliquant leur tendance à flotter dans la cavité vitréenne et leur faible capacité de déplacer du liquide comparativement à l'air ou aux gaz. La tension de surface se mesure en dynes/cm (à une température donnée). Par exemple, la tension de surface de l'interface eau/air est 70 à 37 °C, celle de l'interface silicone/air est de 20, celle de l'interface silicone/eau est de 44. Plus la tension de surface de l'interface silicone/liquide sous-rétinien est élevée, meilleur est l'effet d'obturation de la déhiscence. De plus, la tension de surface conditionne la forme de la bulle : avec une tension de surface élevée, la bulle a moins tendance à se séparer en bulles plus petites. La viscosité est une propriété physique du liquide. Plus elle est élevée, plus la différence de pression nécessaire pour faire avancer le liquide dans une tubulure est grande. Elle se mesure en centistokes (1 cSt = 10 –6 m 2 /s). Elle dépend de la longueur des chaînes du polymère, et donc de leur poids moléculaire. La viscosité n'influe pas sur l'efficacité de l'obturation des déhiscences.
Principales indications
La principale indication est le DR compliqué de PVR encore active. Le tamponnement par huile de silicone permet une vision moyennant une hypermétropisation d'environ 6 dioptries chez le patient phake, car l'huile de silicone possède un indice de réfraction supérieur à celui du vitré (1,4 versus 1,33). Cette vision utile est appréciable chez le patient monophtalme ou devant voyager en avion (contre-indication à l'utilisation de gaz).
Mise en œuvre
L'huile de silicone présentée en seringues préremplies est administrée au moyen d'un système pneumatique lié au dispositif de vitrectomie. Étant donné la viscosité importante de l'huile de silicone et la petite taille des canules, une pression importante (de l'ordre de 1 à 2 bars) est nécessaire pour faire progresser l'huile. Il est donc essentiel d'arrêter d'injecter quand la cavité vitréenne est pleine. La durée du tamponnement est discutée au cas par cas. Un tamponnement long (supérieur à 6 mois) doit être évité. Le retrait de l'huile de silicone se fait habituellement au cours d'une vitrectomie trois voies en aspiration active mécanisée. Un soin particulier est accordé à la recherche de petites bulles résiduelles ou à mobiliser une émulsion au contact des corps ciliaires.
Toxicité
Émulsification
L'émulsification correspond à la formation d'une suspension de minuscules bulles d'huile de silicone qui restent dispersées à l'interface entre l'huile de silicone et les liquides physiologiques [24]. Sa formation est liée à un abaissement de la tension de surface, favorisé par la présence de composés émulsifiants comme le sang, des protéines, des solutions ionisées, les viscoélastiques utilisés lors de la chirurgie de la cataracte, ou la présence d'impuretés (molécules résiduelles de bas poids moléculaire) dans une huile de silicone insuffisamment purifiée. Ces petites bulles extrêmement mobiles passent facilement par la zonule pour se retrouver dans la chambre postérieure puis antérieure, pouvant être à l'origine d'un hyperpion (fig. 26-9
Fig. 26-9
Émulsion d'huile de silicone en chambre antérieure formant un hyperpion.
). Le risque d'émulsification augmente avec la durée du tamponnement.
Hypertonie oculaire postopératoire
Une hypertonie oculaire peut apparaître précocement après l'intervention. Il faut éliminer un excès de remplissage pouvant être suspecté en raison de l'effacement de la chambre antérieure, ce qui nécessite un retrait partiel de l'huile de silicone. Le mécanisme peut être un blocage pupillaire sur aphakie, l'huile de silicone empêchant l'humeur aqueuse de passer de la chambre postérieure à la chambre antérieure. Une iridectomie inférieure préventive en fin d'intervention doit être réalisée chez le patient aphake. Le traitement curatif est la réalisation d'une iridectomie inférieure soit au laser YAG, soit chirurgicalement. Le passage massif de l'huile de silicone en chambre antérieure est responsable d'une hypertonie à chambre antérieure profonde, voire trop profonde. Le reflet brillant de l'huile sur la face antérieure de l'iris n'est pas évident à visualiser, mais est pathognomonique. Il faut retirer cette bulle en chambre antérieure rapidement et réaliser une iridectomie inférieure afin d'éviter que cela ne se reproduise. En cas de récidive, il faut souvent retirer totalement l'huile de silicone. Enfin, des hypertonies chroniques peuvent apparaître en rapport avec une obstruction du trabéculum. Une émulsion peut être visible soit directement à la lampe à fente si elle est importante, soit à la gonioscopie. Le retrait de l'huile de silicone n'a qu'un effet limité sur l'hypertonie, et la réalisation d'une chirurgie filtrante s'impose parfois.
Kératopathie
Une kératopathie en bandelette peut apparaître progressivement après plusieurs mois ou années de tamponnement (fig. 26-10
Fig. 26-10
Kératopathie en bandelette après tamponnement prolongé sur œil en séclusion pupillaire et athalamie.
). Elle est souvent associée à un passage d'émulsion ou de bulles de silicone en chambre antérieure. Le globe est souvent hypotone et n'est parfois plus fonctionnel.
Toxicité neurorétinienne
Quelques cas de scotome central ont été décrits, apparaissant au cours de l'ablation de l'huile de silicone, alors que l'examen préopératoire montre une bonne récupération visuelle de la première chirurgie [25]. Une augmentation de la concentration de potassium devant le pôle postérieur pourrait en être la cause. De même, après un tamponnement long (plusieurs années), un tableau d'atrophie optique est possible, associant baisse d'acuité visuelle et pâleur papillaire alors que la rétine est réappliquée sans hypertonie. Histologiquement, des gouttelettes d'huile de silicone ont été retrouvées dans le nerf optique sur des yeux énucléés.
Cas particulier du silicone lourd
Lors de la réalisation d'une vitrectomie pour chirurgie de DR, devant la difficulté de tamponner efficacement et durablement une déhiscence inférieure, que ce soit avec du gaz ou de l'huile de silicone, l'idée de disposer d'un tamponnement « plus lourd» est apparue. Deux huiles de silicone lourdes sont commercialisées. L'Oxane HD® est un mélange de silicone 5700 mPas et de perfluorooctyl-5-méthyl-hex-2-ene (RMN-3), une oléfine mixte fluorée hydrogénée. Sa viscosité est de 3800 mPas et sa densité de 1,02. Le Densiron 68® est un mélange de 30,5 % de F 6 H 8 (perfluorohexyloctane) et 69,5 % d'huile de silicone 5000 mPas. Sa viscosité est de 1400 mPas. Les complications rapportées sont les mêmes qu'avec l'huile de silicone conventionnelle, avec peut-être moins d'émulsification mais des risques d'hypertonie au moins équivalents [26]. Des réactions inflammatoires se retrouvent avec les deux huiles de silicone lourdes. Le retrait de l'huile de silicone lourde peut être problématique.
PFCL
Généralités et historique
Les perflorocarbones liquides (PFCL) sont des liquides de haute densité appartenant à la famille des fluorocarbures. Ils ont été utilisés en médecine après que Clark Jr et Gollan [24] ont démontré, en 1966, que des mammifères survivaient plusieurs semaines dans des enceintes remplies de substances fluorocarbonées liquide et en présence d'oxygène. Par la suite, Shaffer et al. ont confirmé la capacité des PFCL de transporter l'oxygène et ont évalué leur développement comme de potentiels substituts du sang [25]. Mais c'est à Chang et al. qu'il revient, dès 1987, d'avoir introduit in vitro puis in vivo les PFCL comme outils adjuvants dans la chirurgie des DR complexes (en particulier par déchirure géante) avec PVR [26]. Depuis leur première utilisation en ophtalmologie chez l'homme, les PFCL ont amélioré les taux de réapplication rétinienne et leurs indications en chirurgie vitréorétinienne se sont accrues. Il s'agit de dispositifs médicaux utilisés pour le tamponnement rétinien peropératoire provisoire. Leur ablation complète en fin de chirurgie est consensuelle.
Propriétés physicochimiques et domaines d'applications
Les PFCL sont des hydrocarbures fluorés synthétiques liquides à plus de cinq atomes de carbone. Ils sont inodores, incolores, ont une faible viscosité et une densité deux fois plus élevée que celle de l'eau. Ils sont non miscibles à l'eau ou à la plupart des solvants organiques. Il existe plusieurs PFCL utilisés en chirurgie vitréorétinienne. Le tableau 26-4
Tableau 26-4
Principaux PFCL utilisés en ophtalmologie.
PFCLFormule chimiquePoids moléculaire
(Da)
Densité
(g/cm3)
Tension de surface
(dynes/cm à 25 °C)
Indice de réfractionPression de vapeur
(mmHg à 37 °C)
Viscosité
(cSt à 25 °C)
Point d'ébullition (C°)
Perfluoro-n-octaneC8F184381,76141,27500,8103
PerfluorodécalineC10F184621,94161,3113,52,7142
PerfluorophénanthrèneC14F246242,03161.33< 18,03215
PerfluoropentaneC5F122881,639,51,336300,429
résume les caractéristiques physicochimiques des quatre principaux (voir aussi fig. 26-11
Fig. 26-11
Formules du perfluoro-octoane (a) et de la perfluorodécaline (b).
). Les PFCL sont des outils extrêmement utiles en chirurgie vitréorétinienne pour les raisons suivantes.
  • Leur grande transparence optique et leur faible indice de réfraction (1,27–1,31 à 20 °C), inférieur à celui de l'eau, permettent une excellente visualisation des manœuvres chirurgicales à travers une interface PFCL-BSS® ou PFCL-silicone bien visible.
  • Leur tension de surface (15 dynes/cm) est bien inférieure à celle de l'eau, garantissant ainsi la constitution d'une bulle unique lorsqu'ils sont correctement injectés dans l'œil. Elle est similaire à celle des silicones mais nettement moins élevée que celle des gaz.
  • Leur densité élevée (1,7–1,9 g/cm 3 – près de deux fois celle de l'eau) plaque le neuro-épithélium contre l'épithélium pigmentaire, d'arrière en avant, permettant de déplacer, de drainer le liquide sous-rétinien antérieurement. Leur force de tamponnement sur la rétine est 10 fois supérieure à celle de l'huile de silicone à volume identique.
  • Leur faible viscosité à 25 °C (1-3 cSt) permet leur injection et leur aspiration aisée au travers d'aiguilles jusqu'à 30 G de diamètre.
  • Leur point d'ébullition élevé permet la cryothérapie transsclérale ou l'endo-photocoagulation sous PFCL sans en altérer leur structure. Ils n'absorbent pas les radiations des lasers intraoculaires argon ou diode.
  • Leur faible pression de vapeur empêche le passage de l'état liquide à l'état gazeux lors d'une baisse de la pression atmosphérique. Ainsi, la présence de petites bulles de PFCL résiduelles sous-rétiniennes ne s'expandent pas lors d'une montée en altitude ou d'un trajet en avion. Notons, cependant, que le perfluoro-n-octane possède une pression de vapeur 4 fois supérieure à celle de la perfluorodécaline, ce qui lui confère un avantage théorique particulier, celui de s'évaporer lors d'un échange liquide-gaz. Ainsi, les quelques microbulles laissées en fin d'échange PFCL-gaz peuvent disparaître par évaporation.
  • Les PFCL à l'état pur sont biologiquement inertes et sans toxicité démontrée sur les tissus oculaires. Ils sont radio-opaques. Un reliquat de PFCL se présente comme une hyperdensité intraoculaire au scanner.
Indications en pratique courante
Chirurgie du décollement de rétine
Après réalisation d'une vitrectomie centrale et périphérique, l'injection du PFCL, débutée au pôle postérieur, permet, à mesure que son niveau augmente, de réappliquer la rétine du pôle postérieur vers la périphérie. Le liquide sous-rétinien est progressivement drainé de l'espace sous-rétinien vers la cavité vitréenne au travers de la déhiscence rétinienne périphérique (fig. 26-12
Fig. 26-12
Réapplication rétinienne d'un décollement de rétine total par déchirure supérieure et trou maculaire.
Le PFCL réapplique initialement le pôle postérieur.
). Par ailleurs, la réalisation de la vitrectomie périphérique et le raccourcissement de la base vitréenne sont facilités par l'usage de PFCL injecté jusqu'à l'équateur. Il n'est pas utile d'injecter le PFCL au-dessus de la déhiscence la plus antérieure car, une fois cette dernière au contact de l'épithélium pigmentaire, aucun drainage n'est possible. Un « pneu» de décollement rétinien arciforme périphérique antérieur, au-dessus du niveau du PFCL, traduit le séquestre du liquide sous-rétinien résiduel alors sous tension. En l'absence de déhiscences périphériques retrouvées en préopératoire, l'examen attentif de ce « pneu» permet souvent de démasquer l'origine du décollement. Une indentation sclérale dynamique facilite la mise en évidence d'une déhiscence minime au travers de laquelle est visualisée l'issue du liquide sous-rétinien pigmenté vers la cavité vitréenne (fig. 26-13
Fig. 26-13
Décollement de rétine inférieur sans déhiscence périphériques retrouvée.
a. PFCL devant la papille. b. La rétine est progressivement réappliquée. c. Issue de liquide sous-rétinien coloré au niveau de la déhiscence ainsi identifiée.
Source : V. Pierre-Kahn.
).
Décollement de rétine par déchirure géante
L'apport des PFCL dans le traitement de ces décollements est devenu incontournable depuis la première description par Chang en 1989 [27]. Ceux-ci permettent de désinverser et réappliquer l'inversion rétinienne (fig. 26-14
Fig. 26-14
Décollement de rétine par déchirure rétinienne géante avec inversion rétinienne qui ne peut être traité que par l'utilisation de PFCL.
Source : V. Pierre-Kahn.
), de réappliquer les bords de la déchirure géante, de disséquer des nœuds de PVR antérieurs sur une rétine stabilisée et de réaliser la rétinopexie par laser sur le bord postérieur de la déchirure réappliquée.
Décollement de rétine sévères par PVR
L'usage des PFCL permet d'ouvrir un pôle postérieur maintenu étroit par une PVR postérieure et de disséquer avec une excellente visibilité les membranes rétractiles prérétiniennes postérieures. Ces dissections peuvent se réaliser sous PFCL, la rétine étant stabilisée. La gestion d'une rétinectomie relaxante antérieure sur plus de 180° en inférieur est aussi grandement facilitée par ce tamponnement. En cas d'accident hémorragique lors de la rétinectomie, le PFCL qui réapplique son bord postérieur offre une prévention efficace au passage sous-rétinien du saignement.
Luxation postérieure cristallinienne
La phacofragmentation postérieure d'un cristallin luxé est facilitée par l'injection préalable de PFCL. Cela déplace antérieurement le matériel cristallinien qui flotte à sa surface et protège le pôle postérieur de projections de fragments cristalliniens potentiellement traumatiques.
Luxation postérieure d'implant
Le PFCL permet de déplacer un implant reposant au pôle postérieur vers le centre de la cavité, permettant sa préhension à la pince sans risque de blessure rétinienne.
Hématome choroïdien
Le drainage transscléral de l'hématome choroïdien lysé peut induire une hypotonie à l'origine d'une récidive hémorragique. Le maintien d'une pression de perfusion élevée (BSS®) par une ligne de perfusion est parfois associé à l'injection de PFCL qui facilite le déplacement antérieur de l'hématome vers la sclérotomie antérieure. Le PFCL est parfois d'emblée injecté dans une cavité vitréenne collabée – rendue quasi virtuelle par la coalescence de volumineuses poches de décollement hématiques choroïdiennes – pour initier leur drainage antérieur.
Trous maculaires
En cas de DR du pôle postérieur associé à un trou maculaire, le pelage de la limitante interne préalablement colorée est plus aisé sous PFCL qui réapplique et stabilise le pôle postérieur (fig. 26-15
Fig. 26-15
Décollement de rétine avec trou maculaire décollé.
La réapplication maculaire sous PFCL facilite le pelage de la membrane limitante interne autour du trou maculaire.
Source : V. Pierre-Kahn.
). L'utilisation d'un tissu de comblement (volet libre de membrane limitante interne, greffe de membrane amniotique, autogreffe de rétine) dans la chirurgie des grands trous maculaires peut nécessiter l'utilisation transitoire d'une bulle de PFCL recouvrant l'aire maculaire (fig. 26-16
Fig. 26-16
Greffon de membrane amniotique (vert) positionné devant un grand trou maculaire, maintenu stable sous PFCL.
Ménisque annulaire résiduel de BSS® (teinté en bleu BBG pour en améliorer la visibilité) autour de la bulle de PFCL.
).
Mise en œuvre – technique d'utilisation des PFCL
Le PFCL doit être injecté dans une cavité préalablement vitrectomisée. L'injection est lente, réalisée devant la papille, au moyen d'une aiguille longue, de diamètre adapté au trocart (27 G le plus souvent). Le niveau est haussé en maintenant l'extrémité de l'aiguille dans la bulle afin de conserver une bulle unique en veillant à éviter une hypertonie. L'injection en regard d'une déhiscence rétinienne ne peut être poursuivie que si la rétine est réapplicable à cet endroit. À défaut, le passage sous-rétinien de PFCL est à craindre. Le PFCL doit être intégralement ôté en fin de procédure. Il est échangé par du BSS®, de l'air ou du silicone.
Toxicité des PFCL
Les PFCL, lorsqu'ils sont purs et uniquement utilisés pendant le temps chirurgical, ne sont pas toxiques. En dehors de ces conditions, les PFCL peuvent générer une cytotoxicité aiguë ou tardive. Des cas de cécité précoce après usage peropératoire de PFCL, essentiellement du perfluoro-octane [28], ont été rapportés. À ce jour, la littérature fait état de près de 200 cas de nécrose rétinienne avec atrophie optique imputables à certaines marques de PFCL (AlaOcta®, BioOctane Plus®, Meroctane®). Ces PFCL ont été abandonnés. Cette cytotoxicité aiguë est liée à la présence d'impuretés : molécules partiellement fluorées avec persistance de composés carbonés non totalement fluorées. La H value d'un PFCL, mesurée par ionométrie, quantifie le nombre d'impuretés dans le produit. Un PFCL est considéré comme pur si sa H value (index définissant le degré de non-saturation des atomes de carbone par le fluor) est inférieure à 10 ppm. En Europe, le marquage CE constitue l'assurance qualité de tout dispositif médical mis sur le marché. Or, tous les lots de PFCL incriminés avaient obtenu le marquage CE selon les normes de l'époque (ISO-10993, ISO-16672, en 2015). Des méthodes d'analyse plus exigeantes de pureté et de cytotoxicité in vitro ont, depuis, été apportées afin de renforcer la sécurité des PFCL commercialisés (ISO-16672, en 2020) [29]. La cytotoxicité in vitro des PFCL est désormais évaluée sur des tissus proches de ceux où ils sont destinés à être utilisés (cellule pigmentaire de l'EP humain, explants neurorétiniens porcins). Un très haut niveau de purification est désormais exigé lors des procédés de fabrication. Les PFCL ne doivent pas être laissés dans l'œil en fin de procédure. Leur toxicité chronique n'existe donc qu'en cas de mésusage des PFCL.
Complications des PFCL
Passage sous-rétinien
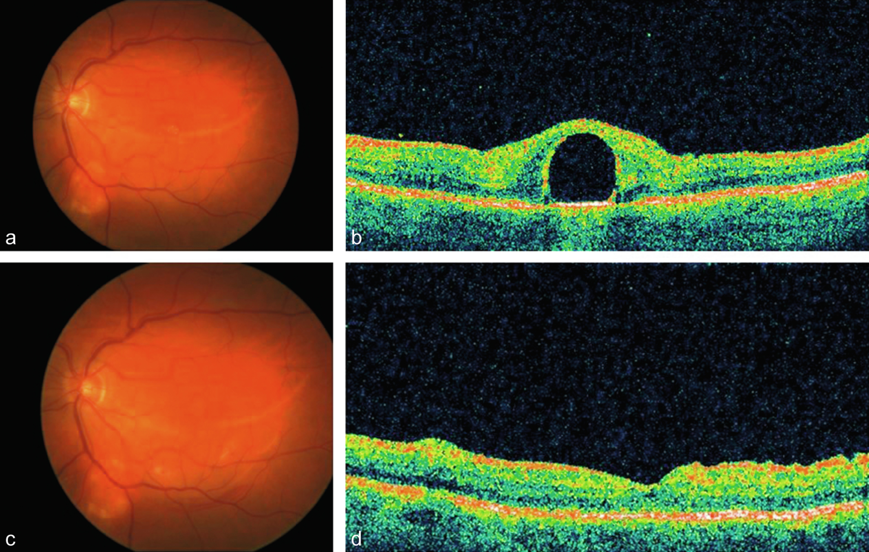
La fréquence du passage sous-rétinien de bulles de PFCL est évaluée entre 0,9 et 11 % des procédures chirurgicales. Ces bulles sont respectées lorsqu'elles n'impliquent pas la région centro-maculaire. En revanche, une bulle sous-maculaire entraîne une atrophie rétinienne localisée par mort des cellules de l'EP et des photorécepteurs, compromettant la fonction visuelle si elle n'est pas rapidement évacuée [30]. De bonnes récupérations anatomiques et fonctionnelles ont été rapportées (fig. 26-17
Fig. 26-17
a, b. Rétinophotographie et OCT montrant une bulle de PFCL en position rétrofovéale.
c, d. Aspect à un mois après chirurgie de déplacement montrant une migration inférieurement en sous-rétinien.
). Plus récemment, l'aspiration directe du PFCL en transfovéal a été décrite, suivie d'un tamponnement gazeux pour éviter la constitution d'un trou maculaire [31].
Passage en chambre antérieure
À court terme, les modifications endothéliales cornéennes sont modérées et semblent directement liées au contact mécanique. La toxicité cornéenne endothéliale est temps-dépendante et débute précocement, entre 2 et 13 semaines, pouvant entraîner un œdème cornéen et une inflammation du segment antérieur. Des cas de glaucome secondaire ont été rapportés. Il est recommandé de retirer les bulles de PFCL de la chambre antérieure. L'aspiration du PFCL se fait idéalement en position assise, à la lampe à fente, après désinfection oculaire, sous anesthésie topique et blépharostat. Une aiguille 30 G est introduite horizontalement au niveau du limbe temporal inférieur, dirigée vers les microbulles de PFCL dans l'angle iridocornéen inférieur. Celles-ci sont ensuite aspirées.
Les colorants utilisés en chirurgie vitréorétinienne
Colorants de l'interface vitréorétinienne – chromodissection
Généralités historiques
Bien qu'imparfaitement comprise, la physiopathologie des maladies de l'interface vitréorétinienne repose sur l'effet de traction du vitré lors de son décollement, ou sur un vitréoschisis. Le traitement de ces pathologies comporte une vitrectomie, l'ablation des membranes prémaculaires et éventuellement de la membrane limitante interne. Étant donné la grande finesse de la membrane limitante interne (2 μm), sa transparence et son adhérence, ce geste est délicat. L'utilisation des colorants du vitré, des membranes prémaculaires et de la limitante interne a grandement facilité le geste chirurgical; néanmoins, des complications ont été décrites, nécessitant une certaine prudence dans leur utilisation.
Propriétés physicochimiques
Vert d'indocyanine ou infracyanine (ICG)
Le vert d'indocyanine est un colorant anionique tricarbocyanine de formule 2,2′-indo-6,7,6′,7′-dibenzocarbocyanine, de poids moléculaire de 775 Da. En ophtalmologie, il est principalement utilisé pour les angiographies du système vasculaire choroïdien. En effet, sa très forte hydrophilie (98 % de liaison aux protéines plasmatiques, en particulier les lipoprotéines A1) le confine au compartiment vasculaire choroïdien. La première description d'utilisation d'ICG pour colorer la membrane limitante interne remonte aux années 2000. À ce jour, son utilisation reste hors AMM. Il est peu utilisé en première intention en Europe à cause de la toxicité suspectée, mais il s'agit d'un excellent colorant de la membrane limitante interne. Sa concentration pour l'usage intravitréen varie entre 0,5 et 0,05 %
Bleu trypan
Le bleu trypan est un colorant azoïque disposant de quatre fonctions sulfonates. Son spectre d'absorption maximal se situe aux alentours de 607 nm dans le méthanol et 588 nm dans l'eau. Sa solubilité est de 1 % dans l'eau et aux alentours de 10 % dans l'éthylène glycol. Il s'agit d'un colorant vital utilisé dans de nombreux domaines de la médecine. En ophtalmologie, le bleu trypan est particulièrement utilisé pour colorer la capsule cristallinienne. En chirurgie vitréorétienne, le bleu trypan est un mauvais colorant de la membrane limitante interne et est donc rarement utilisé dans cette indication. Lorsqu'il est utilisé, sa concentration varie entre 0,01 et 01 %.
Brilliant blue G (BBG)
Le BBG (ou bleu acide, bleu de Coomassie) est un colorant anionique dérivé de l'amino-triarylméthane avec d'excellentes capacités de coloration de la membrane limitante interne. En outre, il s'est révélé très bien toléré. Son utilisation est approuvée dans de nombreux pays en Europe à la concentration de 0,0 25 %. Pour faciliter son administration lors de l'injection dans la cavité vitréenne, du polyéthylène glycol est ajouté afin d'alourdir la solution finale et de favoriser son dépôt au niveau de la surface rétinienne.
Autres colorants
D'autres colorants, notamment en combinaisons, permettent de tirer bénéfice des différentes propriétés des colorants décrits précédemment. Par exemple, le MembraneBlue dual® comporte une association de bleu trypan (0,15 %), de BBG (0,025 %) et de polyéthylène glycol (4 %).
Indications
Les colorants de l'interface vitrorétinienne sont principalement destinés à faciliter le pelage de la membrane limitante interne (technique de la simple coloration). Certains auteurs préconisent la coloration du cortex vitréen (hyaloïde) ou de la membrane prémaculaire avant de procéder à la coloration de la membrane limitante interne (technique de la double coloration). En pratique courante, la membrane prémaculaire peut souvent être retirée sans coloration. Son ablation facilite et améliore secondairement la coloration de la membrane limitante interne.
Mise en œuvre
L'utilisation des colorants de l'interface vitréorétinienne est mal codifiée. En effet, le plus souvent, les colorants de l'interface vitrorétinienne sont injectés dans un œil rempli de BSS®; plus rarement, ils peuvent être injectés après un échange liquide-air. L'objectif est de faire rentrer en contact le colorant avec la surface rétinienne. Certains opérateurs lavent immédiatement la cavité vitréenne après injection; d'autres respectent un temps d'interaction entre le colorant et la surface vitrorétinienne allant de quelques secondes à plusieurs minutes. Après lavage de la cavité vitréenne, la membrane limitante interne se colore en bleu ou en vert selon le colorant utilisé; la membrane prémaculaire, quant à elle, apparaît non colorée (coloration négative). L'utilisation des colorants facilite le pelage des structures rétiniennes essentiellement par deux mécanismes concomitants : par augmentation du contraste lié à la coloration et par une interaction entre les molécules et la membrane limitante interne qui la rigidifie et facilite son ablation.
Complications
L'utilisation de l'ICG peut conduire à des complications : altération de l'épithélium pigmentaire, baisse d'acuité visuelle et déficit du champ visuel. Les mécanismes toxiques en jeu sont mal compris, mais la phototoxicité jouerait un rôle important – celle-ci doit être analysée en recherchant la source lumineuse utilisée (xénon ou halogène), la durée d'exposition (durée de la chirurgie) et l'intensité lumineuse en fonction de la distance entre la sonde d'endo-illumination et la rétine) –, ainsi que l'osmolarité de la solution utilisée.
Colorants du vitré – chromovitrectomie
Le principal colorant du vitré est l'acétate de triamcinolone (indication non reconnue par l'AMM du médicament). Ses cristaux se fixent sur les fibrilles de collagène, améliorant ainsi la visualisation du vitré. Après avoir réalisé une vitrectomie centrale, 0,1 ml à 0,3 ml d'acétate de triamcinolone 4 % pur ou dilué est injecté en direction de l'interface vitrorétinienne sous BSS®. Lors du lavage de la cavité vitréenne, les cristaux sont aspirés par la sonde du vitréotome, sauf si du cortex vitréen est présent au niveau de l'interface. À ce stade, le décollement postérieur du vitré peut être réalisé avec une bonne visualisation du cortex vitréen résiduel. Une toxicité sur les photorécepteurs et l'épithélium pigmentaire a été décrite par des études in vivo et in vitro. Il est donc recommandé d'éviter le passage d'acétate de triamcinolone en sous-rétinien et de procéder à un retrait minutieux de celui-ci après injection.
Bibliographie
26.1. Dispositifs adjuvants à la chirurgie du segment antérieur
[1]
Liesegang TJ. Viscoelastic substances in ophthalmology. Surv Ophthalmol 1990 ; 34(4) : 268-93.
[2]
Jurowski P, Gos R, Grzegorz O, Gralewicz G. Corneal endothelial cells’ protection against thermal injury : influence of ophthalmic viscoelastic substances in experimental study on rabbits. Eur J Ophthalmol 2005 ; 15 : 674-9.
[3]
Yildirim TM, Auffarth GU, Son HS, et al. Dispersive viscosurgical devices demonstrate greater efficacy in protecting corneal endothelium in vitro. BMJ Open Ophthalmol 2019 ; 4(1) : p. e000227.
[4]
Malvankar-Mehta MS, Fu A, Subramanian Y, Hutnik C. Impact of ophthalmic viscosurgical devices in cataract surgery. J Ophthalmol 2020 : 7801093.
[5]
Kanclerz P, Wang X. Postoperative capsular bag distension syndrome - risk factors and treatment. Semin Ophthalmol 2019 ; 34(6) : 409-19.
[6]
Stoldt G, Struck HG. [Different ophthalmologic surgery irrigation solutions. Studies of postoperative inflammation]. Ophthalmologe 1997 ; 94(8) : 583-6.
[7]
Joussen AM, Barth U, Cubuk H, Koch H. Effect of irrigating solution and irrigation temperature on the cornea and pupil during phacoemulsification. J Cataract Refract Surg 2000 ; 26(3) : 392-7.
[8]
Puckett TR, Peele KA, Howard RS, Kramer KK. Intraocular irrigating solutions. A randomized clinical trial of balanced salt solution plus and dextrose bicarbonate lactated Ringer’s solution. Ophthalmology 1995 ; 102(2) : 291-6.
[9]
Kiss B, et al. Corneal endothelial cell protection with a dispersive viscoelastic material and an irrigating solution during phacoemulsification : low-cost versus expensive combination. J Cataract Refract Surg 2003 ; 29(4) : 733-40.
[10]
Kramer KK, Thomassen T, Evaul J. Intraocular irrigating solutions : a clinical study of BSS plus and dextrose bicarbonate lactated Ringer’s solution. Ann Ophthalmol 1991 ; 23(3) : 101-5.
[11]
Vasavada V, Vasavada V, Dixit NV, et al. Comparison between Ringer’s lactate and balanced salt solution on postoperative outcomes after phacoemulsfication : a randomized clinical trial. Indian J Ophthalmol 2009 ; 57(3) : 191-5.
[12]
Findl O, Amon M, Kruger A, et al. Effect of cooled intraocular irrigating solution on the blood-aqueous barrier after cataract surgery. J Cataract Refract Surg 1999 ; 25(4) : 566-8.
[13]
Edelhauser HF, Van Horn DL, Hyndiuk RA, Schultz RO. Intraocular irrigating solutions. Their effect on the corneal endothelium. Arch Ophthalmol 1975 ; 93(8) : 648-57.
[14]
Glasser DB, Matsuda M, Ellis JG, Edelhauser HF. Effects of intraocular irrigating solutions on the corneal endothelium after in vivo anterior chamber irrigation. Am J Ophthalmol 1985 ; 99(3) : 321-8.
[15]
Matsuda M, Tano Y, Edelhauser HF. Comparison of intraocular irrigating solutions used for pars plana vitrectomy and prevention of endothelial cell loss. Jpn J Ophthalmol 1984 ; 28(3) : 230-8.
[16]
Jhanji V, Chan E, Das S, et al. Trypan blue dye for anterior segment surgeries. Eye (Lond) 2011 ; 25(9) : 1113-20.
[17]
Melles GR, de Waard PW, Pameyer JH, Houdijn Beekhuis W. Trypan blue capsule staining to visualize the capsulorhexis in cataract surgery. J Cataract Refract Surg 1999 ; 25(1) : 7-9.
[18]
Buzard K, Zhang JR, Thumann G, et al. Two cases of toxic anterior segment syndrome from generic trypan blue. J Cataract Refract Surg 2010 ; 36(12) : 2195-9.
[19]
Magalhães OA, Kronbauer CL, Müller EG, Sanvicente CT. Update and review of Urrets-Zavalia syndrome. Arq Bras Oftalmol 2016 ; 79 : 202-4.
26.2. Dispositifs adjuvants à la chirurgie du segment postérieur
[20]
Wolf GL, Capuano C, Hartung J. Nitrous oxide increases intraocular pressure after intravitreal sulfur hexafluoride injection. Anesthesiology 1983 ; 59(6) : 547-8.
[21]
Amara A, Bernabei F, Chawki MB, et al. Comparison between air and gas as tamponade in 25-gauge pars plana vitrectomy for primary superior rhegmatogenous retinal detachment. Eye (Lond) 2022 ; 36(10) : 2028-33.
[22]
Yang C, Notbohm H, Açil Y, et al. In vitro fibrillogenesis of collagen II from pig vitreous humour. Biochem J 1995 ; 306 (Pt 3) : 871-5.
[23]
Mills MD, Devenyi RG, Lam WC, et al. An assessment of intraocular pressure rise in patients with gas-filled eyes during simulated air flight. Ophthalmology 2001 ; 108(1) : 40-4.
[24]
Clark LC, Jr., Gollan F. Survival of mammals breathing organic liquids equilibrated with oxygen at atmospheric pressure. Science (NY) 1966 ; 152(3730) : 1755-6.
[25]
Shaffer TH, Wolfson MR, Clark LC, Jr. Liquid ventilation. Pediatr Pulmonol 1992 ; 14(2) : 102-9.
[26]
Chang S, Zimmerman NJ, Iwamoto T, et al. Experimental vitreous replacement with perfluorotributylamine. Am J Ophthalmol 1987 ; 103(1) : 29-37.
[27]
[28]
Pastor JC, Coco RM, Fernandez-Bueno I, et al. Acute retinal damage after using a toxic perfluoro-octane for vitreo-retinal surgery. Retina 2017 ; 37(6) : 1140-51.
[29]
Srivastava GK, Kalaiselvan V, Andres-Iglesias C, et al. Acute intraocular toxicity caused by perfluorocarbon liquids : safety control systems of medical devices. Graefes Arch Clin Exp Ophthalmol 2022 ; 260(7) : 2103-10.
[30]
Le Tien V, Pierre-Kahn V, Azan F, et al. Displacement of retained subfoveal perfluorocarbon liquid after vitreoretinal surgery. Arch Ophthalmol 2008 ; 126(1) : 98-101.
[31]
Erden B, Erdenoz S, Cakir A, et al. Direct transretinal removal of subfoveal perfluorocarbon liquid combined with internal limiting membrane peeling. Ther Adv Ophthalmol 2019 ; 11 : 2515841419840244.