Retour
Chapitre 64
Imagerie des infections intraoculaires : angiographies et OCT

P.-A. Quintart, I. Chabbi, A. Gaulier, C. Cornée, H. Masse, M. Weber

L'imagerie multimodale est devenue indispensable dans le bilan des uvéites infectieuses , que ce soit pour le diagnostic, le pronostic ou le suivi sous traitement.
Hyalite
La tomographie en cohérence optique (OCT) apparaît de plus en plus comme une imagerie d'intérêt dans le suivi semi-quantitatif d'une hyalite, marquée par des points hyper-réflectifs intravitréens [1]. Un épaississement de la hyaloïde postérieure peut également être présent, témoignant souvent de la chronicité de l'inflammation (fig. 64-1
Fig. 64-1
Hyalite postérieure dans un contexte de toxoplasmose.
Points hyper-réflectifs intravitréens (flèche rouge), épaississement de la hyaloïde postérieure (flèche bleue) retrouvés à l'OCT.
).
Rétinite, rétinochoroïdite, choriorétinite, choroïdite
Selon l'agent infectieux, l'atteinte peut être rétinienne pure (rétinite) ou avec extension choroïdienne secondaire (rétinochoroïdite), rarement choroïdienne pure (choroïdite), ou avec extension rétinienne secondaire (choriorétinite) (fig. 64-2
Fig. 64-2
Orientation diagnostique devant une uvéite postérieure infectieuse.
) [ 2 , 3].
Rétinite pure
L'OCT objective une atteinte rétinienne sans atteinte choroïdienne associée : hyper-réflectivité rétinienne avec désorganisation structurelle, parfois associée à des points hyper-réflectifs dans le vitré postérieur ou à un œdème intrarétinien.
Les principales étiologies sont :
  • la rétinite à cytomégalovirus (CMV; fig. 64-3
    Fig. 64-3
    Rétinite à CMV.
    Avant traitement (a), objectivant des foyers rétiniens avec œdème de la rétine externe (flèche bleue) et hyper-réflectivité de la rétine interne (flèche rouge), qui évoluent ici après quelques mois de traitement (b) vers une atrophie rétinienne sévère.
    ) : à la phase aiguë, il existe un œdème des couches externes avec hyper-réflectivité des couches internes qui laissent place après plusieurs semaines de traitement à une atrophie rétinienne. Le vitré est le plus souvent calme (patients immunodéprimés), bien qu'il puisse y avoir une légère hyalite;
  • les autres rétinites virales nécrosantes (voir paragraphe « Nécrose») ;
  • la syphilis sous la forme d'une « rétinite ponctuée interne» [4] dont la fréquence augmente;
  • les foyers bactériens endogènes suite à une bactériémie.
Rétinochoroïdite
Les foyers retrouvés au fond d'œil sont typiquement blanchâtres, profonds, à bords flous (fig. 64-4
Fig. 64-4
Évolution avant traitement (a) et à 1 mois de traitement (b) d'un foyer de toxoplasmose parapapillaire, en cours de cicatrisation.
On observe initialement une hyalite importante (flèche bleue) en regard du foyer rétinien hyperréflectif (flèche rouge) interrompant la ligne IS/OS (flèche verte), avec cône d'ombre postérieur au niveau choroïdien (flèche orange).
).
L'OCT objective l'atteinte combinée rétinienne (épaississement localisé hyper-réflectif, interruption de rétine neurosensorielle) et choroïdienne (classique épaississement choroïdien en regard du foyer, avec hyporéflectivité par cône d'ombre). Il est possible que les foyers soient associés à de la nécrose (voir paragraphe « Nécrose» ), notamment en cas de toxoplasmose, avec un aspect chevelu des bords des foyers et une formation précoce de pseudokystes dans la couche nucléaire interne.
On peut aussi retrouver :
  • à la phase aiguë : un décollement séreux rétinien réactionnel (présent dans la moitié des choriorétinites toxoplasmiques actives [5]), un œdème maculaire , un néovaisseau choroïdien inflammatoire, etc.;
  • à la phase cicatricielle : un amincissement rétinien, une hyper-réflectivité choroïdienne par effet fenêtre avec épaisseur choroïdienne normale, une désorganisation de la rétine externe, des modifications de l'épithélium pigmentaire à type d'hyper-réflectivité ou d'atrophie [ 6]. Chez un même patient, plusieurs types de cicatrices peuvent coexister : atrophique, surélevée ou épaississement.
L'OCT apporte, enfin, des éléments de diagnostic différentiel. Par exemple, il permet de différencier un nodule cotonneux (épargne la rétine externe [ 7]) d'un foyer de toxoplasmose (atteint toute l'épaisseur rétinienne ou seulement la rétine externe dans les rares formes PORT ( punctate outer retinal toxoplasmosis ) [8 , 9].
L'angiographie peut aussi être un élément d'orientation. Le foyer de toxoplasmose actif est caractérisé par une hypofluorescence par effet masque au temps précoce, puis une hyperfluorescence par remplissage progressif centripète. On peut observer une hyperfluorescence des parois des vaisseaux de contiguïté, une artérite de Kyrieleis et une papillite. En angiographie au vert d'indocyanine (ICG), une hypofluorescence localisée en regard de l'épaississement choroïdien est visible.
Aspect spécifique : le décollement bacillaire
  • Le décollement bacillaire (fig. 64-5
    Fig. 64-5
    Exemple de décollement bacillaire (flèche).
    ) désigne un clivage intrarétinien formant une cavité au sein de la zone myoïde des photorécepteurs.
  • De découverte plus récente, il signe une exsudation choroïdienne très aiguë [ 10 , 11].
  • Il est notamment décrit dans certains cas de rétinochoroïdite toxoplasmique, mais sans être pathognomonique, car il est également décrit au cours d'une pseudochoroïdite serpigineuse tuberculeuse, de la maladie de Vogt-Koyanagi-Harada (VKH) et VKH- like iatrogène (immunothérapies), de sclérites postérieures, de traumatismes oculaires sévères, de pachychoroïdopathies, etc.
Choriorétinite
L'exemple type en est la candidose, où deux principales présentations OCT ont été décrites [12] :
  • une infiltration choriorétinienne (fig. 64-6
    Fig. 64-6
    Évolution de foyers de candidose, avant traitement (a) et à 1 mois de traitement (b) par injection intravitréenne (IVT) de Fungizone® et d'antifongique systémique.
    On observe une nette régression de la hyalite (flèche bleue), du décollement séreux rétinien (DSR) initial (flèche orange), et une atrophie cicatricielle (flèche verte) en regard du foyer (flèche rouge) qui émanait de la choroïde avec surélévation et interruption de l'épithélium pigmentaire.
    ) : foyer initialement hyper-réflectif au niveau de la rétine externe et de l'épithélium pigmentaire avec progression vers la rétine interne, puis en prérétinien et en intravitréen;
  • une infiltration de la rétine interne : lésion rétinienne interne ronde hyper-réflective aux bords mal définis et épargnant la rétine externe, avec un cône d'ombre postérieur. Elle s'étend peu à peu jusqu'à l'espace prérétinien, puis intravitréen. Une élévation ou une altération de l'épithélium pigmentaire en regard suggère bien que l'origine est choroïdienne.
Certaines études [13] définissent toutefois quatre présentations : l'atteinte sous-rétinienne, de la rétine interne, de toute l'épaisseur rétinienne avec un œdème maculaire, ou sous la membrane limitante interne.
L'angiographie [14] objective des lésions hypofluorescentes avec imprégnation progressive en fluorescéine, et hypofluorescentes en ICG aux temps précoces et tardifs.
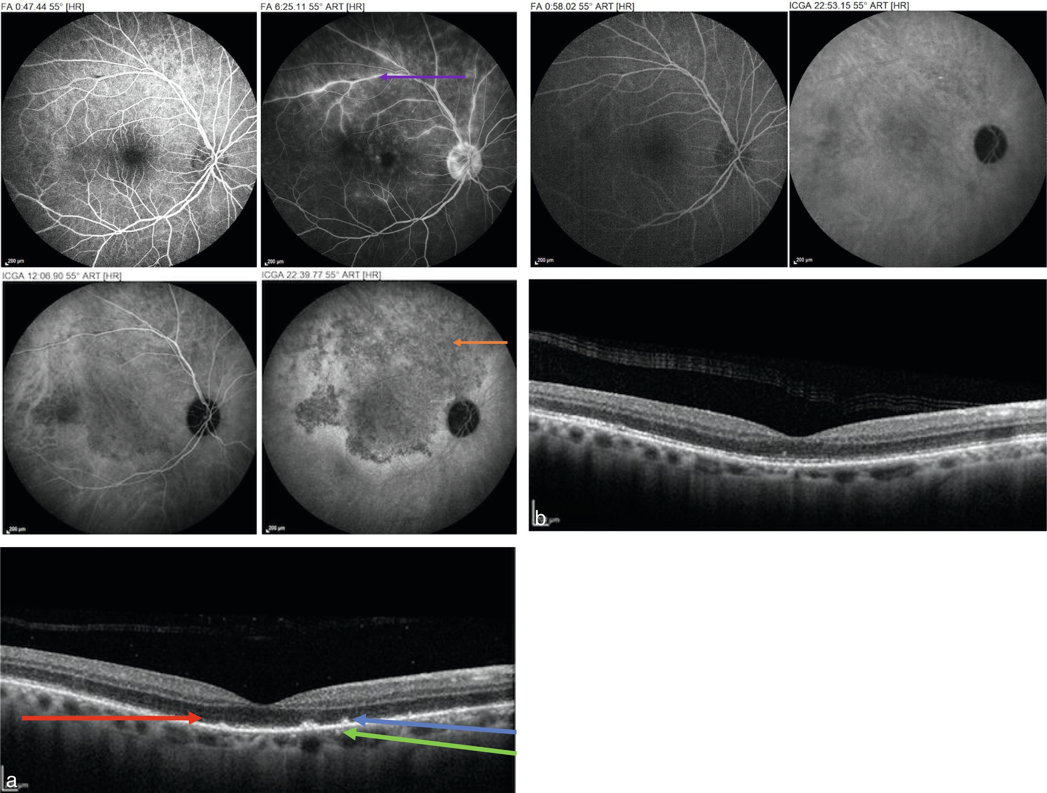
Aspect spécifique : la choriorétinite placoïde postérieure syphilitique de Gass
fig. 64-7
Fig. 64-7
Évolution d'une choriorétinite placoïde syphilitique avant traitement (a) et 2 mois après traitement (b) par pénicilline G IV.
L'OCT montre une récupération quasi ad integrum des altérations initiales de l'IS/OS (flèche rouge) avec régression des fins dépôts hyper-réflectifs rétiniens (flèche bleue) comme choroïdiens (flèche verte). L'angiographie montre également une quasi-disparition de la plaque hypocyanescente (flèche orange) et de la vascularite veineuse de contiguïté (flèche violette).
  • Fond d'œil : lésion placoïde jaunâtre maculaire.
  • OCT : atteinte prédominant sur la rétine externe avec désorganisation architecturale, altérations voire disparition de la ligne ellipsoïde et de la membrane limitante externe ± décollement séreux rétinien ± fins dépôts ou matériel hyper-réflectif. La choroïde peut paraître infiltrée avec des taches hyper-réflectives.
  • Angiographie à la fluorescéine : hypofluorescence précoce, puis imprégnation tardive.
  • Angiographie à l'ICG : hypofluorescence caractéristique à tous les temps.
  • Après traitement : disparition subtotale des différentes atteintes.
Choroïdite
Le tableau 64-1
Tableau 64-1
Imagerie des choroïdites infectieuses.
AtteinteGénéralités et étiologies OCTAngiographie à la fluorescéineAngiographie à l'ICG
Granulomes choroïdiensDans un contexte infectieux, doivent faire rechercher en priorité une tuberculose (plus rarement une toxocarose si granulome unique) :
– tubercules de Bouchut : lésion la plus fréquente dans les tuberculoses systémiques. 1 à 50 granulomes choroïdiens jaunâtres de 1/8 à plusieurs diamètres papillaires (DP), disséminés près du pôle postérieur (fig. 64-8)
– tuberculome choroïdien : lésion jaunâtre isolée le plus souvent au pôle postérieur
EDI-OCT : lésions rondes homogènes, iso- ou hyporéflectives par rapport à la choroïde environnante Lésions rondes homogènes :
  • - petites et moyennes lésions (< 2 DP) : hypofluorescence précoce discrète, hyperfluorescence modérée tardive [15, 16]
  • - grandes lésions (> 2 DP) : hyperfluorescence augmentant en taille et intensité progressivement [17, 18]
Lésions rondes homogènes :
  • - granulomes de pleine épaisseur choroïdienne (> 90 % des cas) : hypofluorescence précoce et tardive
  • - granulomes occupant une partie seulement de l'épaisseur du stroma choroïdien : hypofluorescence puis isofluorescence tardive
Choroïdite serpigineuse (CS) et pseudo-serpigineuseChoroïdites serpigineuses-like (pseudo-CS) :
  • - tuberculose (fig. 64-9)
  • - syphilis
  • - toxoplasmose débutante
  • - histoplasmose
  • - plus rarement, HSV, VZV, tularémie, bartonellose, etc.
Atrophie
Toute exsudation doit faire rechercher un néovaisseau sur les bords de la cicatrice
  • - Phase active : hypofluorescence précoce avec légère imprégnation tardive des bords
  • - Phase cicatricielle : effet fenêtre, liseré hyperfluorescent
  • - Récidive : perte du liseré hyperfluorescent = signe de Jean-Antoine Bernard
Hypofluorescence par hypoperfusion choroïdienne, plus étendue qu'en fluorescéine
résume les différentes atteintes choroïdiennes des uvéites infectieuses, leur description sémiologique en imagerie multimodale et leurs principales orientations étiologiques.
À noter l'intérêt croissant d'imageries plus récentes comme l'OCT-angiographie (OCT-A) pour identifier les granulomes choroïdiens [ 19] et les différencier d'un néovaisseau inflammatoire ou secondaire.
Attention aux pseudo-choroïdites serpigineuses : les atteintes sont plus souvent unilatérales, avec aussi plus souvent une épargne péripapillaire, mais une atteinte multifocale de la rétine périphérique.
Papillite et neurorétinite
Toute infection peut occasionner une papillite, notamment en cas de bartonellose , de maladie de Lyme , de syphilis , ou encore de tuberculose . Bien que l'examen du fond d'œil soit généralement contributif, il peut être mis en défaut, notamment en cas d'inflammation antérieure ou vitréenne importante.
L'OCT de la couche des fibres nerveuses rétiniennes ( retinal nerve fiber layer [RNFL]) objective un épaississement des fibres nerveuses. Cet examen peut mettre en évidence des œdèmes papillaires infracliniques.
Sur l'angiographie à la fluorescéine Syphilis angiographie à la fluorescéine ve une hyperfluorescence péripapillaire avec, sur les temps tardifs, une diffusion du colorant au niveau des bords du nerf optique (fig. 64-10
Fig 64-10
Syphilis à l'origine d'un œdème papillaire unilatéral droit.
On observe une diffusion péripapillaire droite sur l'angiographie à la fluorescéine (a, flèche bleue). L'OCT maculaire révèle par ailleurs un épaississement maculaire périfovéolaire nasal associé à des altérations des couches externes évocatrices du diagnostic étiologique : choriorétinopathie syphilitique externe (b, flèche orange).
).
Aspect spécifique : les neurorétinites [20]
  • Association d'un œdème papillaire avec des exsudats maculaires formant une « étoile maculaire » plus ou moins complète (possible association avec un décollement séreux rétinien maculaire) (fig. 64-11
    Fig. 64-11
    Neurorétinite gauche liée à Bartonella henselae.
    Avant traitement (a) et après traitement (b), avec régression de la papillite, du DSR (flèche bleue) et des exsudats (flèche rouge) en quelques mois.
    ).
  • Intérêt de l'imagerie grand champ/fond d'œil dilaté : recherche de télangiectasies périphériques car la maladie de Coats peut mimer une neurorétinite.
  • Intérêt de l'OCT dans le suivi ± de l'OCT-A (éventuelles télangiectasies péripapillaires).
  • Étiologies infectieuses : en premier lieu bartonellose, mais aussi toxoplasmose, syphilis, maladie de Lyme, toxocarose, rickettsiose, leptospirose, tuberculose, salmonellose, etc.
Nécrose
Toute choriorétinite peut à terme mener à une nécrose rétinienne . Celle-ci est facilement visible en OCT avec un aspect d'épaississement hyper-réflectif et une désorganisation des couches rétiniennes externes. Il faut alors évoquer en priorité une rétinite virale (HSV, VZV [fig. 64-12
Fig. 64-12
Exemple de nécrose rétinienne aiguë (ARN) liée au virus de la varicelle et du zona (VZV) découverte sur un tableau d'artérite occlusive.
La rétinographie non mydriatique (RNM) (a) objective des occlusions artérielles (flèche rouge) avec foyers de nécrose hémorragiques (flèche bleue). L'OCT maculaire (b) objective la hyalite postérieure ainsi que l'hypoperfusion (hyper-réflectivité des couches internes rétiniennes, flèche verte). L'angiographie à la fluorescéine (c) objective les artérites occlusives (flèches orange) et l'hypoperfusion rétinienne périphérique (flèches violettes). À noter une petite papillite associée.
], CMV), dont le principal diagnostic différentiel de rétinopathie nécrosante est la toxoplasmose [21].
L'OCT peut nous aider dans le diagnostic de rétinite nécrosante virale car, classiquement, celle-ci [22] :
  • ne présente pas d'atteinte choroïdienne : ni épaississement, ni hyporéflectivité, ni désorganisation de l'architecture;
  • ne présente pas (ou rarement) de dépôts inflammatoires, contrairement à la toxoplasmose où ils sont fréquents – intrarétiniens (ovales), sur la membrane limitante interne (ronds) ou la hyaloïde postérieure;
  • présente un œdème intrarétinien et des bandes hyper-réflectives verticales dans la couche nucléaire externe, très suggestives de la cause virale.
À noter que la syphilis est également souvent pourvoyeuse de nécrose rétinienne.
L'angiographie, quant à elle, n'est pas toujours indispensable (par exemple suspicion de rétinite à CMV) et, surtout, sa réalisation ne doit pas retarder d'éventuels prélèvements nécessaires au diagnostic de certitude, ou l'introduction d'un traitement en urgence.
Œdème maculaire
L'OCT peut retrouver des logettes d'œdème intrarétinien (hyporéflectives; fig. 64-13
Fig. 64-13
Uvéopapillite idiopathique chez un patient de 27 ans.
a. La rétinographie de l'œil gauche objective une neurorétinite avec œdème papillaire important (flèche bleue) cerné d'hémorragies péripapillaires et un œdème maculaire sévère avec bulle de DSR bien visible (flèche rouge) et exsudats (flèche orange). b. L'OCT RNFL objective l'épaississement papillaire diffus. c. L'OCT maculaire montre le DSR (flèche bleue) accompagné de logettes d'œdème intrarétinien (flèche rouge). On observe par ailleurs une hyalite postérieure dense (flèche orange). d. L'angiographie à la fluorescéine objective notamment un effet masque lié aux hémorragies péripapillaires (flèches bleues), une papillite avec imprégnation papillaire, puis diffusion rapide (flèche rouge). On remarque une légère hypofluorescence maculaire liée à l'œdème.
), un œdème maculaire cystoïde, un décollement séreux rétinien ou un décollement de l'épithélium pigmentaire; parfois, il n'y a qu'un épaississement rétinien localisé ou diffus.
L'angiographie à la fluorescéine objective une hypofluorescence initiale avec remplissage progressif de l'œdème par le colorant au cours de l'examen, avec une hyperfluorescence plus ou moins tardive, mais en tout cas différée.
Vascularite
Une vascularite rétinienne correspond à une inflammation focale, segmentaire ou diffuse des parois des vaisseaux rétiniens (vascularites ou périvascularites) et/ou des capillaires (capillarite). Toutes les infections oculaires peuvent être à l'origine de vascularites rétiniennes – qu'elles soient artérielles, veineuses ou mixtes –, potentiellement occlusives, ce qui en fait toute la gravité. L'examen clé pour la caractériser est l'angiographie rétinienne.
Sur l'angiographie à la fluorescéine , on observe un staining (imprégnation pariétale du vaisseau), puis un leakage (diffusion du colorant) localisé sur la zone vasculaire inflammatoire. Les lésions actives à type de manchons blancs duveteux sont hyperfluorescentes dès les temps précoces et on note une diffusion aux temps tardifs. Les lésions cicatricielles peuvent être non visibles ou discrètement hyperfluorescentes aux temps tardifs. On observe également un élargissement apparent du calibre vasculaire associé à une rétention du colorant au niveau de la paroi du vaisseau.
Il convient de rechercher des signes d'ischémie maculaire, non spécifiques des vascularites occlusives : augmentation de la zone avasculaire centrale (hypofluorescente), irrégularités ou discontinuités des capillaires périfovéolaires en angiographie, perte de la ligne des photorécepteurs en OCT .
Les hémorragies peuvent donner un effet masque en ICG. Les hémorragies fines ne donnent lieu à aucun masquage aux temps précoces et intermédiaires, mais réalisent un discret masquage de la fluorescence tardive du fond. En revanche, les hémorragies denses donnent lieu à une hypofluorescence tout au long de la séquence.
Vascularite veineuse
L'OCT maculaire peut objectiver un œdème maculaire sous forme de logettes rétiniennes hyporéflectives ou d'un épaississement rétinien diffus (fig. 64-14
Fig. 64-14
Vascularite veineuse compliquant une choriorétinite droite d'origine toxoplasmique.
a. Foyer choriorétinien jaunâtre (flèche verte) en regard d'une veine temporale inférieure amincie, grêle, avec des engainements (flèche bleue). b. À l'angiographie à la fluorescéine, foyer initialement hypofluorescent, puis staining et leakage progressif périlésionnel (flèche orange) en regard de la veine temporale inférieure. c. À l'angiographie à l'ICG, on note une hypofluorescence du foyer avec majoration de l'aspect hyperfluorescent veineux et capillaire en regard du foyer. d. Après traitement, foyer cicatriciel pigmenté et régression des engainements veineux.
). On recherchera également une discontinuité de la ligne des photorécepteurs voire une atrophie, de pronostic péjoratif dans différentes causes infectieuses.
Vascularite artérielle
L'angiographie à la fluorescéine recherche une localisation artérielle des signes décrits précédemment et, surtout, des signes d'occlusion (fig. 64-15
Fig. 64-15
Rétinite à VZV d'un œil droit compliquée de vascularite artérielle occlusive, chez un patient de 47 ans.
a-c. L'angiographie à la fluorescéine montre un staining artériel (flèches orange) avec amincissement artériel d'aval et zones d'arrêt du passage vasculaire de fluorescéine (flèche rouge) avec ischémie rétinienne d'aval en périphérie. Capillarite associée (étoile). d. L'angiographie à l'ICG montre un retard de perfusion choroïdienne nasal supérieur et temporal inférieur (flèches bleues). e. À l'OCT maculaire, présence d'une hyalite postérieure, d'un œdème rétinien (épaississement) avec aspect ondulé et points réflectifs au niveau de la plexiforme externe. f. Évolution progressive de l'OCT maculaire vers une atrophie rétinienne avec désorganisation des couches rétiniennes.
).
Artérite de Kyrieleis
L'artérite de Kyrieleis (fig. 64-16
Fig. 64-16
Artérite de Kyrieleis, ici idiopathique.
La rétinographie objective les petites plaques blanchâtres péri-artérielles (a, flèche bleue). L'angiographie montre ces plaques sous forme de lésions hypofluorescentes par effet masque (flèches orange), que ce soit en fluorescéine (b, c) ou en ICG (d). On n'observe donc pas de diffusion, contrairement à la vascularite veineuse visible à côté (flèche verte).
) n'est pas une vascularite [ 23], mais une réaction à une inflammation, en général de contiguïté. Bien que non spécifique, elle est souvent rencontrée lors d'une toxoplasmose. Il s'agit de plaques péri-artérielles, sans diffusion de fluorescéine en angiographie.
Néovaisseaux
Toute cicatrice d'infection oculaire peut se compliquer d'une néovascularisation.
Les néovaisseaux choroïdiens se manifestent en OCT maculaire par une hyperréflectivité accompagnée d'un épaississement de l'épithélium pigmentaire. En cas de localisation extrarétinienne, il faut rechercher un signe indirect témoignant de la présence d'un néovaisseau, tel un œdème maculaire.
Récemment, le pitchfork sign a été décrit en OCT (fig. 64-17
Fig. 64-17
Pitchfork sign.
Présence de projections digitaliformes (flèche) en regard d'un néovaisseau choroïdien compliquant des drusen papillaires.
), comme de multiples projections digitaliformes s'étendant d'un néovaisseau choroïdien vers la rétine externe. Ce signe, s'il est non spécifique, oriente toutefois davantage vers une cause inflammatoire (choroïdite multifocale, choroïdite ponctuée interne) [24 , 25] que vers d'autres causes de néovascularisation choroïdienne de type 2, comme les cicatrices infectieuses (bien que la tuberculose puisse en être à l'origine également [26]).
L'OCT-A peut montrer un lacis néovasculaire localisé dans une zone avasculaire, sur différents étages anatomiques (fig. 64-18
Fig. 64-18
Exemple de néovaisseau choroïdien en regard d'une cicatrice choriorétinienne.
En haut, l'OCT-angiographie objective le néovaisseau (flèche orange) en regard de la cicatrice. En bas, l'OCT maculaire objective une hyperréflectivité pré-épithéliale avec épaississement localisé rétinien et une zone ronde hyporéflective correspondant probablement au néovaisseau (flèche bleue), en regard d'une zone d'atrophie choroïdienne (flèche verte).
).
L'examen clé dans le diagnostic de néovaisseau est l'angiographie à la fluorescéine . Sur les temps choroïdiens, on note une hyperfluorescence localisée, augmentant au cours de la séquence et s'accompagnant d'une diffusion de colorant aux temps tardifs (fig. 64-19
Fig. 64-19
Imagerie multimodale d'un néovaisseau compliquant une cicatrice de choriorétinite candidosique maculaire, à 3 mois du diagnostic.
Avant traitement. a. La rétinographie montre un œdème en regard d'une cicatrice peu marquée (flèche bleue). b. L'OCT maculaire correspondant objective l'hyper-réflectivité pré-épithéliale (flèche rose) accompagnée de signes exsudatifs (décollement séreux rétiniens, micrologettes d'œdème intrarétinien) avec désorganisation des couches externes rétiniennes. c. L'angiographie à la fluorescéine montre le néovaisseau inter-papillomaculaire qui se remplit et diffuse progressivement (flèche jaune). À 1 mois d'une IVT d'anti-VEGF . d. La rétinographie montre une cicatrice maculaire plus marquée jaunâtre (flèche verte). e. À l'OCT maculaire, régression des signes exsudatifs, avec cicatrice fibreuse maculaire (flèche rouge).
). Dans de nombreux cas, il est possible d'individualiser un lacis néovasculaire dépendant d'un tronc nourricier ainsi que des ramifications autour de ce tronc. Les néovaisseaux peuvent être de localisation prérétinienne, prépapillaire ou choroïdienne.
Sur l'angiographie en ICG, les néovaisseaux choroïdiens peuvent donner lieu à une hyperfluorescence localisée.
Angéite givrée
L'angéite givrée (fig. 64-20
Fig. 64-20
Exemple d'une angéite givrée pour laquelle on recherche en priorité une pathologie infectieuse (CMV, VIH, SARS-CoV2, toxoplasmose) à côté de la maladie de Behçet, d'un lupus, d'une leucémie ou d'un lymphome.
Source : Pr C. Chiquet.
) est caractérisée par l'aspect du réseau vasculaire rétinien d'arbre recouvert de neige, du fait d'une infiltration périvasculaire sévère lymphoplasmocytaire. Elle touche le plus souvent le réseau veineux, bien que des atteintes mixtes artérioveineuses aient été décrites.
Ce syndrome peut être idiopathique, lié à une lymphoprolifération (lymphome, leucémie), à des infections (virus herpès dont CMV, VIH, toxoplasmose, et plus récemment SARS-CoV-2 SARS-CoV-2 [27]) ou à des maladies inflammatoires (maladies de Crohn, de Behçet, lupus érythémateux, etc.).
Points à retenir
  • L'analyse sémiologique fine de l'imagerie multimodale permet d'orienter le diagnostic étiologique des uvéites infectieuses.
  • Si certains aspects sémiologiques sont fortement évocateurs, aucun n'est pathognomonique et l'analyse microbiologique reste indispensable au diagnostic de certitude.
Bibliographie
[1]
Montesano G, Way CM, Ometto G, et al. Optimizing OCT acquisition parameters for assessments of vitreous haze for application in uveitis. Sci Rep 2018 ; 8(1) : 1648.
[2]
Smith JR, Ashander LM, Arruda SL, et al. Pathogenesis of ocular toxoplasmosis. Prog Retin Eye Res 2021 ; 81 : 100882.
[3]
Breazzano MP. Choroidal origin of endogenous Candida endophthalmitis. BMC Ophthalmol 2020 ; 20(1) : 283.
[4]
DeVience EX, Schechet SA, Carney M, et al. Syphilitic retinitis presentations : punctate inner retinitis and posterior placoid chorioretinitis. Int Ophthalmol 2021 ; 41(1) : 211-9.
[5]
Ouyang Y, Li F, Shao Q, et al. Subretinal fluid in eyes with active ocular toxoplasmosis observed using spectral domain optical coherence tomography. PLoS One 2015 ; 10(5) : e0127683.
[6]
Goldenberg D, Goldstein M, Loewenstein A, Habot-Wilner Z. Vitreal, retinal, and choroidal findings in active and scarred toxoplasmosis lesions : a prospective study by spectral-domain optical coherence tomography. Graefes Arch Clin Exp Ophthalmol 2013 ; 251(8) : 2037-45.
[7]
Kurup SP, Khan S, Gill MK. Spectral domain optical coherence tomography in the evaluation and management of infectious retinitis. Retina 2014 ; 34(11) : 2233-41.
[8]
Lujan BJ. Spectral domain optical coherence tomography imaging of punctate outer retinal toxoplasmosis. Saudi J Ophthalmol 2014 ; 28(2) : 152-6.
[9]
Brandão-de-Resende C, Balasundaram MB, Narain S, et al. Multimodal imaging in ocular toxoplasmosis. Ocul Immunol Inflamm 2020 ; 28(8) : 1196-204.
[10]
Cicinelli MV, Giuffré C, Marchese A, et al. The bacillary detachment in posterior segment ocular diseases. Ophthalmol Retina 2020 ; 4(4) : 454-6.
[11]
Ramtohul P, Engelbert M, Malclès A, et al. Bacillary layer detachment : multimodal imaging and histologic evidence of a novel optical coherence tomography terminology : literature review and proposed theory. Retina 2021 ; 41(11) : 2193.
[12]
Stephens JD, Adam MK, Todorich B, et al. Optical coherence tomography findings in endogenous fungal chorioretinitis, retinitis, and endophthalmitis. Ophthalmic Surg Lasers Imaging Retina 2017 ; 48(11) : 894-901.
[13]
Zhuang H, Ding X, Gao F, et al. Optical coherence tomography features of retinal lesions in Chinese patients with endogenous Candida endophthalmitis. BMC Ophthalmol 2020 ; 20 : 52.
[14]
Veronese C, Maiolo C, Gurreri A, et al. Multimodal imaging of multifocal chorioretinitis secondary to endogenous candida infection. Int Ophthalmol 2019 ; 39(9) : 2137-42.
[15]
Laghmari A, Boutimzine N, Elmoussaif H, et al. [Bouchut’s tubercles. Clinical and angiographic study, apropos of a case]. J Fr Ophtalmol 1997 ; 20(5) : 383-6.
[16]
Campinchi-Tardy F, Darwiche A, Bergmann JF, et al. [Bouchut tubercles and AIDS. Apropos of 3 cases]. J Fr Ophtalmol 1994 ; 17(10) : 548-54.
[17]
Gupta V, Gupta A, Rao NA. Intraocular tuberculosis- -an update. Surv Ophthalmol 2007 ; 52(6) : 561-87.
[18]
Jabbour NM, Faris B, Trempe CL. A case of pulmonary tuberculosis presenting with a choroidal tuberculoma. Ophthalmology 1985 ; 92(6) : 834-7.
[19]
Pichi F, Smith SD, Neri P, et al. Choroidal granulomas visualized by swept-source optical coherence tomography angiography. Retina 2021 ; 41(3) : 602-9.
[20]
Abdelhakim A, Rasool N. Neuroretinitis : a review. Curr Opin Ophthalmol 2018 ; 29(6) : 514-9.
[21]
Balansard B, Bodaghi B, Cassoux N, et al. Necrotising retinopathies simulating acute retinal necrosis syndrome. Br J Ophthalmol 2005 ; 89(1) : 96-101.
[22]
Invernizzi A, Agarwal AK, Ravera V, et al. Comparing optical coherence tomography findings in different aetiologies of infectious necrotising retinitis. Br J Ophthalmol 2018 ; 102(4) : 433-7.
[23]
Pichi F, Curi ALL, Vasconcelos-Santos DV, et al. Optical coherence tomography findings in infectious posterior uveitis. Ocul Immunol Inflamm 2022 ; 30(3) : 652-63.
[24]
Hoang QV, Cunningham ETJ, Sorenson JA, Freund KB. The “pitchfork sign”. A distinctive optical coherence tomography finding in inflammatory choroidal neovascularization. Retina 2013 ; 33(5) : 1049.
[25]
Gao R, Ma J, Zhang Z, et al. Spectral domain-optical coherence tomography retinal biomarkers in choroidal neovascularization of multifocal choroiditis, myopic choroidal neovascularization, and idiopathic choroidal neovascularization. Ann Med 2021 ; 53(1) : 1270-8.
[26]
Ramtohul P, Comet A, Denis D. The pitchfork sign : a novel OCT feature of choroidal neovascularization in tuberculosis. Oph Retina 2019 ; 3(7) : 615.
[27]
Alapati A, Cameron N, Gratton S, et al. Frosted branch angiitis presenting after a SARS-CoV-2 infection. J Ophthalmic Inflamm Infect 2022 ; 12(1) : 38.