Retour
Chapitre 50
Uvéites virales des maladies contagieuses de l'enfant

E. Barreau

Introduction
L'enfance est la période principale de transmission des maladies virales les plus communes. Celles-ci sont le plus souvent bénignes. Les complications ophtalmologiques sont rares et la fréquence de survenue d'une uvéite est très rare. Dans une publication de 2009, sur une des plus grandes séries d'uvéite pédiatrique, soit 527 enfants, une étiologie infectieuse hors toxoplasmose a été prouvée dans 28 cas (5 %); les virus cités sont le virus herpes simplex (HSV) , le virus varicelle-zona (VZV) , le cytomégalovirus (CMV) et le virus d'Epstein-Barr (EBV) [1].
Une autre étude portant sur 475 cas d'uvéite pédiatrique retrouve 34 cas (7 %) d'origine virale, incluant 32 cas liés aux virus herpès (HSV, CMV, VZV) et 2 cas liés au VIH [ 2].
Les infections à HSV, VZV et CMV sont donc les principales étiologies des uvéites virales de l'enfant et elles font l'objet d'un chapitre spécifique dans cet ouvrage (voir chapitre 47 ).
Rougeole
Il s'agit d'une maladie éruptive de l'enfance, très contagieuse, liée à un paramyxovirus (virus à ARN) du genre Morbillivirus . Hormis l'éruption cutanée, la rougeole se manifeste par des signes catarrhaux (rhinite, toux, conjonctivite , diarrhée). Les complications pulmonaires ou neurologiques en font toute la gravité. L'atteinte du système nerveux central peut être aiguë sous forme d'une encéphalite aiguë disséminée, d'une polyradiculonévrite ou d'une myélite transverse. Elle peut aussi être retardée avec l'apparition d'une panencéphalite sclérosante subaiguë (PESS) [3]. Celle-ci est très rare et survient plusieurs années après la phase aiguë de rougeole. Cette panencéphalite survient principalement chez les enfants, mais peut se voir chez l'adulte. Il s'agit de la réactivation d'un virus muté. La moitié des cas concerne des patients ayant déclaré une rougeole avant l'âge de 2 ans [3]. Le diagnostic repose sur la clinique neurologique, un électroencéphalogramme (EEG) caractéristique et une sécrétion d'immunoglobulines G (IgG) antirougeole [3]. Ces anticorps se retrouvent dans le sang et dans le liquide céphalorachidien (LCR) à taux élevé. Son évolution est habituellement fatale. Il n'existe pas de traitement antiviral efficace pour la rougeole.
À la phase aiguë de la rougeole, l'apparition d'une atteinte rétinienne est possible. Celle-ci se manifeste sous la forme d'un œdème maculaire, avec possiblement des hémorragies et/ou des exsudats stellaires souvent associés à un œdème papillaire [ 4 , 5]. Ces lésions cicatrisent en laissant des altérations pigmentées donnant un aspect poivre et sel. Cette atteinte semble très rare. En revanche, la survenue d'une rétinochoroïdite associée à une PESS est plus fréquente et bien documentée [6-7-8-9-10-11]. Ces cas ont été rapportés en série dans les années 1980 [6 , 7], puis de façon sporadique par la suite. Environ la moitié des patients atteints de PESS ont une atteinte ophtalmologique. La généralisation de la vaccination dans les pays industrialisés explique la grande diminution des cas de PESS. Les atteintes rétiniennes rapportées sont à point de départ maculaire pouvant s'étendre vers la périphérie. Le tableau est habituellement celui d'une rétinite nécrosante avec œdème et hémorragies rétiniennes [ 7 , 12]. L'inflammation vitréenne est absente. L'OCT montre une désorganisation des couches de la rétine, avec un œdème puis une nécrose évoluant vers une atrophie sévère [ 8 , 12 , 13]. La cicatrisation va laisser une lésion atrophique et pigmentée et ces lésions peuvent être confondues avec une rétinochoroïdite toxoplasmique [7 , 11]. Il peut s'y associer un œdème papillaire ou une atrophie optique.
Cette rétinite peut être d'emblée bilatérale ou survenir sur le deuxième œil après plusieurs mois ou années. Elle peut précéder l'apparition des signes neurologiques de plusieurs mois ou années. Une rétinite maculaire avec peu ou pas d'inflammation vitréenne et des prélèvements négatifs pour la toxoplasmose et pour les herpès virus doit faire évoquer ce diagnostic [8-9-10].
Rubéole
Il s'agit d'un virus à ARN de la famille des Togaviridae .
Certaines uvéites antérieures récidivantes sont associées au virus de la rubéole. Cela est maintenant bien établi par l'analyse de l'humeur aqueuse retrouvant le virus par PCR. Ces uvéites sont détaillées dans un chapitre spécifique (voir chapitre 48 ). Les autres complications ophtalmologiques concernent surtout la transmission maternofœtale de la rubéole avec la survenue d'une cataracte congénitale et d'une rétinopathie généralement étendue avec un aspect poivre et sel. L'observation d'une rétinite à la phase aiguë de la rubéole est exceptionnelle. Celle-ci n'a été décrite que chez des adultes et elle peut concerner le pôle postérieur ou la périphérie [ 4 , 14]. Le diagnostic en est fait par la sérologie sanguine avec la présence d'IgM et/ou la présence d'antigène viral détecté par PCR dans l'humeur aqueuse ou le vitré. Il n'existe pas de traitement antiviral efficace sur la rubéole.
Virus d'Epstein-Barr
Il s'agit d'un virus à ADN appartenant au groupe des Herpesviridae . La transmission est salivaire et, dans environ la moitié des cas, elle se fait pendant la petite enfance et est asymptomatique. Une transmission plus tardive, à l'adolescence ou à l'âge adulte, peut être symptomatique sous la forme de la mononucléose infectieuse (fièvre, pharyngite, adénopathies, éruption cutanée, atteinte hépatique, atteinte splénique, arthralgies, asthénie, etc.). La biologie montre la présence d'une lymphocytose avec des lymphocytes atypiques, une perturbation du bilan hépatique et une sérologie positive. La présence d'IgM anti-VCA (antigène de capside) révèle la présence d'une infection récente. Les IgG anti-VCA se positivent assez rapidement, tandis que les IgG anti-EBNA (antigène nucléaire) sont plus tardives et signent une infection ancienne.
De nombreuses complications ophtalmologiques ont été décrites : conjonctivite, kératite, uvéite antérieure, papillite, rétinite, nécrose rétinienne aiguë [15 , 16]. Ces complications restent rares, avec des cas rapportés de façon sporadique. Elles peuvent survenir à distance de l'infection aiguë. Une détection virale par PCR est possible dans l'humeur aqueuse ou le vitré [17].
Un traitement antiviral (aciclovir , valaciclovir ou famciclovir) est généralement donné dans ces complications oculaires liées à l'EBV. L'efficacité n'est pas certaine car ces complications, en particulier les rétinites, ne sont pas forcément liées à une lyse cellulaire par réplication virale, mais plutôt par une réaction immunitaire médiée par les lymphocytes porteurs du virus [17].
Mégalérythème épidémique
Il s'agit d'une maladie éruptive de l'enfant transmise par voie aérienne. Appelée 5 e maladie, elle est due à une infection par le parvovirus B19 . L'infection est très fréquente, souvent asymptomatique, et les complications ophtalmologiques sont très rares. Quelques cas d'uvéite antérieure ont été rapportés [ 18 , 19]. À noter que des recherches systématiques de parvovirus B19 dans différents types d'uvéite n'ont pas montré son implication [20 , 21].
Entérovirus
Il s'agit d'un genre de virus à ARN appartenant à la famille des Picornaviridae . La transmission est orofécale. De nombreux symptômes sont décrits : fièvre, éruption, troubles digestifs, méningites virales, etc.
Il a été rapporté dans les années 1980, en Russie, plusieurs foyers d'infection à échovirus 11 et 19 associés à des uvéites chez des enfants [ 22]. Cette uvéite pouvait être très sévère, avec des membranes vascularisées, des hyphémas, des hypotonies chroniques, des cataractes et, surtout, une atteinte très inhabituelle de l'iris. Il a été observé des atrophies majeures de l'iris avec disparition sectorielle ou quasi totale du tissu irien, des aspects de colobome et des iridodialyses. L'anatomopathologie a confirmé une atteinte particulière des structures pigmentées de l'iris et du corps ciliaire. On ne trouve pas d'autre trace dans la littérature de ce type d'uvéite lié aux entérovirus écho.
Quelques cas d'atteinte rétinienne en rapport avec une infection à coxsackie B3, B4 ou A ont été rapportés [23-24-25]. Il s'agissait d'atteinte de type vascularite pouvant être accompagnée d'un œdème papillaire [23].
Le syndrome pied-main-bouche est une maladie principalement de l'enfance associant fièvre, éruption vésiculeuse palmoplantaire et éruption au niveau de la bouche. Elle est due à une infection par les virus coxsackie A16 le plus souvent, coxsackie A6, entérovirus 71 et d'autres entérovirus. Dans la grande majorité des cas bégnine, cette maladie peut donner des complications neurologiques graves, en particulier dans les infections à entérovirus 71.
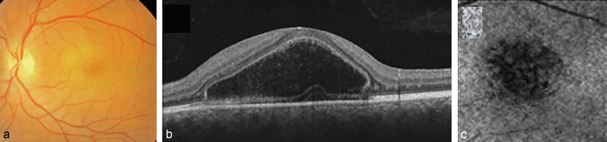
Une quinzaine de cas d'atteinte rétinienne associée à cette infection ont été rapportés. Il s'agissait dans tous les cas de patients adultes. La clinique est celle d'une maculopathie idiopathique aiguë unilatérale. La baisse de vision est habituellement sévère et brutale. Il n'y a pas d'inflammation vitréenne. Le fond d'œil montre une lésion maculaire blanchâtre, en relief, avec une hyperfluorescence en angiographie. L'OCT permet de visualiser la présence d'une accumulation de liquide intrarétinien au niveau de la couche myoïde de la rétine externe maculaire ( bacillary layer detachment ). L'OCT-angiographie montre une atteinte de la choriocapillaire. Le pronostic est bon, avec une récupération visuelle spontanée en quelques jours ou semaines. Quatre cas ont été particulièrement bien documentés dernièrement par une équipe française (fig. 50-1
Fig. 50-1
Cliché couleur montrant une lésion maculaire blanchâtre en relief (a). En OCT, aspect de kyste intrarétinien (bacillary layer detachment) (b). En OCT-angiographie, diminution du flux de la choriocapillaire au centre de la macula (c).
Source : Anjou M, Fajnkuchen F, Nabholz N, et al. Multimodal imaging of unilateral acute maculopathy associated with hand, foot, and mouth disease : a case series. Case Rep Ophthalmol 2022; 13(2) : 617-25. Reproduit avec autorisation.
) [26].
Conclusion
Les uvéites des maladies virales de l'enfant, en dehors des classiques virus HSZ, VZV et CMV, sont rarissimes. Ces tableaux cliniques rares peuvent être des pièges diagnostiques et/ou être révélateurs de pathologies gravissimes, comme la panencéphalite sclérosante subaiguë compliquant la rougeole. Y penser peut permettre d'en faire le diagnostic précocement.
Bibliographie
[1]
Smith JA, Mackensen F, Sen HN, et al. Epidemiology and course of disease in childhood uveitis. Ophthalmology 2009 ; 116(8) : 1544-51.e1.
[2]
Rahimi M, Mirmansouri G. Patterns of uveitis at a tertiary referral center in southern iran. J Ophthalmic Vis Res 2014 ; 9(1) : 54-9.
[3]
Borderon JC, Goudeau A, Barthez MA. Rougeole (I). Le virus. Aspects épidémiologiques et cliniques. EMC - Mal Infect 2007 ; 4(2) : 1-28.
[4]
Yoser SL, Forster DJ, Rao NA. Systemic viral infections and their retinal and choroidal manifestations. Surv Ophthalmol 1993 ; 37(5) : 313-52.
[5]
Urvoy M. Les uvéites de l’enfant. Bull Soc Ophtalmol Fr 1997 ; XCVII : 173-87.
[6]
Green SH, Wirtschafter JD. Ophthalmoscopic findings in subacute sclerosing panencephalitis. Br J Ophthalmol 1973 ; 57(10) : 780-7.
[7]
Cochereau-Massin I, Gaudric A, Reinert P, et al. [Changes in the fundus in subacute sclerosing panencephalitis. Apropos of 23 cases]. J Fr Ophtalmol 1992 ; 15(4) : 255-61.
[8]
Shah A, Babu R, Biswas J. Retinitis as the presenting feature of subacute sclerosing panencephalitis in an Indian male : A case report. Indian J Ophthalmol 2018 ; 66(10) : 1491-3.
[9]
Jeevagan V, Dissanayake A. Chorioretinitis : a potential clue to the early diagnosis of subacute sclerosing panencephalitis. Pract Neurol 2017 ; 17(4) : 293-6.
[10]
Zagami AS, Lethlean AK. Chorioretinitis as a possible very early manifestation of subacute sclerosing panencephalitis. Aust N Z J Med 1991 ; 21(3) : 350-2.
[11]
Chawla A, Jain S. Subacute sclerosing panencephalitis masquerading as toxoplasmosis chorioretinitis. Can J Ophthalmol 2012 ; 47(2) : e1-2.
[12]
Baillif S, Tieulie N, Queyrel V, et al. New aspects of viral necrotizing retinitis in subacute sclerosing panencephalitis with spectral-domain optical coherence tomography. Retin Cases Brief Rep 2012 ; 6(3) : 235-41.
[13]
Cam F, Dericioğlu V, Celiker H. Spectral domain optical coherence tomography findings of subacute sclerosing panencephalitis presenting with macular necrotizing retinitis : a case report. Ocul Immunol Inflamm 2022 ; 1-6.
[14]
Damasceno N, Damasceno E, Souza E. Acquired unilateral rubella retinopathy in adult. Clin Ophthalmol Auckl NZ 2010 ; 5 : 3-4.
[15]
Lee JH, Agarwal A, Mahendradas P, et al. Viral posterior uveitis. Surv Ophthalmol 2017 ; 62(4) : 404-45.
[16]
Matoba AY. Ocular disease associated with Epstein-Barr virus infection. Surv Ophthalmol 1990 ; 35(2) : 145-50.
[17]
Schmoll C, McAtamney S, Madill S. Identification of Epstein-Barr virus in a case of aggressive retinochoroiditis. Eye 2013 ; 27(7) : 893-4.
[18]
Arias-Peso B, Navarro-Bielsa A, Vicente Altabas MJ, et al. Anterior bilateral uveitis and acute parvovirus B19 infection. Enfermedades Infecc Microbiol Clin Engl Ed 2021 ; 39(2) : 103-4.
[19]
Ito T, Hoshina T, Mizuki K, et al. A pediatric case with parvovirus B19-associated uveitis without autoantibody formation. Nagoya J Med Sci 2018 ; 80(4) : 611-4.
[20]
Visser N, Rothova A, de Groot-Mijnes JDF, et al. Searching for intraocular antibody production against Parvovirus B19, Mumps virus and Measles virus in patients with intermediate and posterior uveitis. Br J Ophthalmol 2009 ; 93(6) : 841-2.
[21]
De Boer JH, De Keizer RJ, Kijlstra A. In search of intraocular antibody production to parvo B19 virus and adenovirus in intermediate uveitis. Br J Ophthalmol 1993 ; 77(12) : 829.
[22]
Lashkevich VA, Koroleva GA, Lukashev AN, et al. Enterovirus uveitis. Rev Med Virol 2004 ; 14(4) : 241-54.
[23]
Förster W, Bialasiewicz AA, Busse H. Coxsackievirus B3-associated panuveitis. Br J Ophthalmol 1993 ; 77(3) : 182-3.
[24]
Hirakata K, Oshima T, Azuma N. Chorioretinitis induced by coxsackievirus B4 infection. Am J Ophthalmol 1990 ; 109(2) : 225-7.
[25]
Mine I, Taguchi M, Sakurai Y, et al. Bilateral idiopathic retinal vasculitis following coxsackievirus A4 infection : a case report. BMC Ophthalmol 2017 ; 17(1) : 128.
[26]
Anjou M, Fajnkuchen F, Nabholz N, et al. Multimodal imaging of unilateral acute maculopathy associated with hand, foot, and mouth disease : a case series. Case Rep Ophthalmol 2022 ; 13(2) : 617-25.