Retour
Chapitre 2
L'IRM en pratique (voies visuelles et voies oculomotrices)

F. Héran Dreyfus

Points importants
  • Les informations cliniques (ce que le patient a, ce que je cherche) communiquées au radiologue sont fondamentales : elles conditionnent la qualité diagnostique de l'examen (choix des séquences, centrage).
  • Le clinicien doit être vigilant et garder un esprit critique : un examen qui «ne colle pas » avec la clinique est peut-être insuffisant et idéalement doit être montré à un spécialiste.
  • Pour détecter les petites lésions, les coupes fines centrées sont indispensables (nerf optique, nerfs de l'oculomotricité).
  • Une étude orbitaire ou de la base du crâne T1 injectée sans fat saturation ou FAT-SAT (ou séquence Dixon) méconnaît les prises de contraste.
  • Les séquences fonctionnelles, le tracking de fibre sont exceptionnellement utiles en pratique courante et nécessitent un centre spécialisé.
  • Une baisse visuelle inexpliquée est une urgence d'imagerie relative et nécessite une imagerie par résonance magnétique (IRM) centrée sur les voies visuelles antérieures (et pas un scanner de débrouillage).
  • L'injection n'est pas obligatoire. Le radiologue est le seul à décider si elle est utile et comment elle doit être réalisée (en perfusion, en angiographie par résonance magnétique, etc.).
  • Un scanner (recherche de calcifications, bilan osseux) ou une échographie (lésion vasculaire, d'une glande lacrymale) peuvent être nécessaires au décours de l'IRM.
  • L'IRM peut rester centrée sur l'orbite (diplopie liée à une orbitopathie), ou comprendre une étude encéphalique voire des troncs supra-aortiques (bilan d'un syndrome de Claude Bernard-Horner ou d'une neuropathie ischémique).
  • Dans le suivi des lésions, les contrôles sont idéalement faits dans le même établissement, (les anciens examens sont sur le picture archiving and communication system ou PACS). Sinon, il faut demander au patient d'apporter les CD de ses explorations antérieures pour comparaison.
Quoi de neuf ?
Introduction
L'imagerie par résonance magnétique (IRM) est devenue un instrument diagnostique, pronostique et de suivi incontournable dans le parcours des patients atteints d'affections neuro-ophtalmologiques [1]. Cet examen, largement prescrit à juste raison et de plus en plus complexe et sophistiqué, apporte, outre une analyse des éléments anatomiques, des informations sur la structure et le retentissement des pathologies causales. La diversité de séquences, de protocoles et de traitements d'images est à la fois une aubaine pour les ophtalmologistes et un risque, car la qualité diagnostique de l'examen va dépendre de l'adéquation entre séquence et symptômes. Il est de plus en plus important pour les cliniciens de rédiger une prescription correcte et claire d'une part, d'avoir un œil critique sur les clichés d'IRM avec lesquels revient le patient d'autre part. Une communication claire entre prescripteur et radiologue est donc essentielle. La compréhension du compte rendu, la reconnaissance des séquences sur les images permet ainsi de savoir si l'examen répond à la question posée.
Ce chapitre est centré sur ces fameuses séquences, à la fois classiques et nouvelles. Il rendra plus clair le choix du radiologue (pourquoi de la suppression de graisse ? une diffusion ?), vous aidera à repérer l'aspect des structures impliquées dans les pathologies neuro-ophtalmologiques selon la séquence choisie (nerf optique, sinus caverneux, nerfs oculomoteurs, etc.). Il est illustré d'exemples normaux et pathologiques, ces derniers étant retrouvés dans les différentes sections de ce rapport [2].
IRM encéphalique et orbitaire
Quelques rappels
De façon extrêmement schématique, l'IRM utilise un tube contenant un aimant puissant (1,5 ou 3T en général) créant un champ magnétique constant. Lorsque le patient s'allonge au milieu de ce champ, les spins des noyaux des protons d'hydrogène contenus dans les cellules de son organisme s'alignent tous dans le sens du champ. Cet équilibre est détruit par des impulsions radiofréquence brèves, bruyantes, de caractéristique variable en fonction de la séquence choisie. À chaque arrêt de stimulation, le spin se réoriente dans le sens du champ en émettant un signal. Celui-ci est recueilli par des antennes réceptrices et transformé en image suivant une échelle de gris. Ce signal est très faible, les impulsions doivent être répétées de nombreuses fois et les signaux obtenus additionnés, ce qui explique la durée de chaque séquence et le fait que le patient doive rester immobile pour ne pas décaler la zone étudiée.
Cet examen est non irradiant, inoffensif pour le patient (si on a respecté les précautions et contre-indications décrites plus loin), et sa durée varie en fonction des séquences, de leur nombre et aussi de leur qualité (on refait la séquence si le patient bouge).
La « couleur » de la structure est appelée le signal. Son intensité varie selon une échelle allant du blanc (hypersignal ou signal hyperintense) au noir (hyposignal ou signal hypointense). Isosignal veut dire de même couleur qu'une structure de référence. Pour le nerf optique et le chiasma, la référence est la substance blanche. Un nerf normal est en isosignal à cette dernière.
Les différentes machines d'IRM
Les machines les plus répandues sont à 1,5T, mais les 3T sont de plus en plus utilisées en neuroradiologie. Quelle est la différence pratique entre ces deux types de machine ? L'extérieur est le même (fig. 2-1
Fig. 2-1
Machines d'IRM: 1,5T(a) et3T avec matériel d'anesthésie et de surveillance amagnétique(b).
). Avec une IRM 3T, les images obtenues sont plus résolues, les acquisitions 3D sont beaucoup plus utilisées que les 2D. Relativement rapides, elles permettent de réaliser des reconstructions isométriques. Les coupes fines sont de meilleure qualité ainsi que les angio-IRM et les séquences dites fonctionnelles (perfusion, spectro-IRM, etc.). Ces avantages compensent largement les quelques inconvénients représentés par une majoration des artefacts (sensibilité au matériel dentaire, par exemple), quelques légers désagréments pour les manipulateurs (bien gérés par des modifications de leur façon de travailler), quelques contre-indications supplémentaires par rapport à l'IRM 1,5T.
Les IRM dites ouvertes sont surtout réservées aux grands obèses. À la place du tunnel, la machine comporte deux plateaux, le patient étant placé entre ceux-ci. Les images obtenues sont de qualité médiocre et l'espace entre le visage du patient et le plateau supérieur est moins large que celui d'une IRM à tunnel large (70 cm).
Contre-indications et précautions particulières à prendre
De manière générale, le patient porteur d'un matériel électronique ou ferromagnétique implanté doit le signaler lors de la prise de rendez-vous (tableaux 2-1
Tableau 2-1
Contre-indications et précautions: ce qu'il faut retenir.
Pacemaker-compatible Porteur de valve de dérivation à réglage magnétique Matériel électronique complexeIRM seulement en centre spécialisé avec rythmologue ou neurochirurgien sur place
Femme enceintePas d'IRM avant 3 mois ou discussion cas par cas Pas d'injection ou discussion cas par cas 1,5T plutôt que 3T 
EnfantsCentre spécialisé avant 5–6ans 
InjectionDécidée par le radiologue Non réalisée si inutile À éviter si:
  • insuffisance rénale terminale dialysée (discussion cas par cas)
  • femme enceinte
  • antécédent d'allergie au produit de contraste prouvée lors d'une précédente IRM
Corps étranger métalliqueÀ discuter cas par cas
et 2-2
Tableau 2-2
Que faire si votre patient est anxieux ou claustrophobe ?
Soyez très rassurantLes IRM sont toutes ouvertes des deux côtés, le patient n'est pas attaché, il a de la lumière, une bonne ventilation et l'examen est rapide
Il n'est pas seulLe manipulateur lui parle, il peut lui parler entre les séquences, parfois le voir grâce à un miroir
Le bruit est insupportableCe bruit est lié à la technique. Il n'est pas plus intense que celui de la rue quand il y a de la circulation. Le patient aura un casque protecteur et même parfois la musique de son choix dans le casque
Il pose des questions sur la machineProposez-lui d'aller voir avant la machine, cela le rassurera
Il a peur de l'injection Il est «allergique » Cette injection est décidée par le radiologue et bien sûr non réalisée si inutile Le produit est éliminé très rapidement et on ne sent rien lors de l'injection. Les allergies sont exceptionnelles
Il est extrêmement anxieuxVous êtes le seul à pouvoir lui prescrire un anxiolytique léger, à prendre un peu avant l'examen. Il devra dans ce cas venir de préférence accompagné, à cause de la possible somnolence induite par le médicament
). Le patient doit venir avec la carte précisant les caractéristiques du matériel s'il a une valve cardiaque ou un autre matériel implanté. L'IRM est souvent réalisable mais avec un ajustement variable des paramètres selon le matériel. Les implants cochléaires peuvent contre-indiquer l'IRM ou imposer sa réalisation à 1,5T.
Les pacemakers, contre-indication historique, sont de plus en plus IRM-compatibles. Le patient peut passer son examen sans aucun risque à condition qu'un rythmologue, présent pendant l'examen (assistant à l'examen ou dans l'établissement et joignable), vérifie voire règle le matériel après l'examen. On utilise les mêmes précautions pour les valves de dérivation ventriculaires réglables de type Sophisa®. La position de la molette est vérifiée par un scanner basse dose ou un cliché avant et après l'IRM. Une consultation en neurochirurgie est prévue après l'examen pour un éventuel réglage de la valve si les repères de pression ont bougé pendant l'examen. Les patients porteurs de matériaux plus complexes (pompe implantable, stimulation par cathéter intrarachidien, sondes de stimulation des maladies de Parkinson, etc.) seront de préférence adressés pour leur examen dans un service d'imagerie hospitalier connaissant ce type de matériel. Les manipulateurs utilisent un site Internet SECURIRM1 pour vérifier la compatibilité des matériaux et les précautions à prendre (voir tableau 2-1).
Ce que je vous conseille de dire au patient avant son examen
Les patients ont souvent une image négative de l'IRM, mais elle est nécessaire. Alors soyez positif ! Cet examen est rapide, entre 10 et 15 minutes en moyenne, indolore, son bruit est atténué par un casque antibruit dans lequel il y a souvent de la musique, vous serez en contact permanent avec le manipulateur qui peut vous parler et surtout cette IRM est le seul examen permettant de confirmer le diagnostic (voir tableau 2-2)!
Comment se passe l'examen en pratique ?
Selon les centres, les patients restent habillés ou ne gardent que sous-vêtements et chaussettes. Dans tous les cas, ils enlèvent tous les appareils métalliques et magnétiques amovibles.
Lentilles, stérilet, prothèses mises en place après intervention pour otospongiose sont IRM-compatibles.
Les femmes enceintes peuvent bénéficier d'une IRM à partir de 3 mois de grossesse.
Les enfants selon leur âge et leur degré d'agitation auront une IRM sous anesthésie générale, sédation, ou avec juste une aide : musique, voire dans certains centres casque avec lunettes ou système de rétroprojection et miroir permettant de regarder un film.
Attention : les matériels d'orthodontie peuvent être responsables d'artefacts rendant les images illisibles. Si possible, les explorations IRM seront idéalement programmées avant la pose de l'appareil.
Indications de l'imagerie en neuro-ophtalmologie
Les indications sont très larges et reposent essentiellement sur l'IRM (tableau 2-3
Tableau 2-3
En résumé, scanner ou IRM ?
Scanner (sans ou avec injection)IRM
BAV ou diplopie post-traumatiqueDiplopie ou BAV post-traumatique non expliquée par le scanner
III brutal et tableau d'HSAIII sans signe d'HSA
Œdème papillaire et tableau d'HIC aiguë faisant rechercher une thrombose veineuse, un processus expansif si IRM indisponible (angioscanner veineux)Œdème papillaire et tableau d'HIC aiguë
Recherche de dissection si IRM indisponible (angioscanner artériel)Recherche de dissection, étude du retentissement parenchymateux (AVC ?)
Étude de l'os au contact d'une lésion tissulaire
Recherche de calcifications, drusenRecherche de calcifications (SWI, mais plus d'artefacts qu'au scanner)
Trouble visuel ou oculomoteur brutal avec céphalées (hématome ?)Trouble visuel ou oculomoteur brutal (hématome, AVC)
CMT faisant rechercher une sténose carotidienne (quantification de la sténose)CMT faisant rechercher une sténose carotidienne (bilan encéphalique: AVC ?) 
Patient très agité, contre-indication à l'IRMTout le reste
Diplopie d'origine orbitaire si IRM indisponible
AVC: accident vasculaire cérébral ; BAV: baisse d'acuité visuelle ; CMT: cécité monoculaire transitoire ; HSA: hémorragie sous-arachnoïdienne ; HIC: hypertension intracrânienne ; SWI: .
). De principe, le scanner est réservé aux patients très agités ou ayant une contre-indication à l'IRM. Il faut absolument abandonner le concept de « scanner en attendant l'IRM » pour les pathologies non urgentes. C'est une irradiation inutile. Le scanner garde des indications dans certaines situations urgentes. Il peut être également proposé en complément de l'IRM (retentissement osseux d'une tumeur de la base, recherche de calcifications, doute entre hémorragie ancienne et calcification, etc.).
TROUBLES VISUELS
Parce que leur protocole d'imagerie est différent, on distingue les atteintes des voies visuelles antérieures (nerfs optiques et chiasma) et les troubles du champ visuel par atteinte des voies visuelles rétrochiasmatiques.
Atteintes visuelles antérieures
L'IRM est le seul examen d'imagerie permettant d'analyser l'ensemble des voies visuelles antérieures. Dans l'exploration des baisses visuelles, il reste des indications ponctuelles au scanner et à l'échographie. Si la baisse visuelle est évocatrice de cécité monoculaire transitoire (CMT), un angioscanner ou une échographie Doppler couleur (EDC) des troncs supra-aortiques (TSA) peuvent être proposés à la place de l'IRM, l'important étant dans un premier temps d'éliminer en urgence une sténose carotidienne serrée et une dissection carotidienne. Les baisses visuelles post-traumatiques sont une indication de scanner et éventuellement dans un second temps d'IRM. Le diagnostic de thrombose veineuse cérébrale, pourvoyeuse d'œdème papillaire, repose sur l'angiographie par résonance magnétique (ARM) veineuse ou l'angioscanner veineux, plus facile à obtenir en urgence.
Atteintes visuelles rétrochiasmatiques
L'IRM est le meilleur examen pour analyser le parenchyme cérébral, caractériser une lésion expansive, rechercher des signes d'accident vasculaire. Elle sera donc préférée au scanner. En cas de difficulté d'accès à la machine et si le patient présente des signes de gravité (hypertension intracrânienne, par exemple), il faudra bien entendu réaliser en urgence un scanner sans et avec injection au besoin (modalité choisie par le radiologue) pour dépister une tumeur, une thrombose veineuse ou un hématome.
Trouble de l'oculomotricité
Paralysie oculomotrice
Le scanner garde des indications en urgence : atteinte brutale du III avec des céphalées faisant évoquer la rupture d'un anévrisme, diplopie après traumatisme orbitaire faisant rechercher une incarcération.
Idéalement, un tableau de fistule carotidocaverneuse justifie la réalisation d'une EDC, suffisant pour confirmer le diagnostic avant la prise en charge par les neuroradiologues interventionnels.
Dans les autres cas, que l'on cherche une atteinte du tronc cérébral, d'un nerf de l'oculomotricité ou orbitaire, l'IRM est supérieure au scanner.
Anomalie des pupilles
Une mydriase associée à un trouble oculomoteur fait rechercher une anomalie sur le trajet du III: l'IRM est nécessaire. Bien entendu, une mydriase uni- ou bilatérale chez un patient ayant des signes évocateurs d'hémorragie sous-arachnoïdienne justifie un scanner en urgence! Un myosis traduit souvent un syndrome de Claude Bernard-Horner. La prise en charge en imagerie peut être faite par scanner (recherche de dissection carotidienne, lésion cervicale ou thoracique haute) et/ou IRM (recherche de dissection, d'anomalie encéphalique, orbitaire ou médullaire cervicale). La dissection, généralement sous-pétreuse, est difficile ou impossible à voir en EDC, cet examen ne dépistant que son retentissement sur la circulation intracrânienne. Les signes cliniques associés au myosis orientent le choix de l'imagerie.
Trouble de l'oculomotricité conjuguée
Hormis dans un tableau d'urgence extrême, l'IRM est le seul examen capable d'analyser le tronc cérébral.
Les séquences IRM en pratique et leurs indications
L'examen est adapté aux symptômes du patient et à la demande du clinicien [3]. Il existe de très nombreuses séquences, chacune est adaptée à une recherche spécifique (œdème, rupture de barrière, ischémie, saignement, etc.) et les protocoles sont très variés. Ceci souligne l'importance de la rédaction et de la clarté de la demande. Cette dernière devra être adaptée à la compréhension potentielle du radiologue, comporter les signes cliniques du patient et ce que l'on cherche. Elle est un des facteurs clés de l'optimisation de l'exploration. Dans ce paragraphe, nous vous proposons une explication de la séquence et ses principales indications. Ainsi, vous pourrez sur l'examen que rapporte le patient voir si ce que vous cherchez a bien été étudié !
Séquences de base
En préambule, nous vous proposons quelques rappels des plans de coupes utiles (et indispensables à connaître) en IRM des troubles neuro-ophtalmologiques. Chaque structure anatomique à regarder est présentée sur la coupe IRM de référence puis colorée ( fig. 2-2, fig. 2-3, fig. 2-4, fig. 2-5, fig. 2-6, fig. 2-7, fig. 2-8, fig. 2-9, fig. 2-10, fig. 2-11
Fig. 2-2
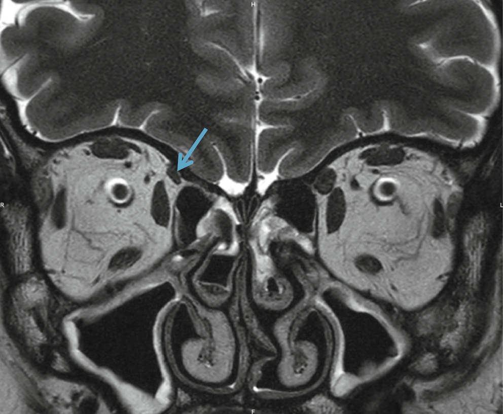
Coupe coronaleT2 (a1, a2) et T1gadolinium FAT-SAT (b1, b2), partie antérieure de l'orbite.
Fig. 2-3
a, b.Coupe coronale T2, partie moyenne de l'orbite.
Fig. 2-4
a, b.Coupe axiale T2, partie moyenne de l'orbite. Plan du nerf optique.DM:droit médial ; DL:droit latéral.
Fig. 2-5
a, b.Coupe axiale T2 FAT-SAT, plan du nerf optique. Voies optiques.
Fig. 2-6
a, b.Coupe sagittale T1, structures médianes. Projection des noyaux de l'oculomotricité.
Fig. 2-7
a, b.Séquence 3D T2: reconstruction axiale dans l'axe des III.
Fig. 2-8
a, b.Séquence 3D T2: reconstruction sagittale oblique dans l'axe du III.
Fig. 2-9
a, b.Coupe coronale T2, partie moyenne du sinus caverneux.
Fig. 2-10
a, b.Coupes coronale T1 gadolinium, partie postérieure du sinus caverneux.
Fig. 2-11
a, b.Coupe axiale T2 inframillimétrique: trajet intracisternal du VI ; projection de son noyau.
).
T1
En pratique
Sur cette séquence, l'eau – comme le liquide cérébrospinal (LCS) contenu dans les ventricules, les espaces extraparenchymateux et les globes oculaires–est noire. La graisse est blanche et les tissus sont gris. La substance blanche est plus «blanche » que le cortex et les noyaux gris. On utilise soit un T1 dit en spin écho (SE), soit un T1 dit en écho de gradient (EG) ou étoile(*), plus anatomique mais souvent plus artefacté, sans ou avec FAT-SAT: fat suppression ou suppression du signal de la graisse (fig. 2-12
Fig. 2-12
Comparaison des T1 EG(a, d), SE(b, e) et SE FAT-SAT(c, f).
). Le T1 sans injection a un rôle d'étude morphologique, il peut également repérer les saignements récents, qui apparaissent blancs, les kystes à contenu protidique, également blancs (comme ceux des craniopharyngiomes).
Quelles sont les indications du T1 ?
Cette séquence est très utile pour l'exploration des orbites, pour rechercher une anomalie de la charnière cervico-occipitale (bilan d'un nystagmus) et des structures médianes dans le plan sagittal et de la région hypophysaire dans le plan coronal et sagittal (fig. 2-13
Fig. 2-13
Exemples de craniopharyngiomes en T1(a), FLAIR(b), T2(c).Contenu du kyste non liquidien pur, riche en protides, bien visible en T1 et FLAIR (comparer avec le liquide cérébrospinal).
). Elle est utilisée dans l'exploration pré- et post-thérapeutique des tumeurs cérébrales à la recherche par exemple de saignements aigus en hypersignal (fig. 2-14
Fig. 2-14
T1 SE FAT-SAT. IRM postopératoire.Sang hyperintense au sein du foyer opératoire (flèche rouge), cicatrice de craniotomie (flèches jaunes).
) pour mettre en évidence un thrombus frais dans un sinus, diagnostiquer un hématome péricarotidien signant une dissection, révélée généralement par un syndrome de Claude Bernard-Horner (voir fig. 2-30
Fig. 2-30
Thrombose du sinus latéral gauche chez une femme enceinte de 22semaines.Sinus latéral gauche non circulant sur l'ARM veineuse sans injection(a), thrombus (flèches jaunes) en hypersignal FLAIR(c) etT1(d). Hématome parenchymateux temporal gauche (flèches rouges) en SWI(b) et FLAIR(c).
), ou caractériser une structure kystique. On fera volontiers un 3D plus qu'un seul plan.
T2 et FLAIR
En pratique
Le T2 donne des informations morphologiques et structurelles. Comme pour le T1, on utilise deux types de T2. Le T2 EG ou* est sensible aux artefacts, ce qui permet de détecter ceux liés à un saignement ou des calcifications (fig. 2-15
Fig. 2-15
T2 EG: hémosidérose focale (flèches rouges).
), mais va gêner pour l'étude de structures proches de la base comme l'orbite. Le T2SE est plus esthétique, moins sujet aux artefacts et utilisé pour étudier l'orbite où se jouxtent graisse, os, liquide et tissus mous (fig. 2-16a
Fig. 2-16
Étude orbitaire axiale(a) et coronale(b) en T2 SE.Excellente analyse du nerf optique (flèche rouge), des espaces périoptiques (flèche bleue), des composants orbitaires.
). Le T2SE coupes fines (2 à 2,5mm) est la séquence idéale pour étudier le nerf optique. Il est utilisé au mieux dans le plan coronal perpendiculaire au nerf (fig. 2-16b). Il donne des informations capitales sur son signal, qui peut être modifié par un œdème (hypersignal), et sur sa morphologie (atrophie, hypertrophie)[4].
Comment reconnaître un contraste T2 ? L'eau (donc l'œdème, l'inflammation) est blanche ainsi que la graisse, la substance blanche est plus noire que le cortex. Le signal des saignements varie selon leur âge (la composition de l'hématome change).
Le T2 inframillimétrique avec une acquisition volumique permettant des reconstructions dans tous les plans (séquences DRIVE ou DRIVen Equilibrium , CISS ou Constructive Interference in Steady State , FIESTA ou Fast Imaging Employing STeady state Acquisition ) est une excellente séquence pour analyser la portion intracisternale des nerfs. Sa résolution spatiale est excellente, mais il donne peu d'informations sur le signal des structures étudiées, car sa résolution en contraste est faible (c'est noir ou blanc) (fig. 2-17
Fig. 2-17
Étude des III dans leur segment intracisternal (flèches rouges) en T2 inframillimétrique volumique dans le plan axial des nerfs.
).
Le FLAIR ( fluid attenuation inversion recovery ) est un T2 avec une suppression de l'hypersignal du liquide pur (eau). Le LCS devient noir dans les ventricules et les espaces sous-arachnoïdiens, ainsi que dans les kystes arachnoïdiens. Si un kyste a un contenu liquidien non pur, par exemple hémorragique, hyperprotidique (inflammatoire), riche en mucus, purulent (abcès), épais (kyste épidermoïde), ce contenu perdra son hyposignal et aura un hypersignal de degré variable. Cette propriété est un des avantages du FLAIR sur le T2, car en T2 le contenu des kystes est souvent en hypersignal comme l'eau et ce, quelle que soit sa composition (fig. 2-18
Fig. 2-18
VI gauche lié à une compression par un kyste épidermoïde.Signal liquidien en T2(a), mais non pur en FLAIR(b) et diffusion(c).
). Pour l'étude encéphalique, le FLAIR, qui détecte mieux les anomalies à type d'hypersignal de la substance blanche au contact des ventricules, remplace très souvent le T2 (fig. 2-19
Fig. 2-19
Sclérose en plaques en T2(a) et FLAIR(b).Meilleure visualisation des plaques hyperintenses périventriculaires en FLAIR qu'en T2.
). Il donne des informations de signal sur le nerf optique et sa résolution spatiale est insuffisante pour une étude précise de ce nerf. Une double inversion-récupération ou DIR (suppression du signal de l'eau et de la graisse) est utilisée parfois pour détecter les lésions inflammatoires de la substance blanche.
Quelles sont les indications du T2 et du FLAIR ?
Le T2 EG sert à rechercher un saignement ou une calcification. Nous verrons qu'il est de plus en plus remplacé par les séquences de susceptibilité magnétique comme la SWI ( susceptibility weighted imaging ) et la SWAN ( star weighted angiography ).
Les indications du T2 SE en encéphale sont restreintes, car il est généralement remplacé par un FLAIR 2D ou 3D, souvent avec FAT-SAT. On continue à l'utiliser pour préciser les rapports de structures fines avec la voûte par exemple, ou pour étudier la fosse postérieure. Dans cette indication, il fait souvent partie des protocoles d'étude des scléroses en plaques (SEP), en complément du FLAIR.
C'est en revanche la séquence idéale pour l'analyse des voies optiques antérieures et des sinus caverneux, généralement dans le plan coronal par coupes de 2 à 3mm (fig. 2-20
Fig. 2-20
Sinus caverneux sur une coupe coronale en T2 SE(a) et axiale en T1 FAT-SAT injecté(b).
).
Le FLAIR est la séquence reine de la neuroradiologie, grâce aux renseignements qu'il fournit sur les modifications pathologiques encéphaliques : œdème, hématome, tumeur, inflammation, atteinte vasculaire, etc. Il repère les atrophies optiques: le nerf est grêle et en hypersignal, ce qui est lié à une gliose (fig. 2-21
Fig. 2-21
Atrophie optique droite en FLAIR. Nerf optique en hypersignal et grêle (flèche rouge).
). Il est souvent utilisé avec une FAT-SAT et une injection, comme nous le reverrons, cette séquence permettant par exemple de repérer facilement les névrites optiques grâce à l'augmentation de volume du nerf et l'hypersignal du LCS périoptique, inflammatoire et riche en protides.
Injection : intérêts, dangers, coût
En IRM, on utilise un chélate de gadolinium, terre rare, commercialisé sous des noms divers, et qui modifie, surtout sur la séquence T1, le signal de la structure normale ou pathologique sur laquelle il se fixe ; cette structure devient alors blanche (en hypersignal).
Intérêts de l'injection
Un cerveau normal, un nerf crânien normal sont protégés par la barrière hémato-encéphalique. Une lésion entraîne souvent une rupture de cette barrière. Pour la mettre en évidence, on utilise l'injection par voie intraveineuse d'un produit de contraste au cours d'une séquence T1. Il va passer dans la brèche et se fixer sur la structure pathologique.
En dehors du T1, on peut utiliser cette injection en FLAIR. En effet, contrairement au signal T2, le signal FLAIR de certaines structures anatomiques est modifié par l'injection. On détecte avec le FLAIR injecté, beaucoup mieux qu'avec un T1 injecté (et surtout si l'on utilise une séquence FLAIR FAT-SAT, que nous reverrons par la suite), les anomalies des leptoméninges (leptoméningite, angiome pial, etc.), sans perdre les autres fonctionnalités de cette séquence. Les névrites optiques par exemple entraînent un hypersignal des espaces périoptiques (inflammation du LCS dépassant la zone d'inflammation focale du nerf) et du nerf optique (prise de contraste) très facile à repérer. Ce FLAIR injecté FAT-SAT est également très performant pour détecter les œdèmes papillaires, faisant saillie en hypersignal (fig. 2-22
Fig. 2-22
Névrite optique gauche à anti-MOG.Hypersignal du liquide cérébrospinal en FLAIR avec œdème papillaire (flèche rouge)(a), hypersignal du nerf en T2(b), prise de contraste en T1 injecté FAT-SAT(c) et T1 Dixon mieux vue sur la partie avec FAT-SAT(e) que celle sans FAT-SAT(d) de la séquence.
).
L'injection permet aussi de visualiser les vaisseaux.
Utilisée en perfusion T1 ou T2, elle confirme le diagnostic de tumeur maligne encéphalique, peut caractériser un processus expansif encéphalique, voire orbitaire.
Dangers et coût
Le produit de contraste coûte actuellement en moyenne 100 euros. L'injection rallonge le temps d'examen (préparation, réalisation). Les risques allergiques et d'extravasation sont faibles, mais non négligeables. En cas d'antécédents d'allergie au produit de contraste gadoliné prouvée lors d'une précédente injection en IRM, il faut prévoir un bilan allergologique, voire désensibiliser le patient et ne pas réutiliser le produit qui a déclenché l'allergie.
On a décrit des complications graves à type de fibrose systémique néphrogénique après injections répétées de gadolinium chez les patients en insuffisance rénale terminale ; plus récemment, on a constaté la présence de dépôts de gadolinium dans les noyaux gris chez les patients injectés, sans pour l'instant de conséquence particulière rapportée.
L'injection est contre-indiquée chez la femme enceinte, a priori chez l'insuffisant rénal grave surtout dialysé.
L'injection a des indications précises, sa réalisation doit toujours être justifiée et elle n'est pas obligatoire. Son indication est posée par le radiologue.
Pour obtenir plus de renseignements
La diffusion
En pratique
Cette séquence, très informative, est intégrée dans la plupart des protocoles neuroradiologiques. Elle étudie la circulation de l'eau interstitielle. Celle-ci est altérée voire interrompue si les cellules sont « gonflées » (œdème des accidents vasculaires cérébraux au stade précoce) ou si la lésion est constituée de petites cellules compactes (lymphome). La diffusion permet également de caractériser les liquides (LCS, kystes). La diffusion est restreinte (c'est-à-dire gênée) si la composition du liquide n'est pas «pure » (pure caractérise le LCS). Si le contenu est protidique (kyste des craniopharyngiomes), visqueux (pus, kyste épidermoïde), hémorragique, il va être responsable d'un hypersignal diffusion.
Cependant, si la structure étudiée est en hypersignal T2 ou FLAIR, le signal en diffusion peut être intense, sans qu'il y ait de restriction de la diffusion. Pour s'affranchir de cet « effet T2 », le logiciel de la machine d'IRM calcule l'ADC ( apparent diffusion coefficient ), qui ne tient pas compte de l'effet T2. Cet ADC est d'autant plus bas (image noire) que la diffusion est restreinte. Ces anomalies de la diffusion sont transitoires. Par exemple, après une dizaine de jours, la zone ischémique va être en isosignal, puis en hypersignal en ADC, signant la destruction parenchymateuse et son remplacement par du LCS. Pour analyser un hypersignal diffusion, on regarde toujours en même temps la cartographie ADC pour faire la part des choses entre réelle restriction de la diffusion et simple effet T2 (fig. 2-23
Fig. 2-23
Hémianopsie latérale homonyme gauche au réveil.Accident ischémique cérébral postérieur droit récent (flèches bleues), en hypersignal diffusion(a) avec un ADC bas(b), lié à une occlusion de l'artère cérébrale postérieure droite bien visible en ARM TOF(c, flèche rouge).
et2-24
Fig. 2-24
Accident vasculaire cérébral postérieur droit récent en diffusion(a), ADC(b), FLAIR(c). Contrôle ADC à distance(d).
).
Quelles sont les indications de la diffusion ?
Cette séquence rapide (souvent moins de 2 mn), très utilisée, recherche les accidents ischémiques récents, caractérise les liquides (purs ou non) –hématome, pus, kyste épidermoïde, protides, etc. (fig. 2-25
Fig. 2-25
Abcès occipital droit en diffusion(a), ADC(b), FLAIR(c), T1 injecté(d).Restriction de la diffusion dans les zones purulentes (flèches jaunes).
et voir fig. 2-18)– et donne des informations sur la cellularité d'une tumeur. Même si dans de rares cas, des coupes très fines et centrées peuvent détecter les ischémies de la papille et du nerf optique (voir fig. 2-47
Fig. 2-47
Cécité gauche post-traumatique immédiate.Scanner normal. IRM demandée. Fracture du nerf optique (flèches rouges) en T2 FAT-SAT axial(a), sagittal(b). Prise de contraste en T1 injecté FAT-SAT(c).
), la résolution de cette séquence est encore insuffisante pour détecter de façon courante les ischémies de petite taille des nerfs optiques ou des nerfs oculomoteurs et n'est généralement pas contributive au diagnostic positif d'une neuropathie optique ischémique antérieure (NOIA) ou d'unIII ischémique chez le diabétique, par exemple. Rappelons que l'IRM n'est habituellement indiquée au cours d'une NOIA que s'il y a une suspicion de maladie de Horton (IRM de paroi).
Séquences avec suppression du signal de la graisse
En pratique
La graisse orbitaire ou de la base du crâne, en hypersignal T1 et T2, aide à détecter de nombreux processus pathologiques en hyposignal. En revanche, si la lésion est inflammatoire (hypersignal T2) ou rehaussée (hypersignal T1), elle disparaît dans la graisse. Pour mieux la visualiser, on utilise la suppression du signal de la graisse (ou FAT-SAT) que l'on ajoute à la séquence T2 ou T1 injectée et la graisse devient noire. De plus en plus, on utilise une séquence de type Dixon, qui en une acquisition donne à la fois un T1 ou un T2 et le même avec FAT-SAT calculée, celle-ci étant généralement moins sensible aux artefacts que la FAT-SAT standard (fig. 2-26
Fig. 2-26
Orbites normales, coupes coronales.Comparaison FAT-SAT et Dixon en T1 injecté: T1 FAT-SAT(a), Dixon sans FAT-SAT(b), Dixon avec FAT-SAT calculée(c) et T2: SE(d), FAT-SAT(e), Dixon avec FAT-SAT calculée(f). Artefacts (flèche rouge) et mauvaise saturation de la graisse qui reste blanche (flèche bleue).
) [5,6].
Quelles sont les indications de la suppression de graisse ?
La recherche d'une inflammation orbitaire en T2 nécessite une FAT-SAT de même que celle d'une prise de contraste du nerf optique ou d'une autre lésion intra-orbitaire (fig. 2-27
Fig. 2-27
Comparaison du signal musculaire en T2 Dixon sans(a) et avec(b) FAT-SAT calculée.Hypersignal avec inflammation (flèches rouges), hypersignal sans inflammation (flèches bleues), hyposignal lié à une fibrose (flèches vertes).
et voir fig. 2-22). On utilise également le T1 injecté FAT-SAT ou Dixon pour les études de la base du crâne, notamment dans la recherche de lésions comprimant le VI (méningiome, métastase ou autre lésion à point de départ osseux ; voir fig. 2-63, fig. 2-64, fig.2-65
Fig. 2-63
Nécrose hémorragique d'un macroadénome en coronal T2(a) et T1(b).Sang dans la tumeur (flèches bleues), III droit bien visible (flèche rouge), III gauche noyé dans le tissu adénomateux (rond rouge).
Fig. 2-64
Exemple de lésion intrinsèque du III prenant le contraste en T1 FAT-SAT.Sarcoïdose (a, flèches rouges), schwannome (b, flèche bleue) inflammatoire en hypersignal T2 FAT-SAT (c, d, flèches vertes).
Fig. 2-65
a, b.Méningiome rétroclival comprimant leVI droit (flèches rouges) en T2 inframillimétrique(a) et T1 injecté FAT-SAT(b). c.Atrophie et hypersignal de dénervation du droit latéral droit en coronal T2.
) pour supprimer la graisse de cette région présente dans l'os et les espaces profonds du massif facial.
Imagerie en susceptibilité magnétique ( susceptibility weighted imaging [SWI])
En pratique
Appelée selon les machines SWI ( susceptibility weighted imaging ) ou SWAN ( star weighted angiography ), cette séquence est de plus en plus utilisée. Elle est, plus que le T2 EG, sensible aux artefacts créés par les agents paramagnétiques, responsables d'un hyposignal qu'elle détecte facilement. L'hémosidérine, les caillots, les métaux, les calcifications sont ainsi visibles sous forme de plages en hyposignal intense, dont la taille apparente est plus importante que celle de la lésion, ce qui augmente leur détection. Cette fausse «hypertrophie » est liée à un effet dit de « blooming  » et est très utile pour détecter les toutes petites lésions. De plus, grâce aux différentes phases de cette séquence, on peut différencier calcification et saignement, ce qui était impossible avec le T2EG. La séquence peut être décomposée en plusieurs échos (ou sous-séquences), donnant des informations différentes. Par exemple, sur le premier écho, les artères du polygone sont bien visibles, le dernier écho est moins bien défini mais détecte plus les saignements anciens [7]. L'inconvénient majeur de la séquence SWI est lié à ses propriétés. Sa sensibilité aux artefacts la rend ininterprétable si le patient bouge ou a beaucoup de matériel dentaire.
Quelles sont les indications de séquence en susceptibilité magnétique ?
La séquence SWI permet : la recherche de microsaignements compliquant les hypertensions artérielles, les angiopathies amyloïdes ; la détection de transformations hémorragiques d'un accident vasculaire cérébral, d'une tumeur ; la recherche de thrombose veineuse superficielle, de calcifications par exemple devant une lésion périoptique évocatrice de méningiome (fig. 2-28
Fig. 2-28
a, b.Méningiome (flèches rouges) de la gaine du nerf optique: T2, T1 injecté FAT-SAT. c.Scanner sans injection avec petite calcification (flèche jaune). d.SWI montrant la calcification en hypersignal avec un halo en hyposignal (flèche verte).
) ou moins connue de drusen calcifiées [8], de microsaignements rétiniens chez les enfants secoués (fig. 2-29
Fig. 2-29
a.SWI drusen calcifiées (flèches rouges). b.Saignements sous-rétiniens chez un enfant secoué (flèches bleues).
). Une indication est l'étude des lésions de la substance blanche. On sait que les lésions de SEP sont périveinulaires et la plaque est généralement centrée par une veine très bien visible en SWI, contrairement aux lésions microvasculaires des patients ayant des facteurs de risque vasculaires, qui sont indépendantes du système veineux. L'ajout de cette séquence peut donc être justifié en cas de lésions atypiques de la substance blanche chez un patient qui a l'âge d'avoir l'une ou l'autre de ces deux affections.
Angiographies par résonance magnétique
De nombreuses séquences permettent d'obtenir des images des vaisseaux artériels et veineux.
Études morphologiques simples
ARM sans injection
Ces études sont fondées sur la vitesse de circulation des vaisseaux (artère ou veine) et sélectionnent les protons du sang circulant rapidement (artères) ou lentement (veines).
Le TOF ( time of flight ) est une séquence 3D avec un contraste T1. Pour des raisons techniques, les coupes doivent être perpendiculaires au flux, ce qui limite son utilisation à des zones de taille moyenne comme les vaisseaux intracrâniens. Comme en T1, les hématomes récents sont en hypersignal et peuvent gêner la visualisation d'une malformation vasculaire si elle est en leur sein. Le TOF est la séquence de base pour toutes les recherches d'anomalie des vaisseaux du polygone (anévrisme, sténose, interruption, malformation artérioveineuse ; voir fig. 2-23).
Le contraste de phase veineux permet une étude des veines sans injection. Ses résultats sont plus aléatoires que celui du TOF, à cause de la variabilité du flux veineux. Une veine non vue n'est pas forcément une veine qui ne circule pas. Il est réservé aux patients chez lesquels on soupçonne une thrombose veineuse cérébrale mais qui ne peuvent pas être injectés, typiquement dans le bilan d'un œdème papillaire de la femme enceinte (fig. 2-30).
ARM avec injection
Les séquences d'ARM des TSA ou des veines encéphaliques associent un temps d'acquisition volumique sans injection (masque) et un temps d'acquisition volumique avec injection par voie intraveineuse, à l'injecteur le plus souvent, au temps artériel ou veineux (3D T1 elliptique). La soustraction permet d'obtenir une étude volumique des vaisseaux opacifiés. L'ARM veineuse avec injection doit toujours être réalisée de préférence à celle non injectée.
L'ARM des TSA diagnostique les sténoses, anévrismes, disparités ou irrégularités pariétales liées à des plaques d'athérome ulcérées des gros vaisseaux. Elle est utile pour : dépister les communications anormales entre veine et artère (fistule, malformation artérioveineuse) ; apprécier la circulation dans une tumeur (opacification au stade précoce d'une tumeur glomique) ; analyser le rétrécissement du vaisseau lié à une dissection carotidienne évoquée devant un syndrome de Claude Bernard-Horner (fig. 2-31
Fig. 2-31
Syndrome de Claude Bernard-Horner révélant une dissection carotidienne gauche sous-pétreuse et intracrânienne.a, b.Hématome (flèches vertes) bien visible en T1 FAT-SAT. c.Faux chenal (flèche bleue) sur l'angioscanner. d.Boucles sous-pétreuses bilatérales et sténose étendue carotidienne gauche (flèche rouge) sur l'ARM des TSA.
) ou à une sténose serrée responsable d'une CMT (voir fig. 2-50). Les indications de l'ARM veineuse sont la recherche de thrombose veineuse et celle de sténose des sinus latéraux en cas de suspicion d'hypertension intracrânienne (HIC) idiopathique (fig. 2-32
Fig. 2-32
Sténose (flèches rouges) des sinus latéraux au cours d’une hypertension intracrânienne idiopathique.ARM veineuse injectée: reconstruction axiale(a) et coronale(b).
). Les radiologues les utilisent de plus en plus pour leur cartographie vasculaire préthérapeutique des malformations artérioveineuses.
ARM dynamiques
Appelées selon les constructeurs 4D track , tricks , twist , les ARM dynamiques apportent, en plus des informations morphologiques, des renseignements sur la cinétique circulatoire de la zone étudiée. Après une séquence sans injection, le produit est injecté par voie intraveineuse et des acquisitions sont répétées sur une zone d'intérêt pendant plusieurs minutes. On peut ainsi visualiser l'opacification progressive des artères, des capillaires et des veines. Ces ARM dynamiques sont très utiles dans le bilan des malformations artérioveineuses, dans la recherche de fistules en particulier carotidocaverneuses (fig. 2-33
Fig. 2-33
Fistule carotidocaverneuse.ARM dynamique: opacification de la veine ophtalmique supérieure (flèches rouges) au temps artériel.
) [9].
Séquence de flux
La séquence de flux permet de repérer les flux circulants. C'est une séquence dynamique avec des acquisitions successives sur laquelle on visualise, outre la présence de liquide, son sens de circulation en faisant défiler les images. Elle est couplée au rythme cardiaque, ce qui implique pour sa réalisation la pose transitoire d'un capteur sur un doigt du patient. Elle est utilisée dans le plan sagittal essentiellement pour vérifier la circulation du LCS dans les suspicions de sténose de l'aqueduc. Celle-ci est parfois liée à une lésion de la région tectale traduite par un syndrome de Parinaud (fig. 2-34
Fig. 2-34
Tumeur pinéale (flèches rouges) en FLAIR(a) et T2 inframillimétrique(b).Obstruction de l'acqueduc de Sylvius (flèches bleus). Traitement par ventriculocisternostomie efficace. Flux bien visible sur la séquence de flux dynamique (c, flèche jaune).
). Elle vérifie la perméabilité d'une ventriculocisternostomie.
Séquences de caractérisation tumorale
On en utilise essentiellement deux types : la perfusion et la spectroscopie par résonance magnétique (SRM).
Perfusions
Les perfusions sont des séquences avec une injection en bolus de produit de contraste et une répétition des acquisitions, permettant en un point donné de la lésion d'analyser le passage du produit de contraste, variable selon la nature du processus lésionnel. Au décours de cette séquence, le logiciel de traitement génère différentes courbes traduisant le flux, le volume sanguin cérébral, le temps d'arrivée du produit.
La perfusion T1 est utilisée pour étudier les tumeurs orbitaires. Ses résultats sont en cours d'évaluation.
La perfusion T2, dans la pathologie encéphalique, différencie la prise de contraste liée à une rupture de la barrière hémato-encéphalique (lésion inflammatoire, abcès, etc.) de celle due à une prolifération de vaisseaux anormaux ou néoangiogenèse (gliome, métastase, etc.).
Il est difficile de l'utiliser sur de très petites lésions (tableau 2-4
Tableau 2-4
Pathologie: quelle séquence ? L'essentiel.
Ce qu'on chercheSéquences utilesSignal:○ =hyper• =hypoExemple
Un saignement aigu (hématome)T1
FLAIR/T2
SWI/T2 EGHétérogène ○ ou •
Un saignement très aigu (premières heures)T1Iso
FLAIR/T2
SWI
Un saignement ancienT2 EG/SWI
Un AVC aiguDiffusion○ + ADC •
FLAIRRAS (<2h) ou○ 
SWIRAS ou • (caillot, sang)
ARM TOFInterruption vasculaire
Une tumeur glialeFLAIRVariable, souvent○ 
T1• ou iso
T1 Gd (perfusion T2)○ Variable
SRM Perfusion T2
Un méningiomeFLAIRVariable, souvent ○
T1 Gd
Si périoptique: coronal T2 ○ Variable
Axial/coronal T1 Gd FAT-SAT
Un abcès cérébralFLAIR, T2○ Avec œdème ±•en cocarde (sang) 
T1 Gd○ en cocarde
Diffusion○ avec ADC •
Une thrombose veineuse=saignement aigu+anomalies veineuses ARM veineuseImage de veine mal ou non remplie
T1
FLAIR
SWI/T2 EGHétérogène•
Une lésion d'un nerf de l'oculomotricité (III, IV, VI)3D T2 HRNerf dévié, comprimé
TOFAnévrisme
T1 Gd FAT-SAT○ ou RAS
Coronal T2 fin (SC)+étude encéphale • (Fibrose) ou ○
Une inflammation (NOInfl, granulomatose, orbitopathie dysimmunitaire)T2 ±FASAT 
T1 Gd FAT-SAT○ si aigu
FLAIR
Un abcès orbitaireT2 Dixon
T1 Gd (FAT-SAT si orbite)○ en cocarde
Diffusion○ avec ADC •
ADC:  ; ARM: angiographie par résonance magnétique ; AVC: accident vasculaire cérébral ; BBS: maladie de Besnier-Boeck-Schaumann ou sarcoïdose ; EG: écho de gradient ; Fat-SAT:  ; FLAIR: Gd: gadolinium ; HR: haute résolution ; Iso: iso-intense ; NOInfl: neuropathie optique inflammatoire ; RAS: rien à signaler ; SC: sinus caverneux ; SRM: spectroscopie par résonance magnétique ; SWI:  ; TOF: .
).
SRM
La SRM analyse les métabolites contenus dans le tissu pathologique et permet de savoir s'il y a une destruction neuronale, une prolifération cellulaire, une nécrose, etc. Elle est peu spécifique mais apporte des éléments diagnostiques pour les lésions difficiles à caractériser (tableau 2-4).
L'avenir
Les progrès des performances de l'imagerie reposent sur trois points.
Évolution des rapports humains
Les cliniciens sont de plus en plus sensibilisés à l'apport de l'imagerie dans la démarche diagnostique, le choix thérapeutique et la surveillance des patients. Avec la généralisation des PACS ( picture archiving and communicating system ), outils de sauvegarde et de diffusion des examens, l'accès aux images, parfois en temps réel, et la diffusion du compte rendu facilitée par les outils de communication, une nouvelle relation clinicien-radiologue se développe, plus facile et centrée sur le dialogue. L'augmentation du nombre des indications et des prescriptions joue également un rôle important dans cette évolution relationnelle. Il en résulte une demande de formation des radiologues, pour optimiser la réalisation d'examens contributifs, et des cliniciens, pour mieux comprendre les examens et en être partiellement les acteurs.
Apparition de nouvelles séquences
Séquences 3D
Sur les IRM 1,5T mais surtout 3T, ces séquences T1, FLAIR, T2 et diffusion 3D sont de plus en plus utilisées. Elles sont isotropiques, ce qui permet d'avoir des reconstructions de très bonne qualité et d'améliorer la visualisation des structures normales et pathologiques et de leurs rapports. Outre leur intérêt en imagerie diagnostique, elles sont utilisées par les logiciels de neuronavigation pour optimiser l'efficacité et l'innocuité d'un trajet opératoire ou de biopsie en neurochirurgie assistée par robot.
Parmi ces séquences, le 3D T1 injecté « sang noir » a un intérêt particulier en neuro-ophtalmologie. En effet, en supprimant l'hypersignal du sang, il permet de visualiser un éventuel épaississement et une prise de contraste des parois artérielles évoquant une artérite. Devant une NOIA aiguë, une paralysie oculomotrice ou un trouble visuel transitoire chez un sujet âgé, il est utilisé dans la recherche d'arguments pour une maladie de Horton (fig. 2-35
Fig. 2-35
Maladie de Horton: 3D T1 injecté «sang noir ».Reconstruction axiale(a) et agrandissement(b). Épaississement de la paroi artérielle (ronds rouges, flèche rouge), veine temporale (flèche bleue).
).
Acquisitions orbitaires dynamiques
Ces acquisitions consistent à réaliser des séquences d'IRM très rapides et répétées pendant que le patient bouge les yeux et pourraient aider à la compréhension de troubles oculomoteurs complexes en montrant le jeu des muscles. Elles sont souvent artefactées et actuellement non utilisées en pratique courante.
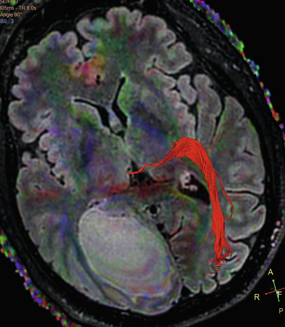
Tracking de fibres
Cette technique est utilisée depuis plusieurs années pour détecter des faisceaux de fibres de substance blanche, comme le faisceau corticospinal [10]. Elle repose sur le traitement informatique d'une séquence de diffusion avec une acquisition des images dans de nombreuses directions (32 à 64 dans le travail de l'équipe de Bertani)[11]. Le temps de séquence est d'environ 8 minutes mais peut aller jusqu'à 30 minutes. Le travail de reconstruction, long et complexe, est fait par le radiologue sur une console avec un logiciel dédié. Il consiste à «capter » les fibres allant d'un point à un autre. La tractographie des voies optiques se fait le plus souvent de manière fractionnée (nerf optique, tractus optiques, radiations optiques). Elle est très utile par exemple avant la chirurgie d'une lésion située sur le trajet des voies visuelles postérieures, dans le choix d'une voie d'abord qui les épargnera, quand ce trajet peut être repéré, ce qui n'est pas toujours le cas (fig. 2-36
Fig. 2-36
Tumeur occipitale droite: tractographie.Pas de repérage possible des radiations optiques droites. Voies visuelles postérieures bien visibles à gauche.
Source: C.Delmaire.
). Les essais de visualisation de petits faisceaux sont parfois décevants et restent difficiles en routine. Leur apport diagnostique est encore en cours d'étude (fig. 2-37
Fig. 2-37
Exemples de tracking de fibre.Image globale des faisceaux(a) du nerf optique (rouge) ; (b) du nerf optique (bleu) et des tractus optiques (mauves) ; (c) voies visuelles rétrochiasmatiques (jaune) ; (d) tractus jusqu'au noyau géniculé (jaune) et radiations optiques (vert).
Source: C.Delmaire.
et 2-38
Fig. 2-38
Tracking de fibre: nerfs optiques, atrophie optique gauche.
Source: C.Delmaire.
).
Nouveaux logiciels de traitement
Mesures volumiques
Réalisées à partir d'acquisitions 3D, les mesures volumiques sont plus précises que les mesures en 2D et améliorent le suivi des tumeurs, surtout lorsque celles-ci ont des limites irrégulières, comme certains méningiomes. Ce calcul peut être compliqué par la présence de structures normales adjacentes à la lésion et de même signal (prise de contraste de la tumeur et vaisseaux ou os) qui peuvent être inclues involontairement par le logiciel dans le volume mesuré.
Coregistration-fusion
Cette technique consiste à superposer deux séquences 3D identiques, réalisées à des dates différentes chez un même patient et à mettre en exergue les modifications entre les deux examens.
Un mot sur les enfants
L'IRM est une exploration à privilégier chez l'enfant. Le problème principal posé est celui des artefacts de mouvement voire de l'impossibilité de faire accepter l'examen à l'enfant.
De plus en plus, on propose des méthodes pour que l'examen soit réalisé sans médication. La prise en charge rassurante des parents et de l'enfant par le prescripteur est la première étape indispensable. Une fois l'enfant et ses accompagnants dans le service d'imagerie, on utilise des techniques de « détournement d'attention ». Elles sont multiples: l'hypnose conversationnelle, à laquelle les enfants sont très sensibles ; les petits déguisements pour transformer l'examen en un voyage dans l'espace ou au royaume des fées ; dans la salle d'attente l'IRM en jeu, mini-machine d'IRM faisant du bruit, essayée par l'enfant qui reçoit un diplôme avant le véritable examen. L'utilisation de matériel de visualisation de films (lunettes amagnétiques ou rétroprojection sur un miroir fixé sur l'antenne) pendant l'examen, de casque antibruit relié à de la musique choisie par l'enfant favorise le calme et la tolérance de l'enfant (fig. 2-39
Fig. 2-39
Lunettes amagnétiques pour projection de films.
). Avec ces types de prises en charge, on note une nette diminution du recours aux anesthésiques ou calmants avec une qualité d'examen exploitable dans la majorité des cas.
Bien sûr, certaines pathologies ou certains enfants justifient et imposent la réalisation d'un examen avec sédation, souvent dans les centres d'imagerie pédiatrique, voire sous anesthésie générale, dans un centre ayant une équipe d'anesthésistes et du matériel de surveillance non magnétique.
Vers un examen idéal
En pratique, comment faire pour que l'examen IRM soit le meilleur possible ? Une fois admis que l'examen va être techniquement de bonne qualité, il faut être sûr qu'il réponde bien à l'interrogation du clinicien. Pour cela, plusieurs conditions doivent être remplies :
  • la prescription doit exprimer clairement ce que le clinicien recherche, dans un langage compréhensible pour le radiologue : par exemple, «baisse visuelle droite, recherche de compression du nerf optique » ou encore «ptosis et myosis gauches d'apparition brutale avec céphalées, éliminer une dissection carotidienne ». Cette condition est facilement réalisable en théorie ;
  • le radiologue doit comprendre la prescription et connaître un minimum d'anatomie. Si dans les centres habitués à la pathologie ophtalmologique, cette condition est généralement remplie, c'est différent en dehors de ceux-ci, notamment si le patient fait son examen dans un centre d'imagerie généraliste sans neuroradiologue. Idéalement, le travail du clinicien sera de prendre contact avec le radiologue en charge de la vacation pour lui expliquer ce qu'il cherche, et ensuite le « fidéliser », par exemple en lui donnant des nouvelles de ses patients pour avoir un «spécialiste » de l'imagerie ophtalmologique référent. Nous voyons, comme développé précédemment, l'importance des relations confraternelles, à l'heure où l'intelligence artificielle pointe son nez ;
  • le clinicien doit non seulement lire le compte rendu mais aussi regarder les images à la lumière de ce compte rendu, pour savoir si cet examen répond à la question posée ou s'il manque des séquences. Il doit faire cette analyse particulièrement lorsque le résultat de l'imagerie et son impression clinique sont discordants. Par exemple, il devra vérifier que des séquences centrées sur le nerf optique en coupes fines ont été réalisées s'il trouve une atrophie majeure au fond d'œil et que le radiologue dans sa conclusion parle de nerfs optiques normaux.
Quel examen pour quelle pathologie ?
Nous vous proposons un récapitulatif de ce qui doit se trouver dans la pochette que le patient apporte après son examen d'imagerie, en insistant sur les séquences qui ne doivent pas manquer. Chaque situation clinique est illustrée par un exemple typique [12].
Troubles visuels
Baisse visuelle unilatérale progressive
Une baisse visuelle progressive, pour laquelle le patient consulte ou mise en évidence chez un patient asymptomatique, a de nombreuses causes.
Si elle est rapide, chez une femme jeune, associée à une dyschromatopsie, un scotome central, des douleurs à la mobilisation du globe, c'est a priori une névrite optique.
L'examen à demander est une IRM pour rechercher des signes d'inflammation du nerf optique et des anomalies encéphaliques voire médullaires évocatrices de pathologie inflammatoire : SEP surtout mais aussi sarcoïdose [13], maladie de Devic, névrite à anti-MOG ( myelin oligodendrocytes glycoprotein ), etc. (fig. 2-40
Fig. 2-40
Exemples de maladie de Devic.a, b.Névrite optique bilatérale aiguë (flèches rouges) en T2(a) et T1 injecté FAT-SAT(b). c.Névrite optique droite (flèche bleue) en T1 injecté FAT-SAT. d, e.Lésions en hypersignal FLAIR de l'area postrema (d, flèche jaune) et de la substance blanche(e). f, g.Atteinte médullaire en T2(f) et T1 injecté(g).
et voir fig. 2-22)[ 14–18 ].
Si elle est lente, indolore, avec une atrophie optique ou un œdème au fond d'œil, la compression doit être recherchée de principe. La cause la plus fréquente de cette compression est un méningiome développé soit aux dépens de la méninge intracrânienne (jugum, clinoïde, diaphragme sellaire), soit à partir des méninges périoptiques autour du nerf optique intraorbitaire.
Plus rarement, il s'agit d'une infiltration du nerf par un processus tumoral : gliome (fig. 2-41
Fig. 2-41
Gliome volumineux (flèches rouges) en T1 injecté FAT-SAT(a) et T2(b), et plus petit (flèches bleues) touchant le nerf optique gauche et le chiasma en T2(c, d).
), surtout chez l'enfant ou l'adulte entre 60 et 70 ans ; leucémie (fig. 2-42
Fig. 2-42
Infiltration du nerf optique gauche par une leucémie (flèches rouges).Gros nerf optique, décollement de rétine enT2(a), hypersignal diffusion(b) et hyposignal ADC(c).
) ; lymphome, plus rarement.
Si l'anomalie mise en évidence lors de votre examen est surtout une atteinte du champ visuel, et qu'au fond d'œil il existe une excavation papillaire, le radiologue recherchera des arguments pour un glaucome à pression normale. Le meilleur argument en imagerie est une atrophie du chiasma avec un chiasma plat (fig. 2-43
Fig. 2-43
Glaucome à pression normale en T2(a) et T2 FAT-SAT(b).Chiasma plat (flèche rouge), excavation papillaire bilatérale (flèches bleues).
).
Vous devez donc avoir dans la pochette du patient une étude des voies visuelles antérieures par des coupes T2 fines centrées dans le plan coronal, parfois faites avec FAT-SAT, des coupes fines T1 injecté avec FAT-SAT ou Dixon, coronales et axiales. Elle doit être complétée au minimum par des coupes axiales ou 3D FLAIR, des coupes axiales ou 3D T1 avec injection étudiant l'encéphale (fig. 2-44
Fig. 2-44
Névrite optique droite aiguë (flèches rouges) en hypersignal T2(a) prenant le contraste en T1 injecté FAT-SAT(b).Elle est révélatrice d'une sclérose en plaques avec lésions en hypersignal FLAIR(c) dont une lésion active rehaussée (flèches bleues) en T1 injecté (d).
). La diffusion est utile pour rechercher une complication du traitement immunosuppresseur (leucoencéphalopathie multifocale progressive ou LEMP), caractériser les infiltrations (le lymphome restreint la diffusion et est en franc hyposignal sur la séquence ADC). Les autres séquences éventuelles n'ont pas beaucoup d'intérêt. Le radiologue aura parfois fait une séquence SWI, utile dans les cas de doute devant une lésion en hypersignal FLAIR entre lésion vasculaire et SEP (la veine, bien visible en SWI, centre la plaque de SEP).
L'injection n'est pas systématique. Si le patient est âgé, qu'il existe une atrophie optique évidente avec un nerf optique bien visible sans lésion compressive, elle n'est pas obligatoire (fig. 2-45
Fig. 2-45
a–c.Atrophie optique gauche en T2 touchant l'ensemble du nerf (flèches rouges). Hypersignal lié à la perte de fibres, non spécifique.
).
Baisse visuelle brutale
Si cette baisse visuelle suit un traumatisme facial, l'examen à réaliser en priorité est un scanner sans injection pour rechercher des lésions osseuses expliquant la clinique [19].
Vous devez donc avoir dans la pochette du patient un scanner sans injection centré sur les orbites avec des reconstructions axiales, coronales et sagittales montrant à la fois les parties molles et l'os en haute résolution (fig. 2-46
Fig. 2-46
Baisse visuelle à perception lumineuse (PL) à gauche post-traumatique.Fracture du canal optique (flèches rouges) dans les plans axial(a) et coronal(b).
). L'IRM peut avoir une indication lorsque le scanner est normal et rechercher une lésion du nerf optique. La fracture se traduit par une image linéaire perpendiculaire à l'axe du nerf, siégeant près de l'apex (fig. 2-47) [20].
Dans un contexte non traumatique, cette baisse visuelle brutale traduit a priori une atteinte vasculaire. S'il existe un déficit altitudinal associé à un œdème papillaire, elle évoque une NOIA aiguë et peut justifier la réalisation d'une IRM encéphalique avec un protocole de type vasculaire en cas de suspicion d'artérite à cellules géantes, de trouble visuel transitoire précédant la baisse visuelle ou de doute diagnostique. Cet examen pourra exceptionnellement mettre en évidence l'ischémie de la papille en diffusion (fig. 2-48
Fig. 2-48
Ischémie de la tête du nerf optique (flèches rouges) en diffusion(a) et ADC(b).
).
Un cas particulier est représenté par les neuropathies optiques ischémiques postérieures, compliquant en particulier la chirurgie du rachis (fig. 2-49
Fig. 2-49
Ischémie postopératoire (hernie discale) du nerf optique gauche (flèches rouges) en hypersignal diffusion(a), avec ADC bas(b).
). Le bilan d'imagerie éventuel est centré sur le nerf optique pour éliminer une autre cause.
Vous devez donc avoir dans la pochette du patient des séquences FLAIR (2D ou 3D), diffusion, SWI ou T2 EG, une étude du polygone en TOF, et dans certains centres une ARM des TSA et une étude encéphalique T1 après injection (2D ou 3D). Il est conseillé mais pas obligatoire de faire des coupes T2 sur les voies optiques antérieures afin d'éliminer formellement une pathologie autre.
Si la baisse visuelle est transitoire, unilatérale, voire répétée, c'est une cécité monoculaire transitoire. Elle fait craindre une sténose carotidienne serrée, et vous devez demander en urgence une imagerie centrée sur les carotides. Cette sténose est dépistée au mieux par un angioscanner (qui permet de grader le degré de sténose grâce à l'indice NASCET pour North American Carotid Endarterectomy Trial ), sinon par une EDC (qui n'explore pas la carotide interne sous-pétreuse) ou une ARM des TSA (qui ne grade pas la sténose). Cette dernière est généralement complétée par un protocole encéphalique de type vasculaire (fig. 2-50
Fig. 2-50
Cécité monoculaire transitoire droite.a, d.Sténose très serrée carotidienne droite (flèches rouges) en ARM des troncs supra-aortiques(a) et angioscanner(d). b, c.Accidents ischémiques récents droits (flèches bleues) en diffusion(b) et ADC(c). e.Pièces opératoires (endartériectomie le lendemain de l'IRM).
) [21].
Œdème papillaire
Si l'œdème papillaire est bilatéral, il fait craindre une HIC, surtout si la vision est conservée et qu'il est associé à des céphalées, des éclipses visuelles et des acouphènes [22]. S'il est lié à une tumeur, celle-ci sera étudiée avec en particulier une séquence de perfusion T2, voire une spectro-IRM (fig. 2-51
Fig. 2-51
Caractérisation d'un gliome de bas grade.a.SRM. b.FLAIR. c.T1 injecté. d.Perfusion T2. e.SWI. f.ADC.
). L'œdème papillaire (OP) unilatéral peut aussi révéler une pathologie du nerf optique ischémique, compressive, voire inflammatoire (névrite optique à anti-MOG, par exemple ; voir fig. 2-22). Un bilan d'imagerie négatif doit faire évoquer un faux œdème, lié en particulier à des drusen, bien détectées en échographie ou, si elles sont calcifiées, en scanner voire en IRM sur les séquences SWI (voir fig. 2-29). Soulignons par ailleurs qu'une saillie papillaire avec un faux œdème est décrite dans les maladies de Leber [23].
Vous devez donc avoir dans la pochette du patient une étude encéphalique avec des séquences FLAIR, voire une séquence diffusion, et selon ce que les premières images auront montré :
  • un bilan de tumeur comprenant une séquence de perfusion T2, des coupes 3D ou axiales T1 injecté, des coupes T2 EG ou SWI et si l'examen est réalisé dans un centre spécialisé, une SRM ;
  • un bilan de thrombose veineuse comprenant des coupes d'angio-IRM veineuse injectée, des coupes 3D ou axiales T1 injecté, des coupes T2 EG ou SWI (voir fig. 2-30).
Cas particulier   : le bilan d'une possible HIC idiopathique est celui d'une recherche de thrombose veineuse auquel on ajoute des coupes coronales T2 fines centrées sur les voies optiques antérieures à la recherche d'un élargissement des espaces périoptiques, de signes de souffrance (hypersignal T2 des nerfs) et d'une arachnoïdocèle intrasellaire (fig. 2-52
Fig. 2-52
Hypertension intracrânienne idiopathique en T2 (a, c, d) et T2 FAT-SAT(b).Dilatation des espaces périoptiques (flèches bleues) et autour des III (flèche verte). Arachnoïdocèle intrasellaire (flèche rouge). Évolution visuelle défavorable avec apparition d'un hypersignal T2 des nerfs optique (flèches jaunes).
). L'ARM veineuse montre des sténoses bilatérales des sinus latéraux (voir fig. 2-31) [23,24].
Anomalie du champ visuel
Hémianopsies bitemporales
Les hémianopsies bitemporales sont liées, dans l'immense majorité des cas, à une compression chiasmatique par une tumeur : macroadénome hypophysaire ou méningiome, plus rarement craniopharyngiome. Les atteintes chiasmatiques primitives, tumorales ou inflammatoires sont beaucoup plus rarement à l'origine de ce trouble.
Vous devez donc avoir dans la pochette du patient des coupes coronales T2 fines centrées sur les voies optiques antérieures explorant aussi la région hypophysaire (et donc le chiasma qui la surplombe), et complétées par des séquences choisies en fonction de la nature de la lésion.
Si la lésion est un méningiome, le radiologue aura réalisé une étude encéphalique 3D ou axiale FLAIR et T1 avec injection (souvent en écho de gradient, détectant très bien les prises de contraste extraparenchymateuses). Cette dernière permet de faire le bilan du méningiome et d'en rechercher d'autres. Rappelons qu'un facteur favorisant le développement de ces lésions est la prise prolongée d'acétate de cyprotérone (Androcur®) et possiblement de chlormadinone (Lutéran®) et nomégestrol (Luthényl®). Au mieux, si le méningiome est développé au contact des voies visuelles antérieures, il aura également fait une séquence axiale T1 injecté FAT-SAT ou Dixon centrée sur cette lésion pour explorer son éventuelle extension antérieure vers l'orbite (fig. 2-53
Fig. 2-53
Méningiome du jugum en T1 injecté(a), T2 (b, c).Extension vers les canaux optiques (flèches bleues). Hypophyse sous-jacente bien visible (flèche rouge), différenciant le méningiome d'un macroadénome.
).
Si la lésion est un macroadénome ou un craniopharyngiome, il aura centré son étude sur la lésion par coupes coronales voire sagittales T1 fines sans injection, puis après injection, et éventuellement complété par une étude encéphalique FLAIR et T1 injecté (fig. 2-54
Fig. 2-54
Macroadénome comprimant le chiasma (flèches bleues).
et voir fig. 2-13).
Si, sur les premières coupes fines, une lésion intrinsèque chiasmatique a été mise en évidence, le radiologue aura fait une exploration encéphalique comprenant FLAIR et étude T1 injecté, et l'aura complétée en fonction des premières séquences.
Rarement, l'exploration encéphalique et des voies visuelles est négative. Il faut alors penser à regarder les globes oculaires sur des coupes axiales (le T1 par exemple) car cette hémianopsie bitemporale, qui ne respecte en règle pas le méridien vertical, peut être liée à la modification de morphologie et d'orientation des globes chez un myope fort. Les globes sont alors allongés, déformés et leur axe parfois discrètement dévié vers le dedans (fig. 2-55
Fig. 2-55
Fausse hémianopsie bitemporale (HBT) sans respect du méridien vertical chez un myope. Insertion oblique de la tête du nerf optique.Ectasie du secteur nasal des globes et amincissement de la paroi de sa portion postérieure (flèches bleues) ; aplatissement de la partie temporale des globes (flèches rouges).
) [25].
Hémianopsies latérales homonymes
Les hémianopsies latérales homonymes sont liées à des lésions situées sur le trajet des voies visuelles en arrière du chiasma, controlatérales au trouble du champ visuel. Leurs causes sont très nombreuses et leur recherche en imagerie est orientée par la clinique. Les coupes centrées sur les voies visuelles antérieures sont inutiles. En revanche, il faut une bonne exploration de l'encéphale sur tout le trajet pariétal, temporal et occipital des radiations optiques.
Devant une HLH d'apparition progressive, il faut évoquer une tumeur, une inflammation.
Vous devez donc avoir dans la pochette du patient au minimum une exploration encéphalique, comprenant des séquences FLAIR, et une étude T1 injecté. Bien entendu, si le radiologue a trouvé sur les premières images une anomalie évocatrice de tumeur intraparenchymateuse (gliome, métastase, etc.), il aura au mieux injecté en séquence de perfusion T2 et aura ajouté au protocole une étude en diffusion pour apprécier la cellularité de la tumeur et un T2 EG ou un SWI pour regarder s'il y a des saignements et des calcifications (voir fig. 2-51).
Si elle est brutale, on recherche un accident ischémique, un hématome.
Vous devez donc avoir dans la pochette du patient un protocole de type vasculaire, comme nous l'avons déjà vu pour les baisses visuelles brutales, comprenant des séquences FLAIR, diffusion, T2 EG ou SWI et une ARM TOF, voire une ARM des TSA avec ensuite une étude encéphalique T1 3D ou axiale. Si les premières séquences ont montré un hématome, nous nous retrouvons dans le cas de l'OP avec hématome.
Rarement, l'exploration encéphalique est négative. Il peut s'agir d'une atteinte du tractus, petite structure pas toujours correctement explorée par ces protocoles encéphaliques. Dans ce cas, le radiologue aura fait des coupes fines sur le chiasma et les tractus. Si elles ne sont pas dans le dossier, il faudra lui demander s'il a regardé cette zone (fig. 2-56
Fig. 2-56
a.Hémianopsie latérale homonyme gauche par atrophie du tractus droit en T2 (flèche bleue). b, c.Hémianopsie latérale homonyme droite par lésion inflammatoire (sclérose en plaques) du tractus gauche (flèches rouges) en T2(b) et T1 injecté(c).
).
Troubles oculomoteurs
De nombreux troubles oculomoteurs nécessitent la réalisation d'une imagerie, parfois en extrême urgence. Celle-ci repose surtout sur l'IRM.
Troubles oculomoteurs congénitaux
Même si le tableau clinique est spectaculaire, l'IRM est souvent décevante. Elle est réalisée pour orienter la chirurgie orbitaire ou, si le tableau clinique est atypique, pour vérifier l'absence d'anomalie sur le trajet des nerfs de l'oculomotricité.
Vous devez donc avoir dans la pochette du patient au minimum une étude encéphalique souvent en FLAIR, coupes 3D ou axiales, pour regarder le tronc cérébral, des coupes fines coronales T2, voire axiales T2 si les problèmes touchent les muscles horizontaux, centrées sur la totalité des orbites et les sinus caverneux. Si le radiologue connaît bien la pathologie orbitaire, les coupes réalisées dans le cadre d'une atteinte de l'oblique supérieur seront perpendiculaires au toit de l'orbite, c'est-à-dire dans l'axe perpendiculaire à celui du muscle (fig. 2-57
Fig. 2-57
Atrophie de l'oblique supérieur droit enT2 (flèche bleue).
) [26,27]. Les coupes T2 peuvent être réalisées en T2 simple ou en T2 Dixon, ce qui, comme nous l'avons vu, permet d'avoir une exploration sans et avec suppression du signal de la graisse. Si nécessaire, comme dans un bilan de maladie de Stilling-Duane, on complétera l'exploration par des coupes T2 inframillimétriques centrées sur le trajet intracisternal des nerfs de l'oculomotricité afin de dépister une agénésie d'un VI (fig. 2-58
Fig. 2-58
Agénésie du VI gauche en T2 inframillimétrique. VI droit normal (flèche rouge).
). L'injection est le plus souvent inutile. Bien entendu, si les premières coupes mettent en évidence une pathologie particulière (tumeur, lésion d'allure vasculaire), un complément sera fait par le radiologue.
Trouble oculomoteur acquis et orbitopathie
Il peut s'agir d'un bilan au cours d'une affection connue, comme une orbitopathie dysimmunitaire, ou de l'exploration d'un trouble oculomoteur associé à des signes orbitaires Vous aurez donc demandé une IRM orbitaire.
Vous devez avoir dans la pochette du patient des coupes fines centrées sur les orbites, en T1 sans FAT-SAT (axiales ou coronales), T2 ou T2 Dixon, diffusion et éventuellement des coupes T1 avec injection et FAT-SAT ou des coupes T1 Dixon. Si les premières séquences ont montré un processus d'allure vasculaire, le radiologue pourra avoir ajouté une ARM TOF, une ARM veineuse, voire une ARM dynamique si les anomalies l'ont orienté vers une fistule durale du sinus caverneux. Si vous avez évoqué le diagnostic de varice orbitaire, il devra avoir recherché celle-ci par une séquence réalisée en procubitus, généralement le T1 injecté FAT-SAT. Il est particulièrement important de vérifier, si vous soupçonnez une atteinte inflammatoire, que des coupes T2 FAT-SAT ont été faites (voir fig. 2-27et 2-32).
Diplopie brutale
La diplopie apparue immédiatement au décours d'un traumatisme facial est une urgence et fait rechercher une incarcération musculaire, surtout du droit inférieur, qui touche essentiellement les enfants et les adolescents et justifie la réalisation immédiate d'un scanner sans injection. Les reconstructions inframillimétriques en fenêtre osseuse dans le plan coronal sont indispensables pour mettre en évidence la fracture. Les coupes parenchymateuses analysent le trajet du muscle droit inférieur qui est intra-orbitaire puis intrasinusien, formant une image arrondie « en goutte » appendue sous le plancher orbitaire (fig. 2-59
Fig. 2-59
Fracture du plancher droit en fenêtres osseuse(a) et parenchymateuse(b).Fracture (flèche rouge) et muscle droit inférieur incarcéré «en goutte » (flèche bleue).
)[28].
Si elle est associée à des céphalées et qu'on craint un hématome, le scanner peut suffire.
Il est le seul examen à faire en extrême urgence lorsque la diplopie est due à un III complet ou partiel, avec ou sans mydriase de survenue brutale dans un contexte de céphalées intenses, car il peut s'agir d'une rupture d'anévrisme au contact du III et chaque seconde compte (transfert du patient en SAMU). Si vous avez raison, le scanner montrera une hémorragie méningée sous-arachnoïdienne (HSA) et l'angioscanner confirmera le diagnostic d'anévrisme. La prise en charge sera alors faite en service de neuroradiologie interventionnelle (traitement) et en réanimation (surveillance et prise en charge des éventuelles complications de l'HSA) (fig. 2-60
Fig. 2-60
III droit aigu avec céphalées violentes.a.Hémorragie méningée hyperdense en scanner (flèches jaunes). b, c.Anévrisme de la communicante postérieure en angioscanner (b, flèche bleue), confirmé par l'artériographie (c, flèche rouge). d, e.Contrôle post-embolisation(d) par coils (e, flèches vertes).
). De très rares cas d'anévrismes postérieurs sans mydriase sont décrits [29]. Ceci justifie la réalisation systématique d'une ARM TOF dans un bilan d'atteinte du III.
Dans les autres cas, cette diplopie fait rechercher, comme tout tableau neurologique brutal, une lésion vasculaire ischémique ou hémorragique. L'imagerie repose avant tout sur une IRM en urgence, qui seule permet de diagnostiquer un accident vasculaire du tronc en projection du noyau d'un nerf de l'oculomotricité.
Vous devez donc avoir dans la pochette du patient le protocole vasculaire, c'est-à-dire des coupes encéphaliques en FLAIR, T2 EG ou SWI, une diffusion et une ARM TOF, voire une ARM des TSA et une séquence T1 injecté. Si l'exploration encéphalique n'a pas mis en évidence d'anomalie expliquant les symptômes, le radiologue aura fait idéalement une séquence coronale T2 étudiant les orbites et les sinus caverneux et éliminant une autre cause à la diplopie (fig. 2-61et2-62
Fig. 2-61
III droit aigu. Ischémie du noyau du III droit (flèches rouges) en diffusion(a) et ADC(b).
Fig. 2-62
a.Cavernome sur le noyau du III en T2 EG (flèche jaune). b, c.Cavernome hémorragique sur le noyau du VI enT1 (b, flèche bleue) et en SWI (c, flèche rouge).
).
Point particulier   : lorsque le scanner fait en urgence devant un tableau de III aigu avec signes d'hémorragie méningée ne trouve pas d'HSA ni d'anévrisme, il faut penser à une nécrose de macroadénome hypophysaire avec extension vers le III, qui chemine à la partie haute du sinus caverneux. Ce diagnostic repose alors sur une IRM centrée sur le trajet des III. Faire ce diagnostic est capital, car cette nécrose peut se compliquer d'insuffisance surrénalienne aiguë mortelle sans traitement substitutif.
Vous devez donc avoir dans la pochette du patient les mêmes séquences que pour l'exploration du macroadénome, c'est-à-dire des coupes fines sagittales et coronales T1, coronales T2 et coronales et sagittales T1 après injection centrées sur la région hypophysaire (fig. 2-63).
Dans le cas particulier d'un ptosis sans trouble oculomoteur, associé à un myosis, la notion de douleur est synonyme de syndrome de Claude Bernard-Horner jusqu'à preuve du contraire et l'imagerie a pour but de faire le diagnostic de dissection et d'hématome péricarotidien. Idéalement, il faudra faire une IRM avec des séquences en 2D ou 3D T1 FAT-SAT ou Dixon centrées sur tout le trajet de la carotide interne [30]. L'angioscanner reste un très bon examen diagnostique, mais ne permet pas, quand le diagnostic est confirmé, de dépister les éventuelles complications ischémiques [31,32].
En l'absence de douleur, outre à la dissection, il faudra penser aux autres causes de compression du sympathique et réaliser une IRM encéphalique, un scanner cervicothoracique, voire une IRM médullaire cervicodorsale.
Diplopie progressive
Cette diplopie fait craindre une compression sur le trajet d'un ou plusieurs nerfs oculomoteurs, une lésion infiltrante. L'exploration doit analyser l'ensemble du trajet du ou des nerfs incriminés et les orbites, sachant que l'atteinte de plusieurs nerfs est évocatrice de pathologie du sinus caverneux ou de maladie inflammatoire (granulomatose) [ 33–36 ] et qu'une atteinte du VI non régressive fait rechercher avec soin une compression du nerf par atteinte de la base du crâne (méningiome, lésion osseuse, lésion du sinus sphénoïdal) ou dans le sinus caverneux (par exemple, compression par un anévrisme carotidien sus-jacent au nerf) [3].
Vous devez donc avoir dans la pochette du patient des coupes encéphaliques FLAIR, qui visualisent bien en particulier le tronc cérébral, des coupes fines T2 inframillimétriques centrées sur le trajet intracisternal des nerfs, des coupes fines coronales T2 étudiant les orbites et les sinus caverneux et le plus souvent des coupes T1 après injection 3D ou axiales. Si la diplopie est liée à une atteinte du III, on réalise avant l'injection une ARM TOF pour vérifier l'absence d'anévrisme compressif. S'il s'agit d'un VI, on ajoute généralement des coupes axiales fines T1 avec FAT-SAT ou Dixon sur la base du crâne pour éliminer les hypersignaux spontanés liés à la richesse en os et graisse de cette zone gênant la détection des prises de contraste et mieux voir une lésion compressive ( fig.2-64, fig.2-65, fig.2-66
Fig. 2-66
VI gauche. Métastase de l'apex pétreux gauche (flèches rouges) en T1 injecté FAT-SAT(a), T2 inframillimétrique(b) scanner(c).
).
Troubles de l'oculomotricité conjuguée
Ces troubles traduisent une atteinte du tronc cérébral protubérantielle (atteinte de l'horizontalité), mésencéphalique (atteinte de la verticalité, syndrome de Parinaud) ou de la partie postérieure du tronc cérébral entraînant une ophtalmoplégie internucléaire (fig. 2-67
Fig. 2-67
Syndrome de Parinaud.a, b.Accident ischémique cérébral postérieur droit récent en diffusion (flèches bleues).
et 2-68
Fig. 2-68
Ophtalmoplégie internucléaire au cours d'une sclérose en plaques.Lésion du faisceau longitudinal postérieur (flèche bleue).
). Là encore, l'exploration idéale est une IRM.
Vous devez donc avoir dans la pochette du patient des coupes encéphaliques FLAIR, qui visualisent bien en particulier le tronc cérébral, des coupes diffusion si le trouble est de survenue brutale, des coupes T2 EG ou SWI, car parmi les lésions fréquentes du tronc cérébral, il faut penser aux cavernomes, souvent vus seulement sur ces deux séquences (voir fig. 2-62). En fonction des premières images, le radiologue pourra avoir ajouté une séquence T1 avec injection et une séquence de flux s'il existe une tumeur de la région tectale (voir fig. 2-63).
Bibliographie
[1]
Héran F., Lafitte F., Imagerie en ophtalmologie pour les radiologues, Œil, orbite, vision, oculomotricité, 2018, Elsevier Masson Issy-les-Moulineaux, 304.
[2]
Vignal-Clermont C., Miléa D., Tilikete C., Neuro-ophtalmologie, 2016, Elsevier Masson Issy-les-Moulineaux, 320.
[3]
Héran F., Lafitte F., I.R.M. pratique en neuroradiologie, 2013, Elsevier Masson Issy-les-Moulineaux, 496.
[4]
Héran F., Koskas P., Vignal C., Nerf optique. Encycl Méd Chir, Ophtalmologie, 2010, Elsevier Paris, ; 21-008-A-10
[5]
Rybicki F.J., Fast three-point Dixon MR imaging of the retrobulbar space with low-resolution images for phase correction: comparison with fast spin-echo inversion recovery imaging, AJNR Am J Neuroradiol 2001; 22 : 1798 - 1802.
[6]
Lafitte F., Imagerie de l'orbite. Encycl Méd Chir, Ophtalmologie, 2013, Elsevier Paris, 1 - 24. ; 21-050-A-10
[7]
Hodel J., Rodallec M., Gerber S., et al. Séquences IRM «, J Neuroradiol 2012; 39 : 71 - 86.
[8]
Rott D., Leibowitz D., Optic nerve head, Eur J Intern Med 2009; 20 : e112 - e113.
[9]
Henderson A.D., Miller N.R., Carotid-cavernous, Eye (Lond) 2018; 32 : 164 - 172.
[10]
Yoshino M., Abhinav K., Yeh F.C., et al. Visualization of cranial nerves using high-definition, Neurosurgery 2016; 79 : 146 - 165.
[11]
Bertani G.A., Bertulli L., Scola E., et al. Optic radiation diffusion tensor imaging tractography: an alternative and simple technique for the accurate detection of Meyer's loop, World Neurosurg 2018; 117 : e42 - e56.
[12]
Heran F., Vignal F., Lafitte F., et al. Imagerie des urgences absolues et relatives en neuro-ophtalmologie. Encycl Méd Chir, Radiologie et imagerie médicale : musculosquelettique–neurologique–maxillofaciale, 2016, Elsevier Paris, ; 31-690-A-10
[13]
Lennon V.A., IgG marker of optic-spinal multiple sclerosis binds to the aquaporin-4water channel, J Exp Med 2005; 202 : 473 - 477.
[14]
Kidd D.P., Burton B.J., Graham E.M., Plant G.T., Optic, Neurol Neuroimmunol Neuroinflamm 2016; 3 : ; e270
[15]
Wingerchuk D.M., The spectrum of neuromyelitis optica, Lancet Neurol 2007; 6 : 805 - 815.
[16]
Kitley J., Longitudinally extensive transverse myelitis with and without aquaporin 4 antibodies, JAMA Neurol 2013; 70 : 1375 - 1381.
[17]
Kister I., Ultrahigh-Field MR (7, Mult Scler Int 2013, 2013, ; 398259
[18]
HO Jin K., Friedmann P., Marco A.L.P., et al. MRI characteristics of neuromyelitis optica spectrum disorder: an international update, Neurology 2015; 84 : 1165 - 1173.
[19]
Mukhi S.V., Lincoln C.M., MRI in the evaluation of acute visual syndromes, Top Magn ResoN Imaging 2015; 24 : 309 - 324.
[20]
Urolagin S.B., Kotrashetti S.M., Kale T.P., Balihallimath L.J., Traumatic optic neuropathy after maxillofacial trauma: a review of 8, J Oral Maxillofac Surg 2012; 70 : 1123 - 1130.
[21]
Kvickström P., Lindblom B., Bergström G., Zetterberg M., Amaurosis fugax: risk factors and prevalence of significant carotid stenosis, Clin Ophthalmol 2016; 10 : 2165 - 2170.
[22]
Rougier M.B., Diagnosing bilateral, J Fr Ophtalmol 2010; 33 : 424 - 429.
[23]
Lamirel C., Cassereau J., Cochereau I., et al. Papilloedema and MRI enhancement of the prechiasmal optic nerve at the acute stage of Leber hereditary optic neuropathy, J Neurol Neurosurg Psychiatry 2010; 81 : 578 - 580.
[24]
Woodall M.N., Nguyen K.D., Alleyne C.H., Macomson S.D., Bilateral transverse sinus stenosis causing intracranial hypertension, BMJ Case Rep 2013, 2013,
[25]
Riggeal B.D., Bruce B.B., Saindane A.M., et al. Clinical course of idiopathic intracranial hypertension with transverse sinus stenosis, Neurology 2013; 80 : 289 - 295.
[26]
Manfrè L., Vero S., Focarelli-Barone C., Lagalla R., Bitemporal pseudohemianopia related to the "tilted disk" syndrome: CT, MR, and fundoscopic findings, AJNR 1999; 20 : 1750 - 1751.
[27]
Dae S.L., Hee K.Y., Jae H.K., Jeong-Min H., Morphometry of the, Invest Ophthalmol Vis Sci 2014; 55 : 8571 - 8575.
[28]
Grant J.H., Patrinely J.R., Weiss A.H., et al. Trapdoor fracture of the orbit in a pediatric population, Plast Reconstr Surg, 2002, 482 - 489. ; discussion 490-5
[29]
Saito R., Sugawara T., Mikawa S., et al. Pupil-sparing oculomotor nerve paresis as an early symptom of unruptured internal carotid-posterior communicating artery aneurysms: three case reports, Neurol Med Chir (Tokyo) 2008; 48 : 304 - 306.
[30]
Rosenkranz M., Eckert B., Niesen W.D., et al. Horner syndrome related to ipsilateral carotid wall hematoma after stent placement for the treatment of carotid stenoses, AJNR Am J Neuroradiol 2003; 24 : 1508 - 1511.
[31]
Besselmann M., Vennemann B., Lowens S., Ringelstein E.B., Stogbauer F., Internal carotid artery dissection, Neurology 2000; 54 : 442.
[32]
Molina C.A., Alvarez-Saban J., Schonewille W., et al. A Cerebral microembolism in acute spontaneous internal carotid artery dissection, Neurology 2000; 55 : 1738 - 1740.
[33]
Korchi A.M., Cuvinciuc V., Caetano J., et al. Imaging of the cavernous sinus lesions, Diagn Interv Imaging 2014; 95 : 849 - 859.
[34]
Charbonneau F., Williams M., Lafitte F., Héran F., No more fear of the cavernous sinuses, Diagn Interv Imaging 2013; 94 : 1003 - 1016.
[35]
Thurtell M.J., Chiu A.L., Goold L.A., et al. Neuro-ophthalmology of invasive fungal sinusitis: 14 consecutive patients and a review of the literature, Clin Experiment Ophthalmol 2013; 41 : 567 - 576.
[36]
Choi K.D., Choi S.Y., Kim J.S., et al. Acquired ocular motor nerve palsy in neurology clinics: a prospective multicenter study, J Clin Neurol 2019; 15 : 221 - 227.